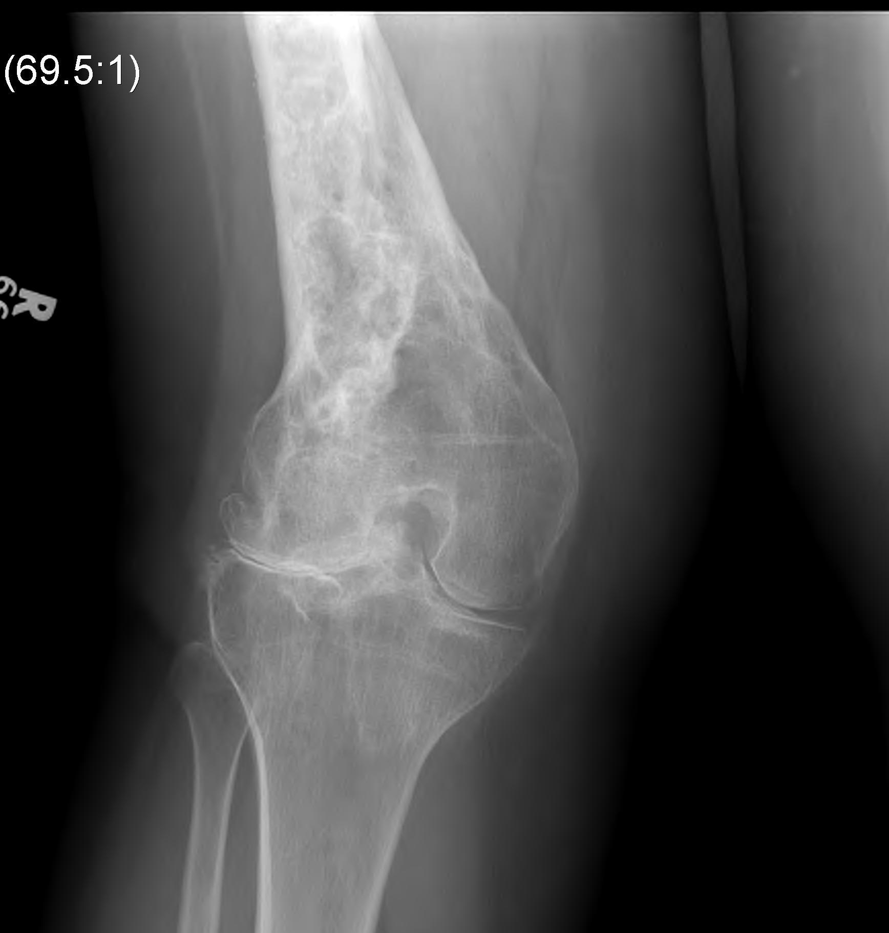
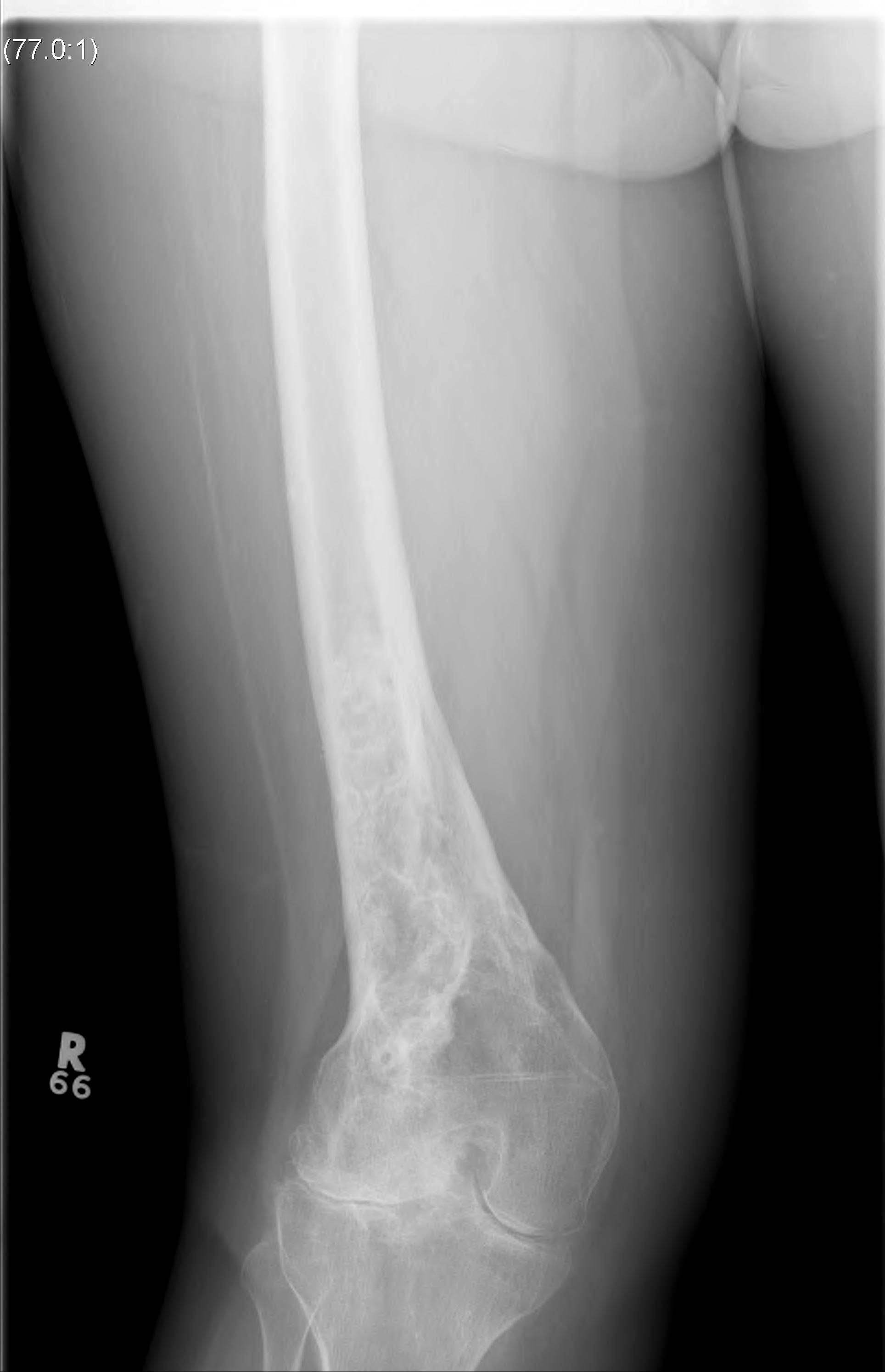
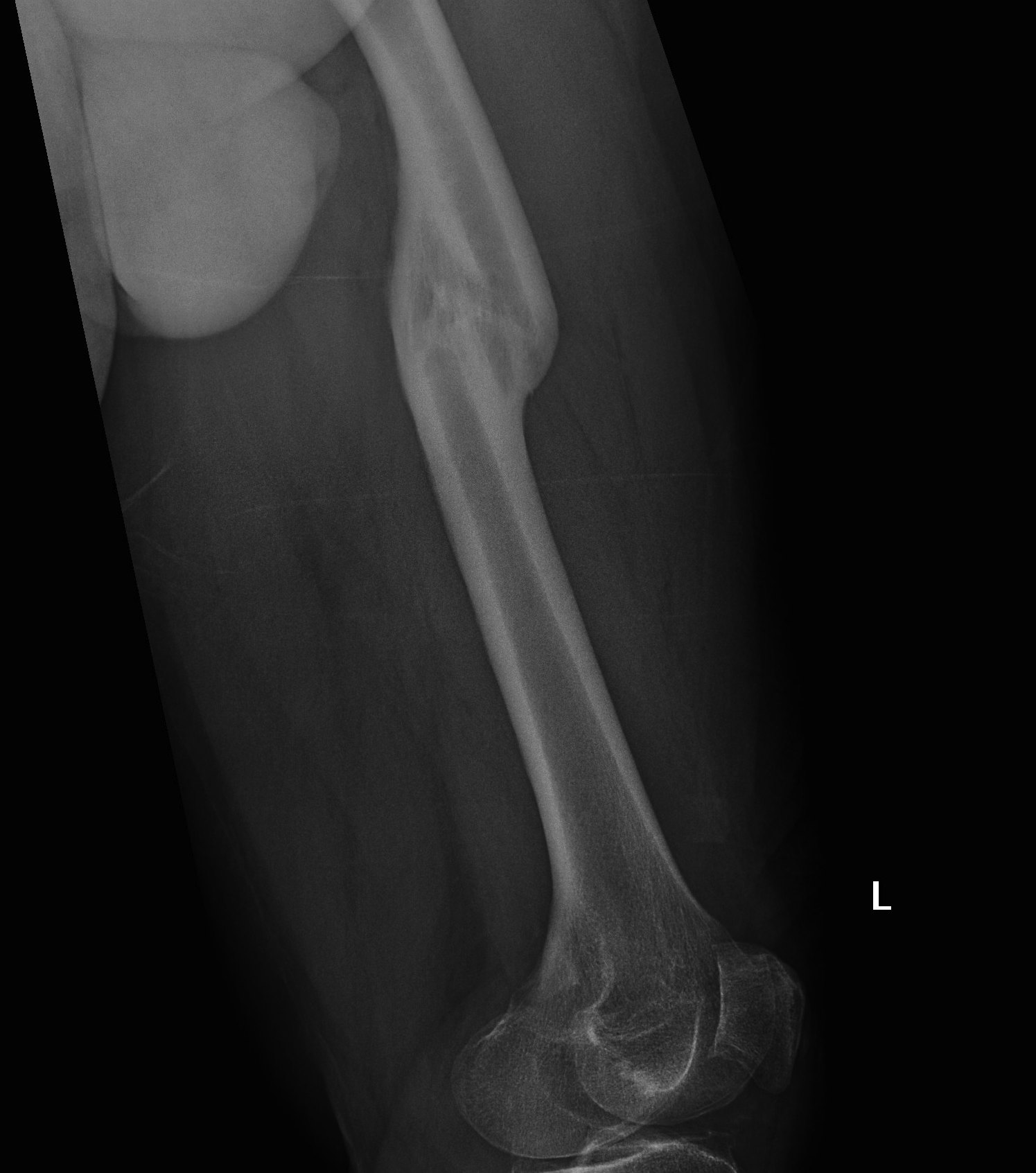
Causes of Deformity
Metabolic Bone Disease
Paget's
Fracture Malunion
Previous Osteotomy
Options
1. Intra-articular correction
2. Simultaneous osteotomy and TKR
