


Definition
Extra-articular scapular fractures
Epidemiology
1 - 2 % of all fractures
Associated with high energy injuries
- thoracic injury
- scapulo-thoracic dissociation
- spinal injury
- abdominal injuries
AO Classification

| A: Process fractures | B: Blade fractures | C: Glenoid fractures |
|---|---|---|
| 1. Coracoid | 1. 2 exit points at borders | 0: Extra-articular |
| 2. Acromion | 2. >2 exit points at borders | |
| 3. Spine |
Anatomy
Blade encased by vascular fibromuscular envelope
Provides inherent stability for blade fractures
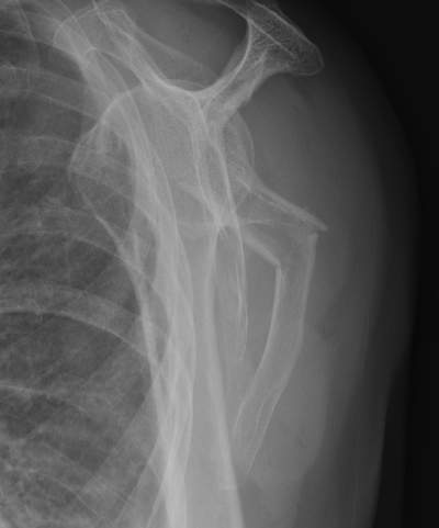
Scapula blade fractures
Indications for surgery
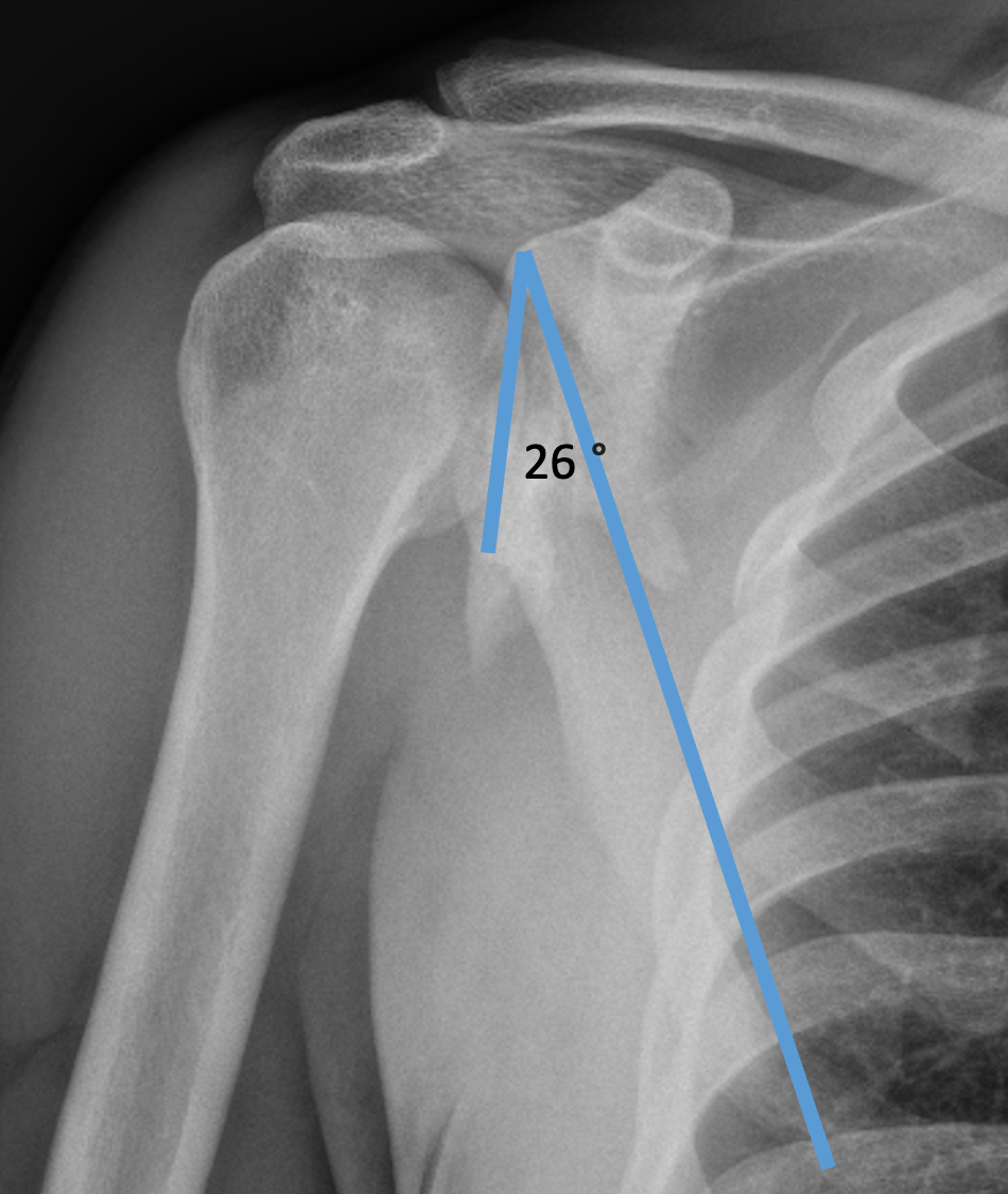
| Glenoid neck displacement | Glenoid neck angulation | Glenopolar angle |
|---|---|---|
| > 2cm medial displacement | > 45° angular deformity | < 22° glenopolar angle |
![]() |
![]() |
![]() |
Other
- floating shoulder
- combined scapular fracture / intra-articular glenoid fracture
Medial displacement


