Fractures

Intraoperative Fractures

 

1.  Shaft fracture from IM rod

 

TKR Femoral Shaft Fracture IM Rod

 

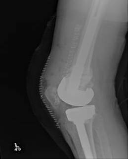
2.  Posterior condylar fracture

 

Management

- assess stability

- ORIF if needed

 

TKR Intraoperative condylar fractureTKR Condylar Fracture Lateral

 

Periprosthetic Fractures

 

Definition

 

Within 15 cm of the joint line

Within 5cm of the implant

 

Incidence 

 

Uncommon

- 0.6% primary TKR

- 1.6% revision TKR

 

Most common > 70 / female / revision TKR

 

Mechanism

 

Low velocity fall in elderly osteoporotic patient

 

Associated Factors

 

Patient

- RA

- steroids

- osteopenia

 

Surgical

- revisions

- notching

- arthrofibrosis / MUA

- wear / osteolysis

 

Notching

 

Cause

 

1. Posterior referencing and down sizing femur

2.  Internal rotation femur / medial notching

 

Results

 

Stamiris et al Eur J Orthop Surg Traumatol 2022

- meta-analysis of 3264 TKRs

- supracondylar fracture risk OR 4.85 if notched > 3mm

 

TKR Femoral NotchingTKR Femoral Notching 2

 

Xray Assessment

 

Fracture location

 

Femur

- proximal to femoral prosthesis

- distal to femoral prosthesis / reduced amount of distal bone for fixation

 

Tibia

 

Prosthesis stability

 

Bone stock

 

Suitability of femoral implant for IMN

 

Non-Operative Management

 

Indication

 

For minimally displaced fractures

 

Results

 

High rates of nonunion / malunion / stiffness

- Better outcomes with operation unless significant co-morbidities

 

Operative Management

 

Options

 

1.  Lateral locking plate

2.  Retrograde IM nail

3.  Anterograde IM Nail

4.  Revision TKR

 

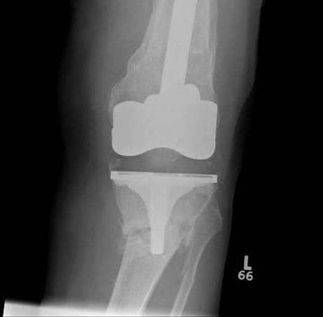
1.  Lateral locking plate

 

TKR Periprosthetic Fracture Minimall Dislplaced CTTKR Periprosthetic Fracture Locking Plate APTKR Periprosthetic Fracture Locking Plate Lateral

 

Technique

 

Minimally invasive technique

- may need unicortical screws distally

 

Results

 

Kolb et al J Trauma 2010

- 19 patients treated with LISS plate

- 2 delayed union

- otherwise good union rate with minimal complications and good ROM

 

Streubel JBJS Br 2010

- compared proximal fractures to distal (beyond the femoral prosthesis)

- showed similar healing rates in each group treated with locking plates

 

Complications

 

Non union

 

Periprosthetic Locking Plate NonunionPeriprosthetic TKR Locking Plate Nonunion 2Periprosthetic TKR Locking Plate Nonunion 30001Periprosthetic TKR Locking Plate Nonunion 30002

 

Periprosthetic TKR Locking Plate Nonunion 5Periprosthetic TKR Locking Plate Nonunion 6

 

