


Anatomy / Biochemistry
Constituents of cartilage
Extracellular matrix (proteogylcans + collagen + water) + chondrocytes
| Type II Collagen | Proteoglycans | Water | Chondrocytes |
|---|---|---|---|
|
Triple helix |
Glucosaminoglycans (GAG) Keratan sulphate Chondroitin sulphate |
Attracted to GAG | Live in low oxygen, avascular environment |
|
Tensile strength Mechanical integrity |
Negative charge has high affinity for water | Resistant to compressive loads | Make collagen and GAG |
Structure of cartilage


| Superficial zone | Middle / transitional | Deep zone | Calcified Zone / tidemark |
|---|---|---|---|
|
Thin layer 10 - 20% thickness |
40 - 60% | 30% | Secures cartilage to bone |
| Collagen fibers tightly packed and arranged in parallel |
Proteoglycans Thick collagen fibrils |
Highest proteoglycan content Largest collagen fibrils Collagen arranged perpendicular |
Anchors collagen to subchondral bone |
| High number of chondrocytes | Much fewer chondrocytes | Chondrocytes arranged in columns | |
|
Protective layer Provides tensile resistance |
Resistance to compressive forces | Greatest resistance to compressive forces |
Pathology
Inability to heal due to avascular nature and no pluripotent cells
Types
Chondral defects - trauma
Osteochondral defects - OCD, patella dislocations


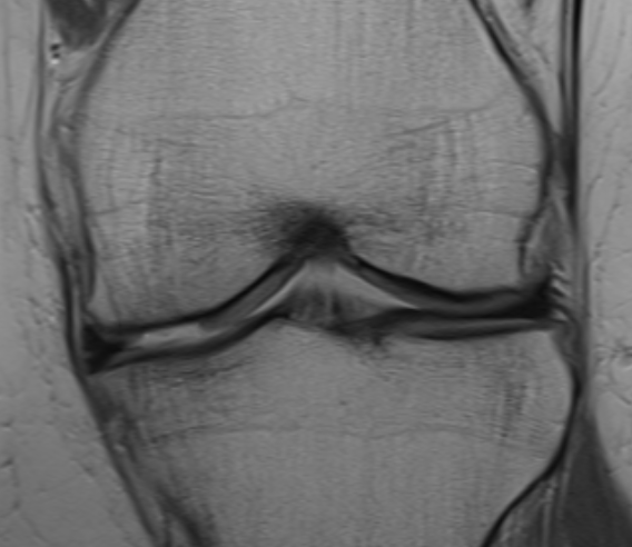
Chondral defect


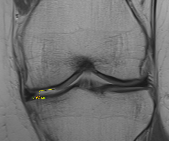
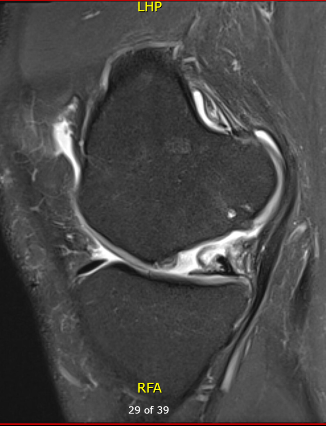
Osteochondral defect
MRI



Chondral defect





Osteochondral defect


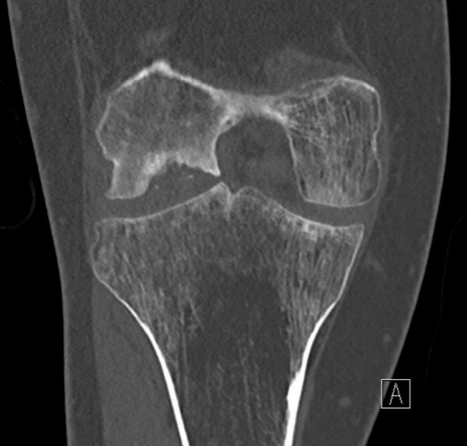
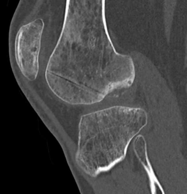
Osteochondral defect
CT



Outerbridge Arthroscopy Classification
Grade 1: Softening and swelling of the cartilage
Grade 2: Partial thickness defect < 1.5 cm in diameter
Grade 3: Fissuring to subchondral bone, > 1.5 cm in diameter
Grade 4: Exposed subchondral bone
Issue - focus on size of cartilage lesion rather than depth
ICRS / International Cartilage Research Society Arthroscopy Classification




Grade I: Nearly normal - soft indentation / superficial fissures and cracks
Grade II: Abnormal - cartilage lesions < 50% of cartilage depth
Grade III: Severely abnormal - cartilage lesions > 50% of cartilage depth
Grade IV: Severely abnormal - cartilage lesion down to subchondral bone
- inter-observer reliability 0.7
- intra-observer reliability 0.8
- correlation between arthroscopy and histological grading of depth 0.9

Grade 0 / normal


Grade I: soft cartilage, superficial fissures

Grade II: cartilage lesion < 50%



Grade III: cartilage lesion > 50%


Grade IV: cartilage lesion down to subchondral bone
Sizing
3 or 5mm graduated probe
- measure in 2 dimensions
- give a size in cm2
- assumes that lesions are basically rectangular
- tend to overestimate size arthroscopically


