Indications
Salvage failed TKR / infected TKR
Tumour
Charcot joint
PFFD
Contraindications
Bilateral knee fusion
Ipsilateral hip fusion
Problems
Difficulty obtaining fusion
- often significant bone loss
Difficulties mobilising / sitting in small bathrooms
Position
Short leg
- fuse straight
Normal leg length
- fuse in 10° flexion for swing through
Valgus 5 - 7o
External rotation 5 - 10o
Options
1. Intramedullary nail
2. Double plating
3. External fixator
Results
Union
- 48 knee arthrodeses for failed TKA
- 21% reoperation rate for infection or nonunion
- eventual union rate 90%
Nail versus External fixation
Balato et al. BMC Musculoskeletal Disorder 2018
- systematic review of IMN versus external fixation for infected TKA
- 11% reinfection rate for IMN versus 5% for external fixation
- union rate 90% for IMN versus 88% for external fixation
- union 2 months faster with IMN
Fusion versus Above Knee Amputation (AKA)
Trouillez et al. Orthop Traum Surg Res 2021
- fusion versus AKA for infected TKA in 43 patients
- recurrent infection in 10% (2/20) AKA
- recurrent infection in 22% (5/23) knee fusion
- AKA group had less pain and better quality of life
Conversion Fusion to TKA
Jauregui et al. J Arthroplasty 2016
- 98 patients mean age 55
- revision rate 25%
- failure rate 11%
Kernkamp et al. Int Orthop 2016
- systematic review of six papers and 123 knees
- mean improvement in ROM of 80 degrees
- post-operative complication rate 65%
- 25% skin necrosis, 13% arthrofibrosis, 11% infection, 11% revision
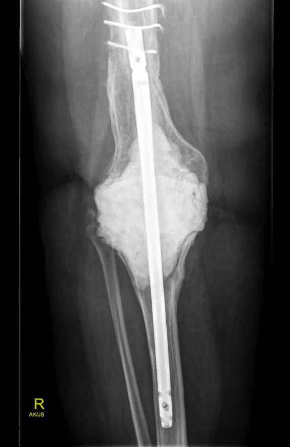
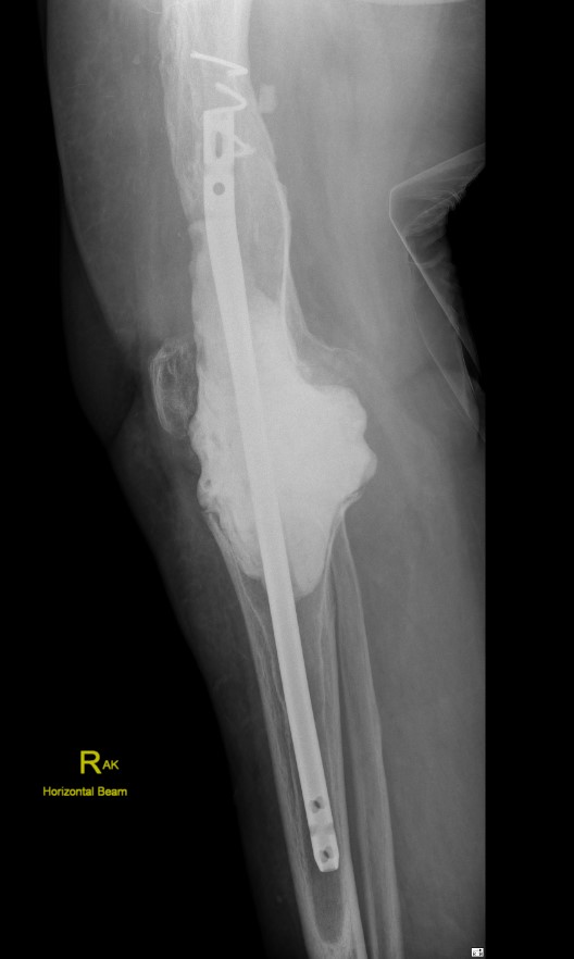
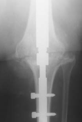
Intramedullary nail
Options
A. Bridging nail
B. Modular nail
C. Long fusion nail
Bridging nail


Modular nail
Concept
- single knee incision
- tibial and femoral components inserted through knee & then joined together
- different sizes for femur and tibia



