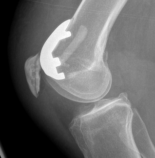
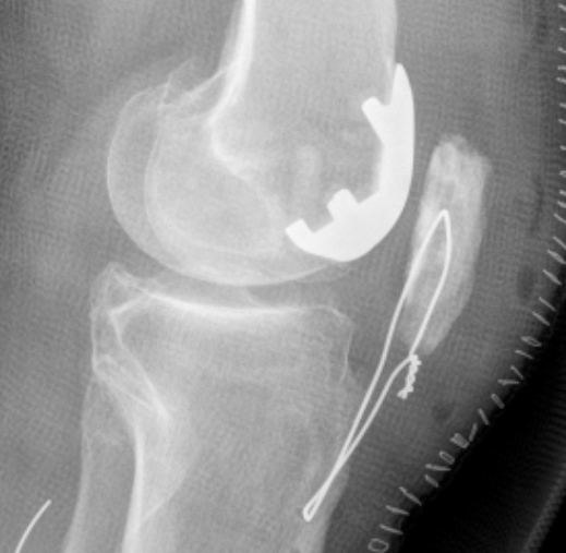
Patellofemoral joint replacement



Technique
Vumedi surgical technique video
JBJS Essential Surgical technique PDF
Contra-indications
Inflammatory conditions
Patella maltracking / malalignment
Tibiofemoral arthritis / medial or lateral joint pain / instability

Results
Outcomes
- systematic review of inlay versus only PFJR
- no difference in functional outcome
- higher progression of OA with only trochlea implants
Australian Joint Registry 2023
- 15 year revision rate of 3326 PJF arthroplasty: 35.6
- increased risk with males and < 65
| PFJ Arthroplasty | TKA | |
|---|---|---|
| 1 year | 1.4 | 1.0 |
| 3 year | 6.5 | 2.4 |
| 5 year | 10.6 | 3.1 |
| 7 year | 15.3 | 4.6 |
| 10 year | 22.4 | 6.2 |
| 15 year | 35.6 | 7.7 |
Complications