3. Staged correction and TKR
1. Intra-articular correction
Indications
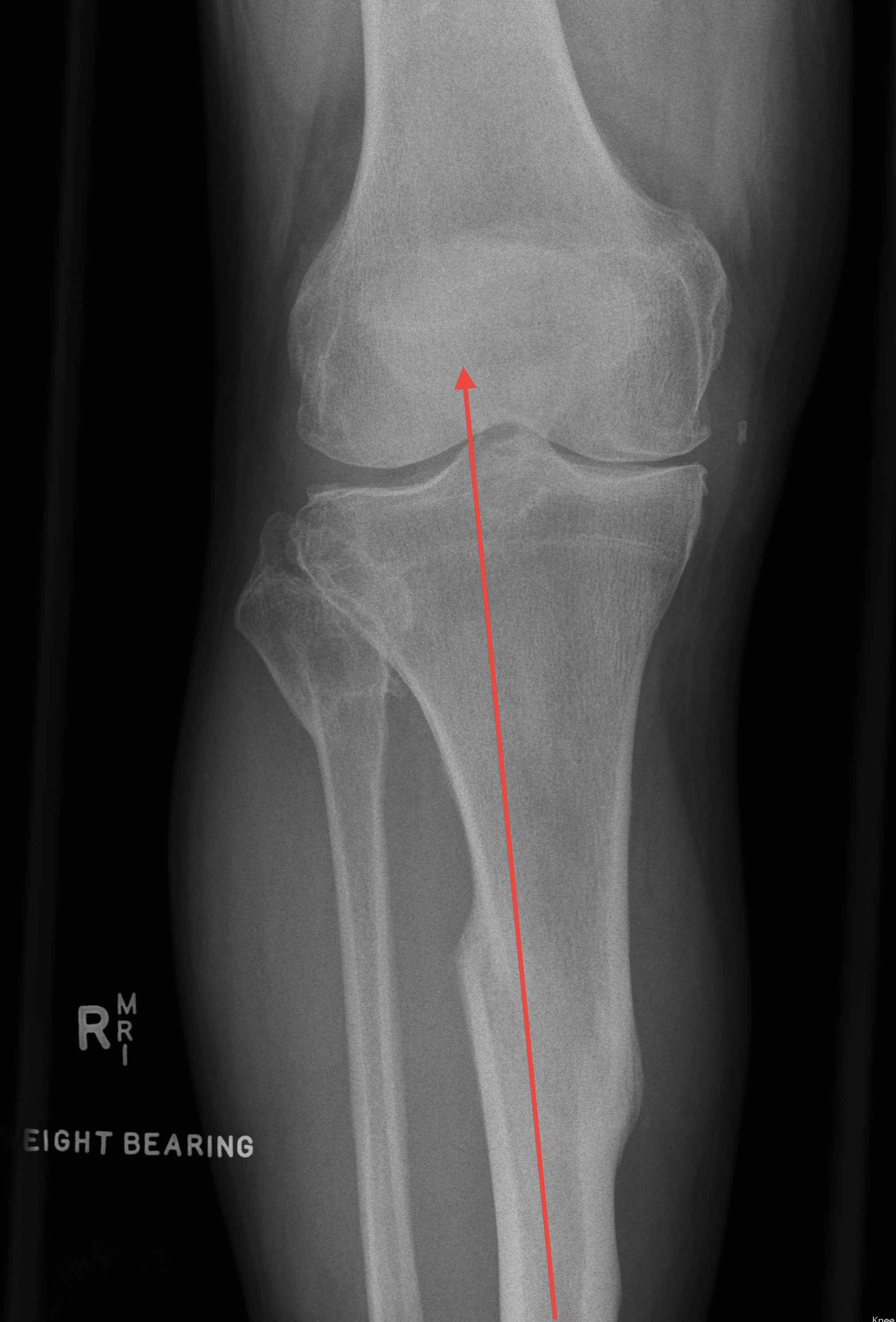
Femur
- draw line of mechanical axis of femur
- line perpendicular to this / proposed distal cut
- this line must pass below insertion of collaterals
- sagittal and coronal planes
Max 20˚ coronal plane
Max 25˚ sagittal plane



Tibia
- line drawn medullary canal of distal segment
- must pass between condyles
- maximum 30˚ varus

2. Osteotomy and TKR
Advantage
- bone preserving
- less bone resection to achieve correction
- augments not required
Disadvantage
- bigger procedure
- risk of nonunion
- must use stems to bypass
3. Stage osteotomy then TKR
A. Femoral Osteotomy



B. HTO
Indications
- severe varus deformity
- would need > 1 cm of medial augments
Technique
- medial opening wedge osteotomy
- preserves bone