Skip to main content
Home
The Bone School
The source for orthopaedic knowledge

Breadcrumb

  1. Home
  2. Lower Limb
  3. Knee

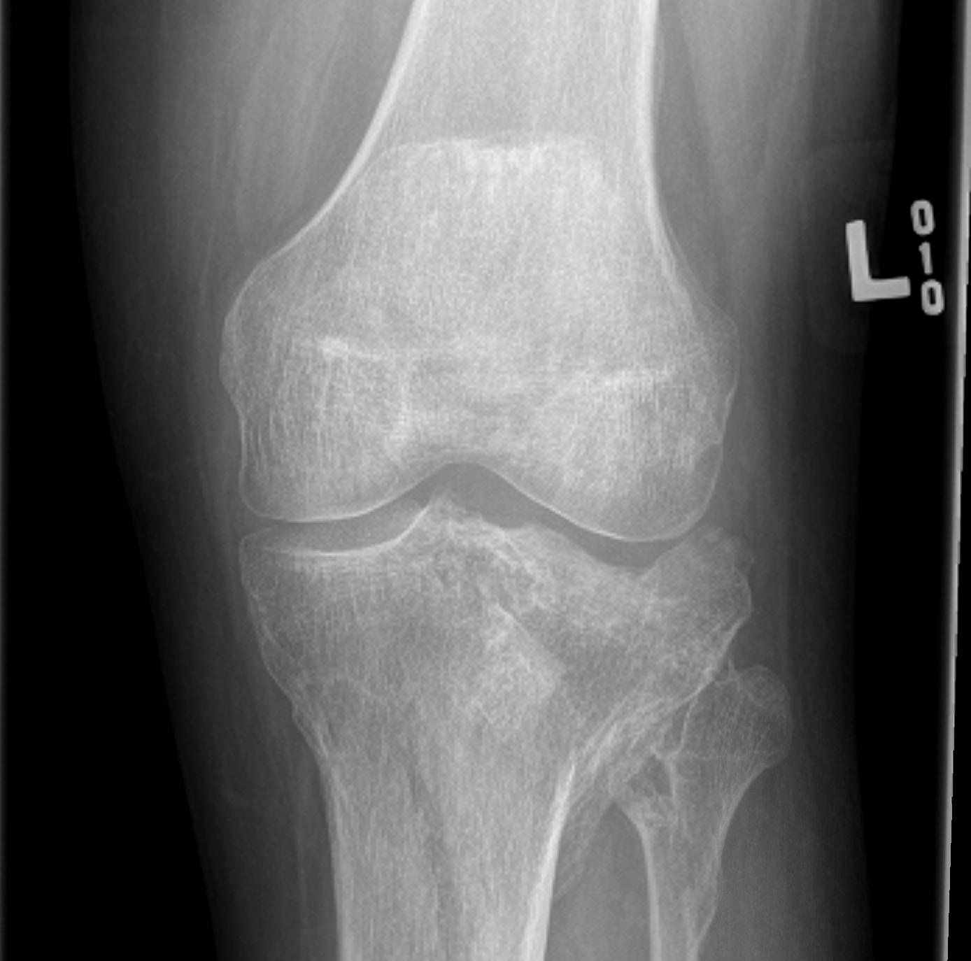
Cartilage defects

  • Cartilage defects
  • cartilage
  • background
  • management
  • Background
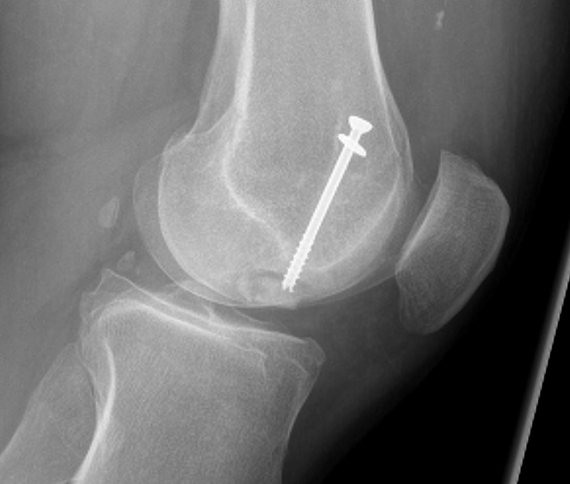
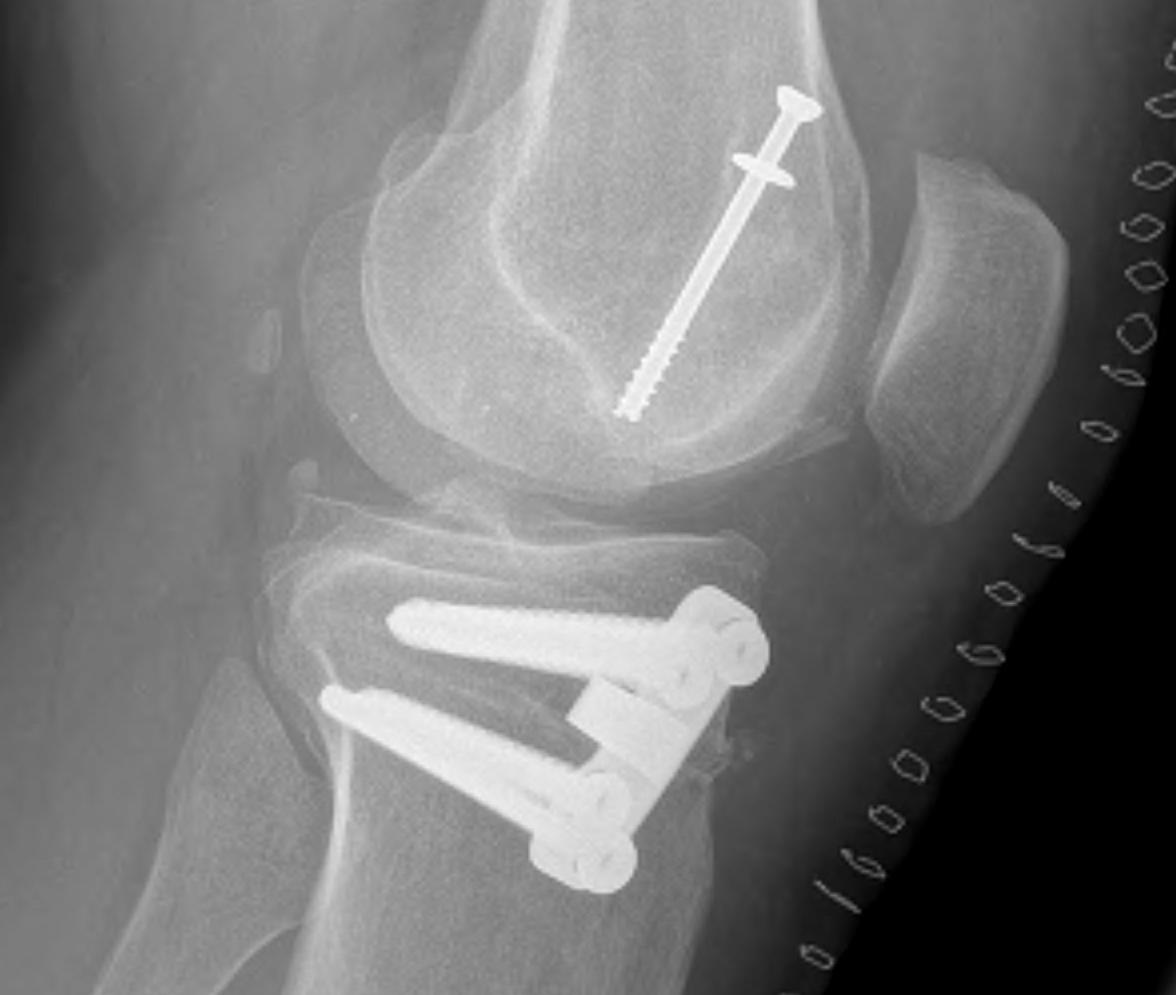
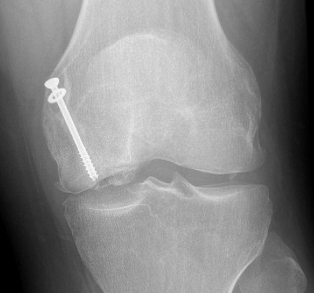
  • Management

Book traversal links for Cartilage defects

  • ‹ Arthroscopy
  • Up
  • Background ›

Table Of Contents

  • Welcome to The Bone School
  • Upper Limb
  • Lower Limb
    • Hip
    • Knee
      • AVN
      • Arthrodesis
      • Arthroplasty
      • Arthroscopy
      • Cartilage defects
        • Background
        • Management
      • Ligaments
      • Meniscus
      • Miscellaneous
      • Osteoarthritis
      • Osteochondritis dissecans (OCD)
      • Osteotomy
      • PatelloFemoral Joint
    • Foot and Ankle
    • Pelvic fractures
    • Acetabular Fractures
    • Femur fractures
    • Tibia fractures
    • Muscle tears
  • Spine
  • Paediatrics
  • Tumour
  • Surgical Approaches
  • Trauma Principles
  • Examinations
  • Imaging
  • DDx
  • Miscellaneous
  • About Us
  • Exam Cases

Search