Valgus TKR

 

TKR Moderate Valgus OAValgus Malalignment

 

Definition

 

A valgus knee has a tibiofemoral angle of > 10o

 

Causes

 

Inflammatory

- RA

 

TKR Bilateral Valgus OA

 

Osteomalacia 

- rickets, renal

 

Trauma

- tibial malunion

- plateau fracture

 

Childhood

- physeal arrest

 

HTO

 

Primary OA

- most common

- females

- unresolved physiological valgus deformity

 

Pathology

 

Soft tissue abnormalities

 

A.  Contraction of lateral structures

- ITB

- LCL

- Popliteus

- PL capsule

- Lateral head gastrocnemius

- Lateral IM septum

- Long head of biceps

 

B.  Lax medial structures

 

Bony abnormalities

 

A.  LFC hypoplasia

- beware posterior condyle referencing

- cause IR of the femoral component

- use Whiteside's AP axis / epicondylar axis

 

B.  Posterior aspect lateral tibial plateau

 

Krackow Classification

 

Type 1 / Lateral bone loss

 

TKR Valgus OA Lateral Bone Loss

 

Type 2 / MCL deficient

 

TKR Valgus OA MCL Insufficiency

 

Type 3 / Secondary to HTO

 

TKR Valgus Secondary HTO

 

Surgical Problems

 

1.  Approach

 

Medial approach

 

Advantage

A.  Easy to evert patella because

- increased Q angle

- tibial tuberosity lateralised

 

Disadvantage

A.  More difficult to reach contracted lateral side

B.  If perform lateral release, risk devascularising the patella

C.  Must not perform any medial release

 

Lateral approach Keblish 1991

 

Advantage

A.  Direct access to lateral structures

- makes these easier to release

B.  Preserves blood supply to patella

 

Disadvantage

A.  Wound closure at end of case

- not enough capsule to close after correction valgus

- closing only skin and soft tissue, may need to utilise the fat pad

 

Keblish Technique

- midline incision

- lateral release along lateral border of patella

- coronal z step cut in vastus lateralis

- is 6 - 9 mm thick

- lower 50% taken off patella

- superficial 50% attached to patella

 

2.  Bony alignment

 

Rotation

- deficient LFC 

- don't use posterior condylar axis to set rotation

- use Whiteside's AP axis and epicondylar axis

- can place a osteotome under LFC when placing sizing block

 

