Tibial Tuberosity Osteotomy
Contraindication
Open Physis
Theory
A. Medial displacement corrects Q angle
- must correct Q angle < 10o
- at least 1 cm
B. Anterior displacement unloads PJF
C. Distal displacement corrects patella alta
Types
Hauser distalisation
- for patella alta
- operation in isolation had disappointing results
- get posteriorisation tubercle and increased forces across PFJ
Fulkerson
- anteromedial transfer
- osteotomy lateral to medial
- direct osteotomy anteriorly
- unloads PJF



Elmslie-Trillat
- medialisation
- no posterisation
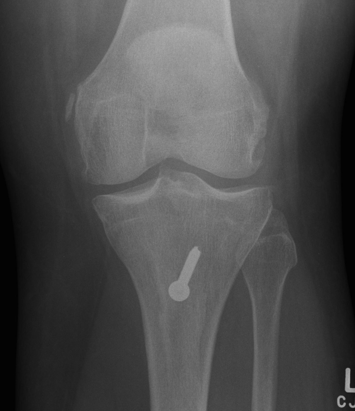
Surgical Technique of TTT
Technique 1
- direct osteotomy with oscillating saw lateral to medial
- initial incision slightly lateral of midline over Tibial tuberosity
- lateral incision in periosteum
- osteotomy 1.5 cm deep, 6 cm long
- angle osteotomy 45 degrees / use k wires to guide
- attempt to leave medial and distal periosteum intact for stability
- minimum medial transfer is 1 cm, usually 18 - 20 mm
- fix with two screws
- if want to distalise for patella alta, performing distal step cut, and distalise 6 mm
- never make transfer posterior
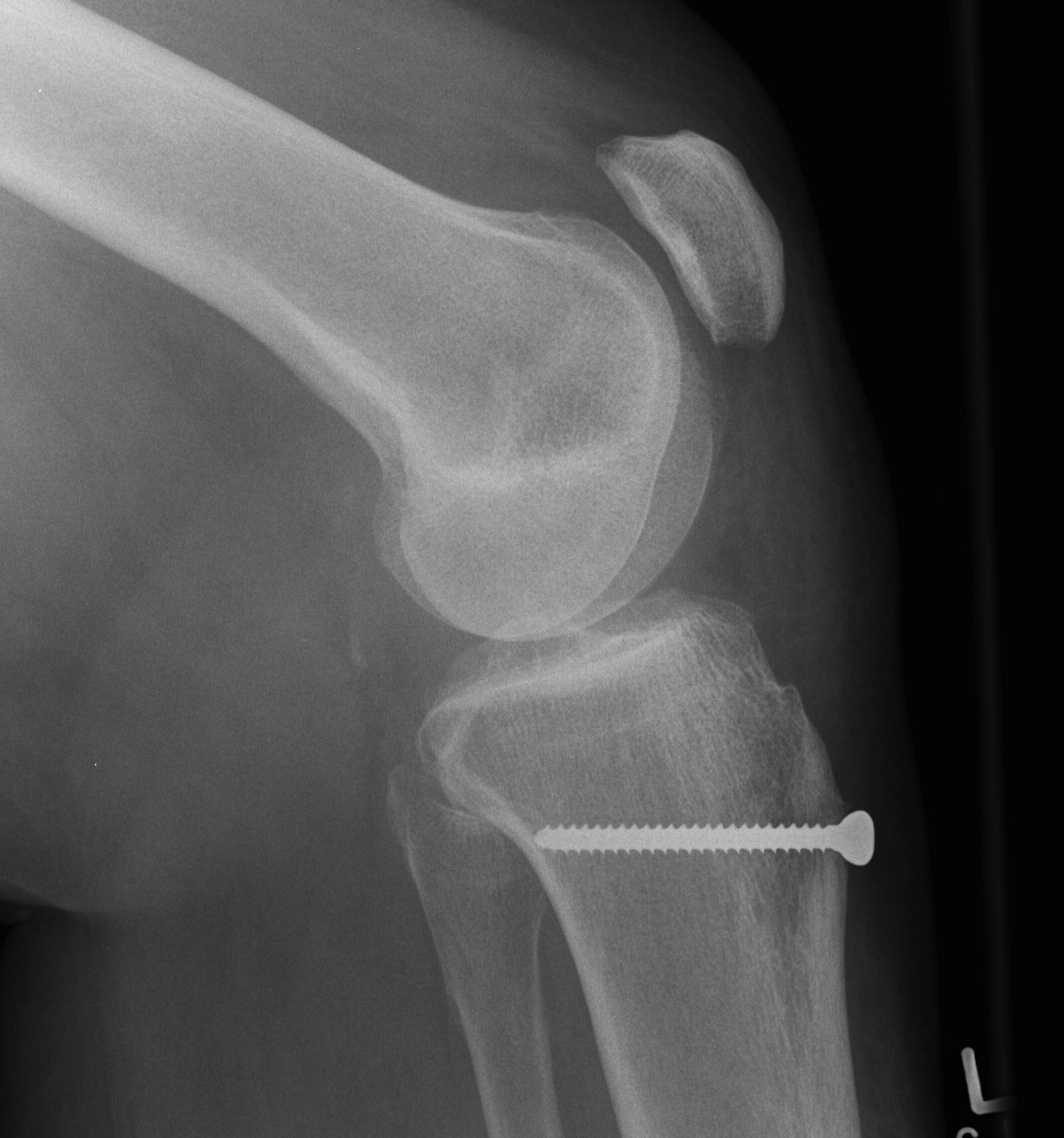
Technique 2
- use reciprocating saw
- cut down from the top, behind the PT
- 4 cm long
- leave intact distally
- use 3.5 mm drill to perforate distal attachment laterally
- can then swing the TT medially on distal / medial pivot
- secure with singe 4.5 mm bi-cortical lag screw
Consider patella cartilage
- combine with cartilage procedure
- microfracture / MACI / de novo
Results
Caton and Dejour Int Orthop 2010
- TTT in 61 knees
- 76.8% stability
Cossey et al Knee 2005
- 19 patients with TTT / MPFL reconstruction
- no redislocations
Complications
Berk et al Orthop J Sports Med 2023
- review of 344 TTO
- stiffness 16%
- superficial infection 8%
- hemarthrosis 6%