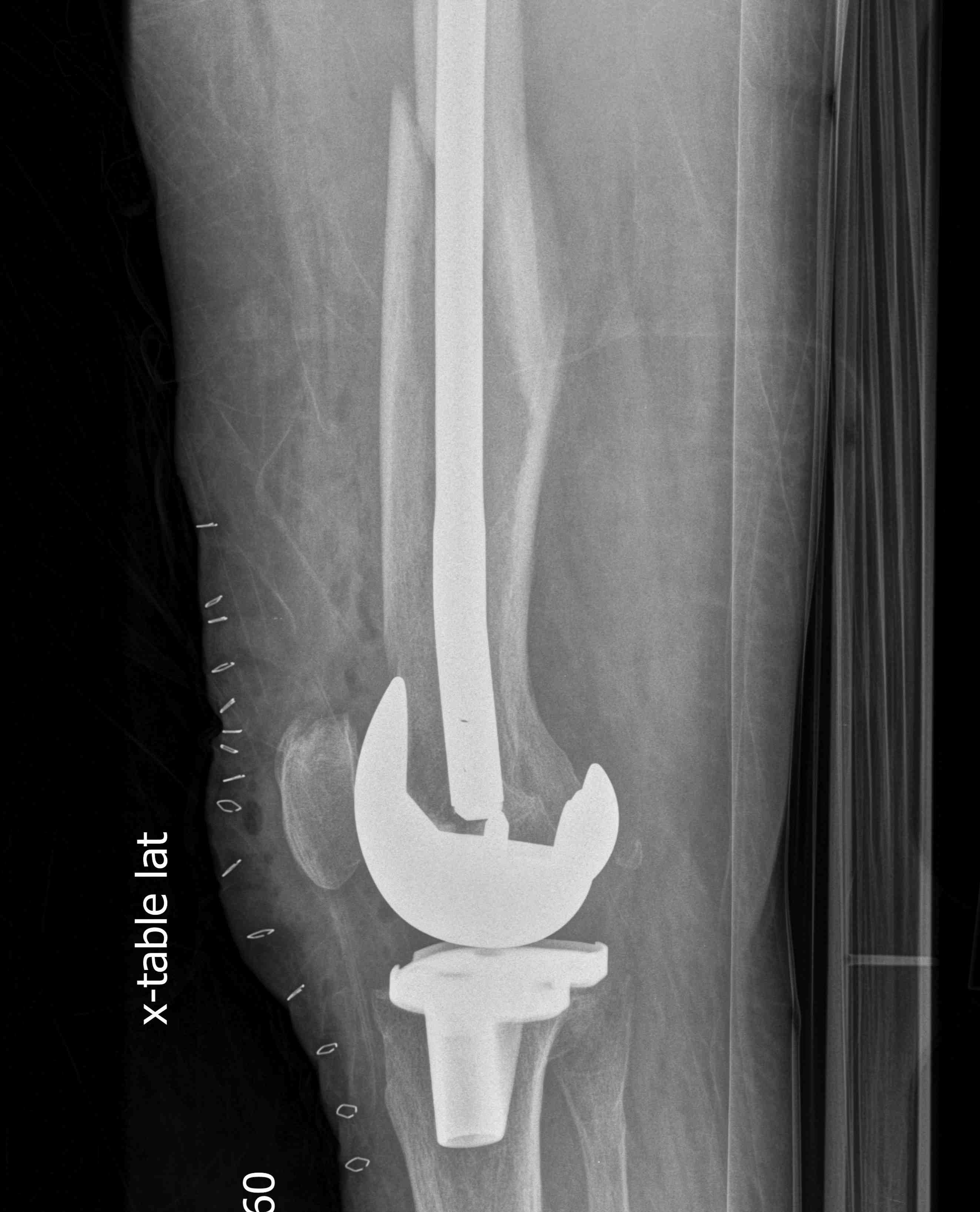
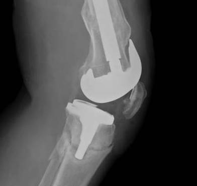
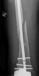
2.  Retrograde IM Nail

 

TKR Periprosthetic FractureTKR Periprosthetic Fracture 2TKR Periprosthetic Fracture Retrograde Nail 1TKR Periprosthetic Fracture Retrograde Nail 2

 

Issue

 

May be biomechanically superior

Have to open TKR to perform operation

- risk deep infection

 

Indications

 

Technically feasible

- CR knees contra-indicated

- must have sufficient sized hole in PS femoral component

- consult company as to suitablity

- small diameter nail

 

Technique

 

Minimum intercondylar distance of 12 mm

- AGC 18MM

- PFC = 20MM

- Genesis = 20MM

 

Usually remove polyethylene component

- replace after nail

- usually need new poly

 

3.  Anterograde nail

 

Indications

- sufficient bone above implant for distal locking

 

Issues

- stress riser between femoral implant and nail

- must ensure correct alignment

 

TKR Femoral FractureTKR Femoral Nail APTKR Femoral Nail Lateral

 

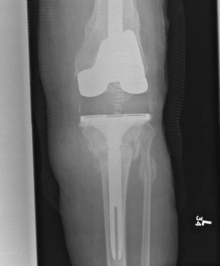
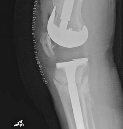
4.  Revision TKR

 

