Indications
Intact but lax ACL with symptomatic instability


Acute ACL rupture
Partial Tears

Aim
To pass LARS graft up intact ACL / ACL remnant
- all reaming outside in to preserve ACL
- provide a LARS scaphold for the injured ACL to heal onto
Technique
Set up
- knee 90o over bolster
- II with perfect lateral of knee
- superimposed femoral condyles
- standard arthroscopy portals
- can be difficult to set up II and arthroscopy tower together
- do so before beginning operation
Femoral entry point
- place beath pin just medial to patella tendon
- insert into femoral insertion of ACL on LFC
- check entry on lateral
- imagine posterior femoral condyle as circle
- entry point in centre, but 60% of distance posterior
- can also look inside knee with scope to confirm insertion
- drive out lateral femur as standard
- pull pin back through femur so that guide wire passes up into femur
- distal pin now in joint



Tibial entry point
- extend knee
- aim pin for standard origin of ACL
- drive through tibia


Select Lars graft
- variety of sizes
- 7 - 8 mm
- fibre numbers 80 - 120
Ream tibial and femoral tunnels
- line to line to graft size
- outside in to preserve native ACL


Pass graft
- measure tibial tunnel
- apply artery forcep at appropriate distance from central graft
- allows you to know when graft is pulled through enough
- the LARS has a specifice portion designed to be inside the native ACL
- pass from the tibia up through the knee into the femur



Secure
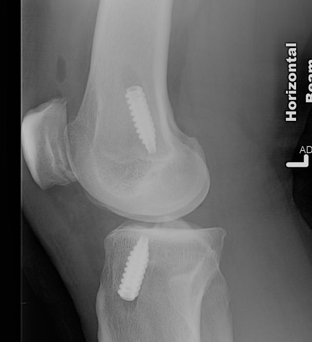
- insert femoral screw outside in
- tension tibial side
- must not overtension as there is no give in the graft
- secure tibial side with screw