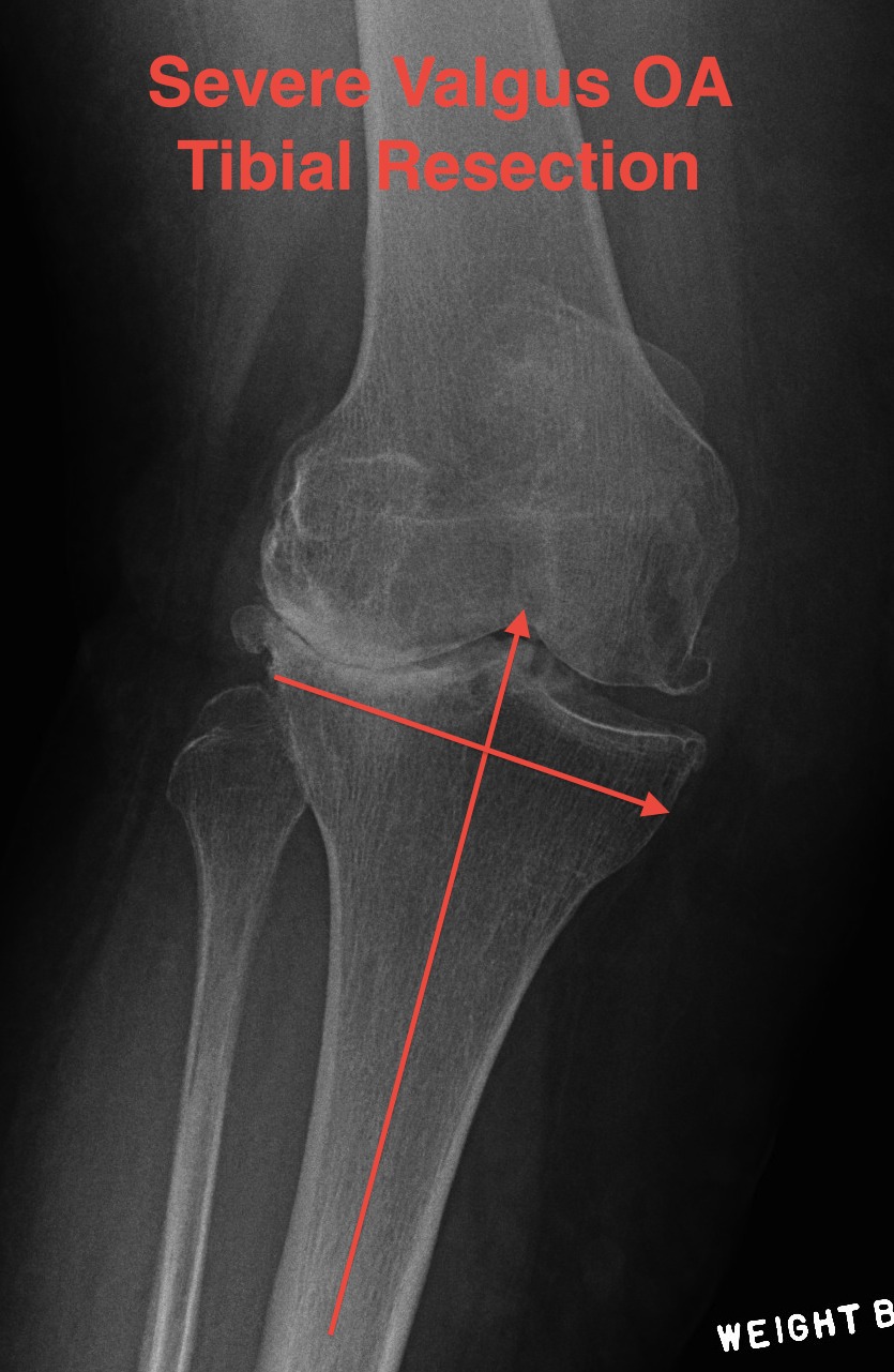
Tibial resection

- don't take 10 mm as bone worn laterally in valgus OA

- can't take 2mm off medial side as is the normal side

- need to estimate

- take 6 mm from lateral tibia intially, stay above fibula head

- much more symmetric proximal tibial resection

- use trial blocks to assess flexion / extension gaps

 

TKR Valgus OA Tibial Resection

 

Deficient lateral tibial plateau

- don't take > 10 mm medial plateau

- will get down into soft bone

- preop plan

- may need augments laterally and therefore stems

- below xray is borderline / but just ok

 

TKR Severe Valgus Tibial Resection Planning

 

3.  Soft tissue balancing

 

Best to sacrifice PCL early

 

Tight Extension

- pie crust or release ITB 

- +/- lat gastrocneumius off femur

- +/- Z lengthen biceps

 

Tight Flexion

- PL corner

- release popliteus proximally

 

Tight Extension & Flexion

- release LCL from lateral epicondyle

- usually done last

- periosteal sleeve as per popliteus

 

4.  Management MCL Deficiency

 

A.  Young Patient

 

Tighten MCL

- advance femoral insertion (Krackow)

- cut mid-substance and imbricate (Krackow)

- take off femur with bone plug / advance

 

CCK Prosthesis

- acts as an internal splint whilst MCL heals

 

B.  Older patient

 

Consider hinged prosthesis

 

5.  Prosthesis

 

PS to aid balancing

CCK / MCL Deficient

Augments / lateral bone loss

 

5.  Patella tracking

 

Tends to track laterally after correction

- resurface / place button medially

- lateral release may be required

- issue if have done medial approach

- may get patella AVN

 

6.  CPN

 

Need to check in recovery

- splint the knee in flexion post operatively

 

Complications

 

ML instability

- release too many lateral structures

- can develop late

- incidence 6-25%

- may need CCK on hand

 

Avoid by

- pie crusting ITB

- releasing popliteus / LCL as sleeve

 

Recurrent / residual valgus

- prone to maltracking

 

Wound healing

 

Patella maltracking 

 

Patella fracture

- secondary to AVN from medial approach and lateral release

 

Stiffness

 

CPN 

- more common if valgus > 12o