Kienbock's disease

 

radial shortMRI kienradial short

 

Definition 

 

Avascular necrosis / osteonecrosis of the lunate

 

Epidemiology

Rare

Men 20 - 40

 

Anatomy

 

Half moon shape

- concave distally: articulates with the capitate

- convex proximally: articulates with the radius and the TFCC

 

Etiology

 

Predisposing conditions: SLE, sickle cell, Caison's

 

Vascular theory: repetitive micro trauma disrupting fragile vascularity of lunate

 

Mechanical theory: ulna minus variance causes increased radioulnar load on lunate

 

ulna neg

 

Clinical

 

Pain dorsal mid wrist

- stiffness

- lunate tenderness

- reduced grip strength

 

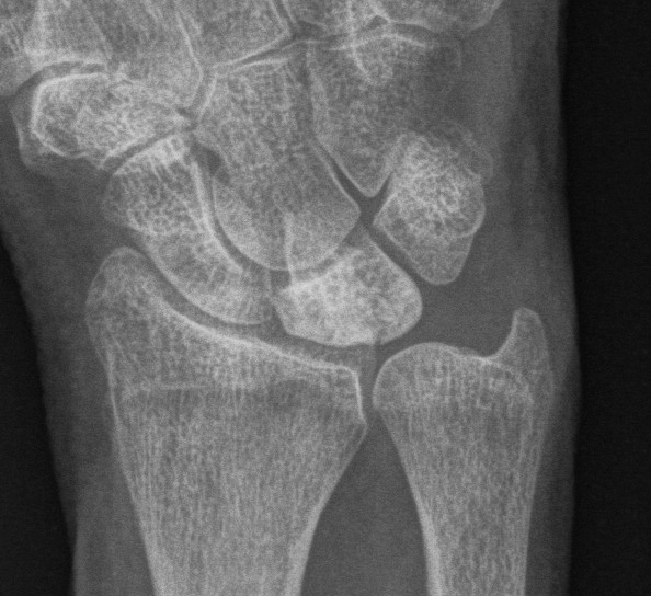
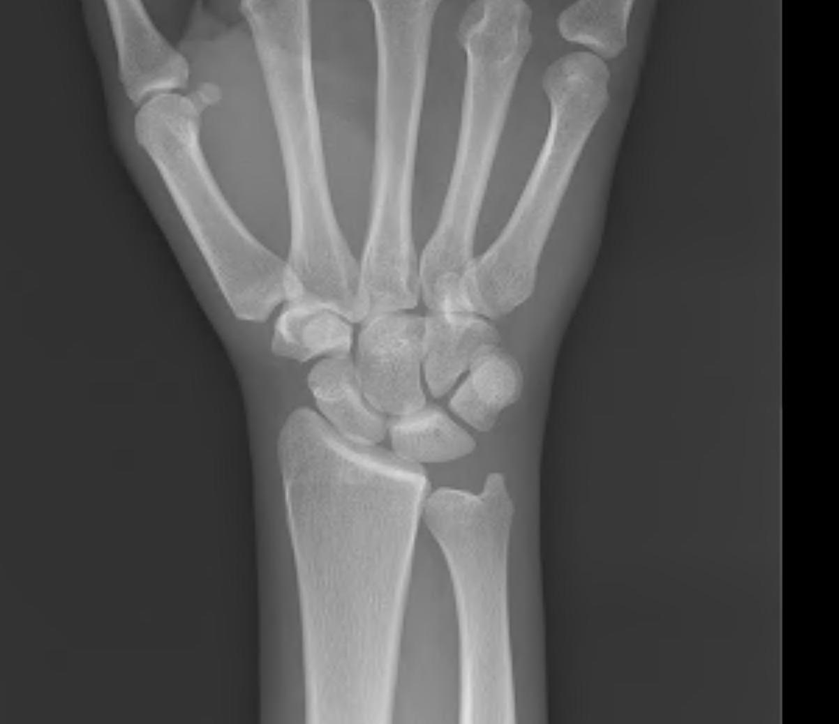
Xray

 

Progressive changes of AVN

- sclerosis

- fragmentation / fracture / flattenging

- midcarpal collapse: scaphoid flexion / capitate descent

- radiocarpal and midcarpal osteoarthritis

 

Lichtmann Classification

 

Stage I 

- xray normal

- diagnosed on MRI

 

Stage II Stage IIIA
Sclerosis

Collapse / fragmentation

Normal carpal height

Kienbocks Kienbocks

 

Stage IIIB Stage IV

Collapse / fragmentation

Scaphoid flexed / Capitate migrates proximally

Pancarpal osteoarthritis
Kienbocks Kienbocks

 

Ulna Variance

 

Supination and pronation alter variance

 

90 / 90 view (elbow 90° / shoulder abducted 90°)

- neutral supination / pronation

- PA film with wrist in neutral

- line from lunate fossa and ulna head

 

ulnaulna

Ulna neutral

 

ulnaulna

Ulna positive

 

ulna negulna

Ulna negative

 

MRI

 

MRI kienkienbocks

Avascular lunate on MRI

 

Kien MRIKien MRIkien mri

Avascular lunate with some cystic change on the capitate

 

CT

 

Hesse et al J Hand Surg Eur 2025

- CT more accurate at gauging Kienbock's

- disease frequently worse on CT than assessed on xray

 

