Definition
Hoffa's syndrome
- impingement of the fat pad with knee ROM
Epidemiology
Rare
Diagnosis of exclusion
Theory
May be more prevalent in patients with intact ligamentum mucosum
Diagnosis
Hoffa's sign
- apply pressure to fat pad each side of patella tendon with knee in flexion
- extend knee
- will cause impingement
HCLA
- behind patella tendon into fat pad
- will relieve pain
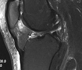
MRI
See increased signal in fat pad