Long fusion nail


Design
Insert through proximal femur
Incorporates
- femoral curvature
- knee valgus
- different intramedullary diameter between femur and tibia
Technique PDFs
Smith & Nephew Titanium Knee Fusion Nail
Stryker T2 Arthrodesis Nailing System
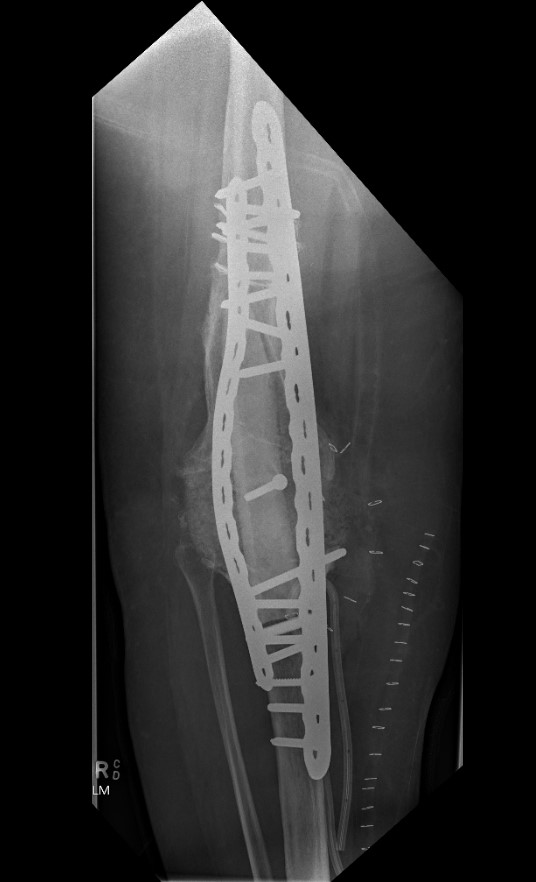
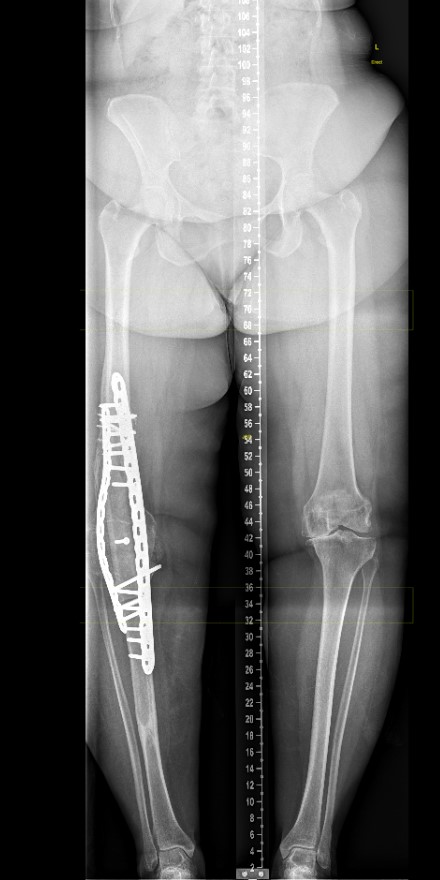
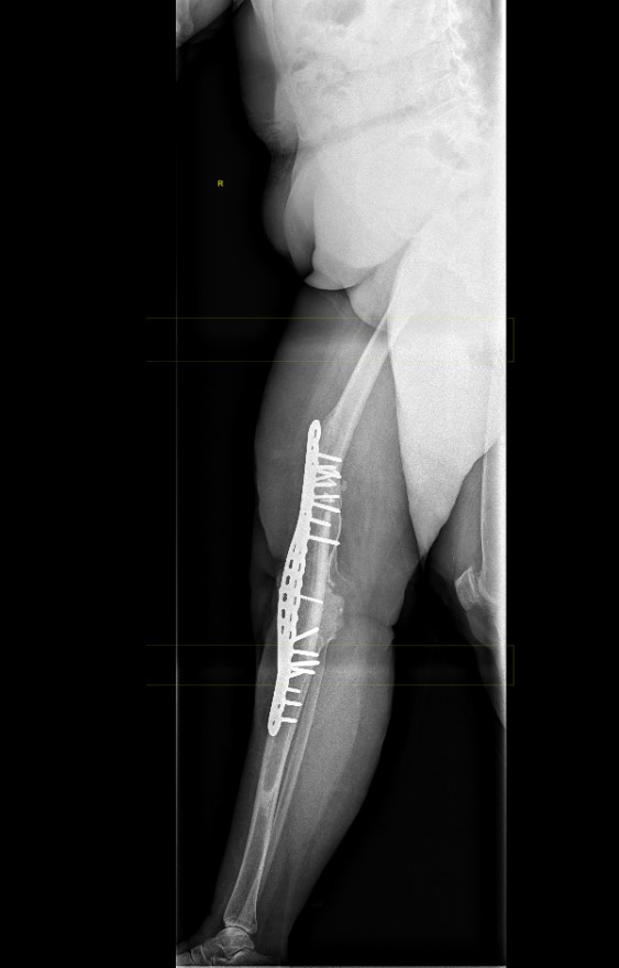
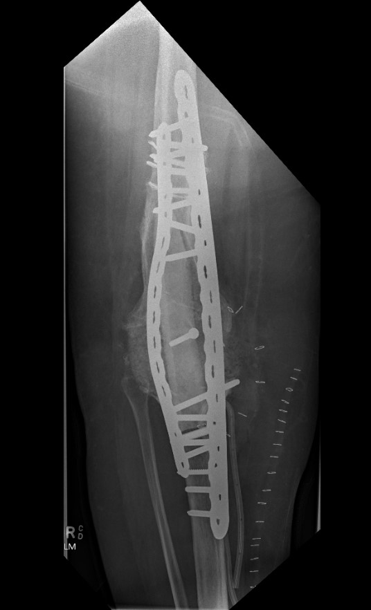
Dual plates




External Fixation

Results
Corona et al. Eur J Orthop Surg Traumatol 2020
- 29 cases end stage infected TKA
- biplanar external fixation eradicated infection and obtained union in 100% at 5 months
- uniplanar external fixation eradicated infection in 86% and obtained union in 81% at 10 months