Angulation


Glenopolar angle
Definition
- line connecting the superior and inferior glenoid fossa
- line connecting the superior pole of glenoid and inferior angle scapula
- normal 30 - 40 degrees


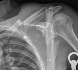
Floating shoulder


Combined scapula body fracture / intra-articular glenoid fracture



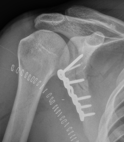
Operative Management
Surgical approach
Judet - detach deltoid and lateral reflection of infraspinatus muscle
Modified Judet - elevate deltoid, use interval between infraspinatus and teres minor
Brodsky lateral column approach - lateral incision, elevate deltoid, use interval between infraspinatus and teres minor
AO surgical foundation posterior approach to surgical body
| Judet | Modified Judet | Brodsky lateral column |
|---|---|---|
|
L shaped incision
Transverse incision - posterolateral corner acromion along spine Medial incision - medial scapula to inferior angle
|
L shaped incision
Transverse incision - posterolateral corner acromion along spine Medial incision - medial scapula to inferior angle
|
Lateral incision - along lateral border scapula - posterolateral acromion to inferior angle |
|
Detach deltoid from scapular spine
|
Elevate deltoid |
Elevate deltoid |
|
Divide trapezius fascia medially
|
Operate in intervals | Operate in intervals |
|
Elevate infraspinatus muscle from medial border of scapula |
Interval between - infrapinatus / teres minor - infraspinatus / supraspinatus
|
Interval between - infrapinatus / teres minor - infraspinatus / supraspinat |
![]() |
![]() |
![]() |
Technique
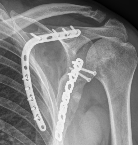
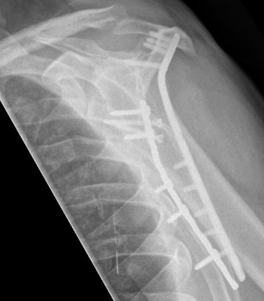
Plates
- lateral border scapula
- scapula spine
- medial border scapula

Vumedi modified Judet approach combined scapular body and glenoid fracture video
Vumedi extensile Judet approach combined scapular body and glenoid fracture video














Results
Operative v nonoperative
- systematic review of 670 scapular fractures
- union rate operative 99%
- union rate nonoperative 85%
Judet v modified Judet approach
Porcellini et al J Orthop Traumatol 2028
- 20 cases with Judet v modified Judet
- reduced infraspinatus atrophy and external rotation weakness with modified Judet
Complications
Kiritsis et al Eur J Orthop Trauma Surg 2024
- 250 scapula ORIF
- 1% infection
- 4% reoperation