Indications

- very distal fracture

- insufficient bone stock

- loose prosthesis

 

Components

- stemmed, constrained implant

- tumour prosthesis

 

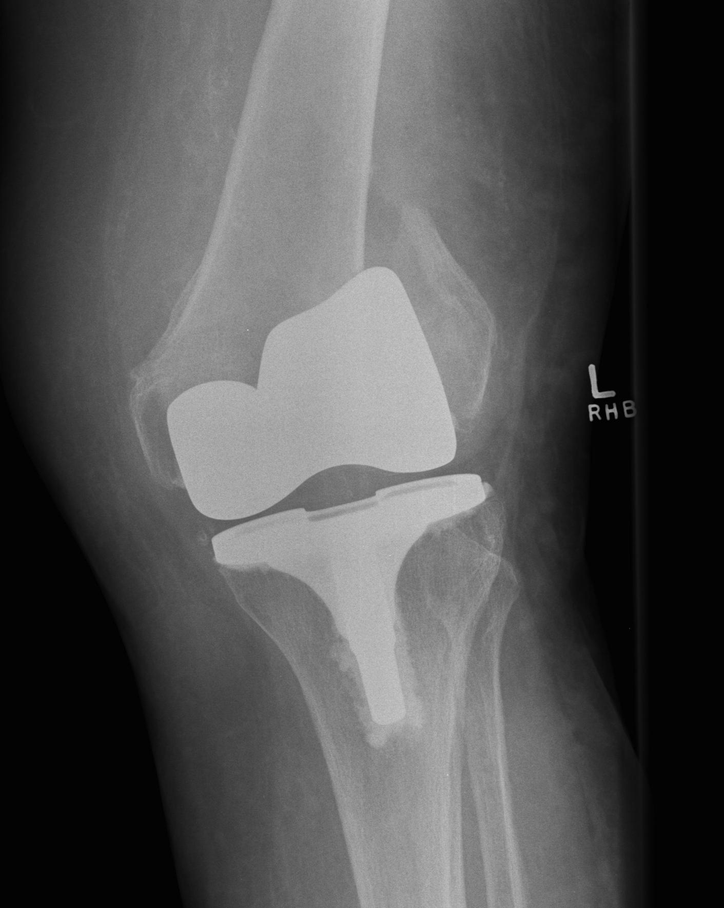
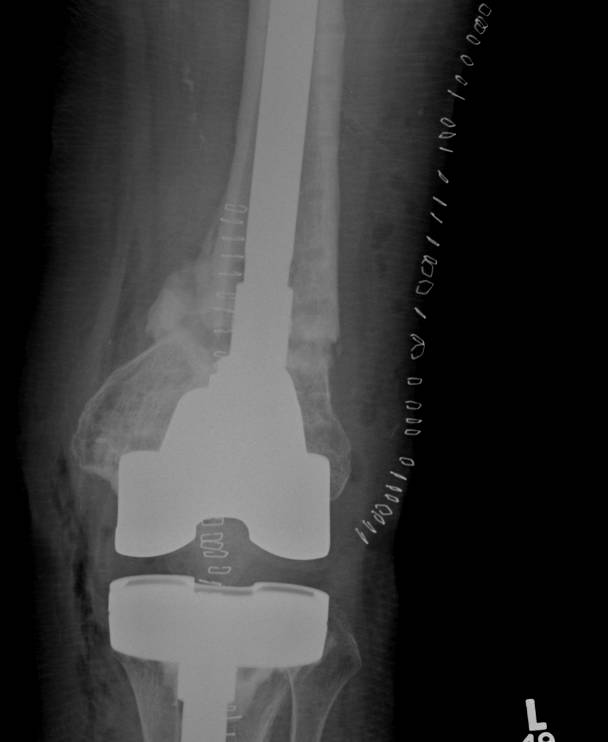
Case 1

 

Periprosthetic TKR Tibial Fracture 1Periprosthetic TKR Tibial Fracture 2Periprosthetic TKR Tibial Fracture 3Periprosthetic TKR Tibial Fracture 4

 

TKR Periprosthetic Fracture APTKR Periprosthetic Fracture LateralTKR Periprosthetic Fracture Revision APTKR Periprosthetic Fracture Revision Lateral

 

Link to free article

 

https://reader.elsevier.com/reader/sd/pii/S1877056817300117?token=4EEB6…