


Definition
Intra-articular scapular fracture
Epidemiology
Scapular fractures 1% of all fractures
Glenoid fractures 20% of scapular fractures
Younger patients with high velocity injuries - MVA, fall from height
Older patients with anterior shoulder dislocations
Ideberg Classification Intra-Articular Fracture
| Type IA | Type 1B | Type II | Type III | Type IV |
|---|---|---|---|---|
|
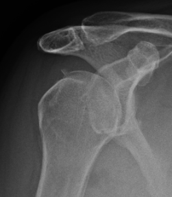
Anterior glenoid rim #
|
Posterior glenoid rim #
|
Fracture glenoid fossa Exits laterally Inferior fragment |
Fracture glenoid fossa Superior fragment |
Fracture glenoid fossa Exits medially |
|
|
![]() |
![]() |
![]() |
![]() |
Type V: combination of Type I, II, III & IV
Type IV: severe comminution
Operative indications
> 20 - 25% glenoid fossa
Displacement > 4 - 5 mm
Humeral head subluxation
Associated scapular fractures
Floating shoulder
Type IA: Anterior glenoid rim fracture


Xray / CT






Technique
Options
Open / Arthroscopic
Screw / anchor fixation - depends on size / comminution
Open



Deltopectoral approach
- subscapularis split / subscapularis takedown
- capsulotomy - view articular reduction
- screw / Anchor fixaiton
Arthroscopic





Arthroscopic suture anchor fixation anterior glenoid fracture
Anchor fixation
Vumedi arthroscopic anchor fixation glenoid fracture video
Arthroscopy techniques anterior glenoid rim arthroscopic anchor fixation PDF
Screw fixation
Vumedi arthroscopic screw fixation glenoid fracture video
Arthroscopy techniques anterior glenoid rim arthroscopic screw fixation PDF
Results
- 50 anterior bony bankart arthroscopic repairs with suture anchors
- 95% return to sport
- 7% redislocation
- 17% nonunion - more common with chronic cases
Type IB: Fractures of the posterior glenoid rim


Technique



AO surgical foundation posterior approach glenoid / scapula
Brodsky / Posterior approach to glenoid
- incision from posterolateral acromion
- elevate deltoid
- Window 1: interval between infraspinatus and teres minor
- Window 2: interval between supraspinatus and infraspinatus
- Window 3: interval beween teres minor and major / circumflex scapular
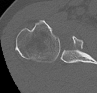
Type II: Fracture glenoid fossa that exits laterally


Definition
Transverse fracture through glenoid fossa
- inferior triangular fragment
- exits lateral border scapula






Technique
Options
Posterior approach - Judet / Brodsky / posterior based fractures
Direct / trans-axillary approach
AO surgical foundation posterior approach glenoid / scapula


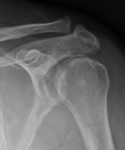
Type III: Fracture of the glenoid fossa that exits superiorly


Definition
Fracture through the glenoid fossa exiting through superior border of the scapula
- superior fragment
- includes the coracoid



Technique
Options
Open - anterior approach +/- coracoid osteotomy, superior approach (suprascapular fossa)
Arthroscopic









Vumedi arthroscopic fixation Type III fracture video
Arthroscopy techniques arthroscopic fixation Type III fracture PDF
Results
- 23 Ideberg Type III treated with arthroscopic screw fixation
- no hardware failure or redisplacement
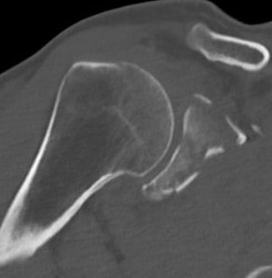
Type IV: Fracture of the glenoid fossa exiting medially
Definition
Similar to Ideberg Type III
- larger superior fragment
- horizontal and exiting thru the medial border of the blade