VBGKienbocks

Lunate precollapse

 

CT kienKien CT

CT demonstrating lunate fragmentation and collapse

 

Natural history

 

Usually one of progressive collapse

 

Prognosis better in adolescents

 

Nonoperative management

 

Splint 

 

Stage I 

- trial of immobilization

- 3 months to aid revascularization

- most effective in adolescents

 

Operative management

 

Options

 

Stage II / IIIA Stage IIIB: midcarpal collapse Stage IV: osteoarthritis

 

Radial shortening - ulna negative

 

Capitate shortening - ulna neutral / positive

 

Vascularized bone graft 

 

Limited fusions

- STT fusion

- scapho-capitate fusion

 

Proximal row carpectomy

Wrist arthrodesis

 

Wrist arthroplasty

 

Stage II / IIIA

 

radial shortstage 2

 

Radial Shortening +/- vascularized bone graft

 

radial shortradial shortradial short

 

Indication

 

Stage II / IIIA

Negative ulna variance

 

Theory

 

Radius normally takes 80% of load

- with ulnar minus is increased to 96%

- 2mm radial shortening: 20% decrease radiolunate load

- 4mm radial shortening: 40% decrease in radiolunate load

 

Technique

 

Trimed distal shortening osteotomy plate

 

Trimedi distal shortening osteotomy plate video

 

Vumedi radial shortening osteotomy video

 

Volar approach / bed of FCR

- osteotomy distal to DRUJ

- resection of desired amount 

- aim for neutral or +1 mm ulnar variance

- usually 2 - 3 mm 

- cutting guides available

- volar plate

 

Results

 

Shin et al JBJS Am 2018

- systematic review of radial shortening and nonoperative treatment

- no difference in radiographic progression

- better pain relief and ROM in radial shortening group

 

Quenzer et al J Hand Surg 1997

- 68 patients with radial shortening osteotomy

- reduced pain in 93%

 

Capitate shortening +/- vascularized bone braft

 

KienbocksCapitate shortening

 

Indication

 

Stage II / IIIA

Neutral or positive ulna variance

 

Technique

 

Bain J Wrist Surgery single cut capitate osteotomy PDF

 

Dorsal approach

- open capsule over wrist

- remove part of dorsal 3rd metacarpal to allow screw

- predrill screw into capitate distal to proximal with wrist flexed 

- osteotomy distal to waist of capitate at level of STT joint

- remove 1 mm of bone

- insert compression screw

 

Result

 

Motaghi et al Hand Surg Rehab 2025

- systematic review of Stage IIIA Kienbocks without ulna minus

- capitate shortening in 125 patients

- persistent pain 10%

- revision surgery 6%

 

Hegazy et al Int Orthop 2021

- 24 stage IIA treated with capitate shortening +/- vascularized bone graft

- isolated capitate shortening: failure rate 28%

- capitate shortening + vascularized bone graft: failure rate 8%

 

Vascularised bone graft (VBG)

 

VBGVBGVBG

 

Indications

 

Stage II

- precollapse /  no fragmentation

- can be combined with radial or capitate shortening

 

Technique of 4th/5th extensor compartment artery VBG

 

VBGVBGVBG

 

Dorsal approach

- based on Lister's tubercle

- divide extensor compartment and mobilize EDC

- identify 4th extensor compartment artery pedicle next to posterior interosseous nerve

- dissect origin from anterior interosseous artery proximally

- preserve 5th extensor compartment artery (bed of EDM) and ligate the anterior interosseous artery

- dorsal distal radius bone graft taken on pedicle

- reverse flow vascularized bone graft

 

Open wrist capsule over lunate

- open dorsal lunate and debrided necrotic tissue

- insert cancellous bone + VBG

 

Results

 

 

Park et al Clin Orthop Surg 2023

- systematic review of nonoperative treatment v VBG

- reduced progression and better long term outcomes in VBG

 

Hegazy et al Int Orthop 2021

- 21 stage II Kienbock's treated with capitate shortening versus vascularized bone graft

- no difference in outcome

 

Stage IIIB

 

kien fusion

 

Limited fusions: Lunate excision + scaphocapitate fusion

 

Kienbocksscaphocapitate

 

Indications

 

Stage IIIB

- lunate collapse with midcarpal collapse / scaphoid flexion

- limited capitate degeneration

 

Technique

 

Youtube lunate excision and scapho-capitate fusion video

 

Dorsal approach 3/4

- resect lunate

- resect scapho-capitate cartilage

- take scaphoid out of flexion / extend

- K wire into position

 

Results

 

Emanuels et al Plast Recon Surg 2025

- 78 scaphocapitate fusion v 64 proximal row carpectomy

- no difference in ROM or grip

- reduced pain in laborers with scaphocapitate fusion

- increased need for secondary procedures with scaphocapitate fusion

 

Proximal Row Carpectomy

 

PRC

 

Indication

 

Stage IIIB

Minimal capitate degeneration

 

Technique

 

Vumedi proximal row carpectomy video 1

 

Vumedi proximal row carpectomy video 2

 

Stage IV

 

KienbocksStage IV

 

Arthrodesis

 

Indication

 

Stage IV

Stage IIIA / IIIB in manual worker

 

kien fusionkien fusion