


DRUJ instability after distal radius fracture
Two settings
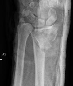
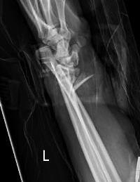
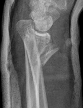
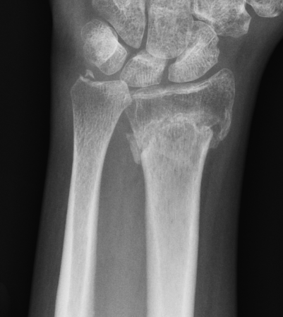
1. Ulna styloid fracture
2. No ulna styloid fracture / TFCC injury
Ulna styloid fractures
Incidence
Ulna styloid fractures occur in half of all distal radius fractures
Anatomy

Ulna styloid
- bony projection from ulna
- fovea at base for soft tissue attachments
- TFCC / radio-ulna ligaments
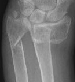
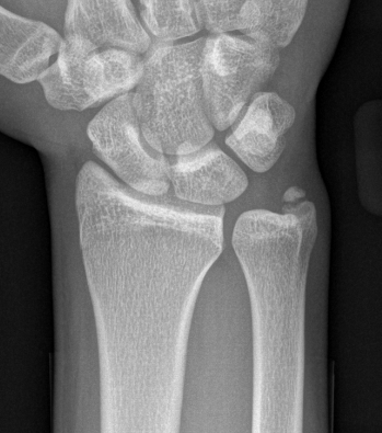
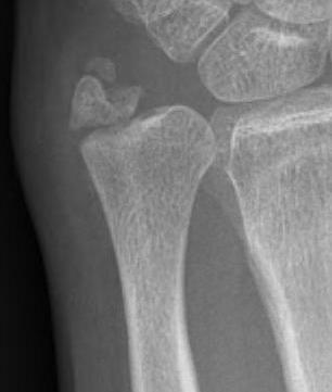
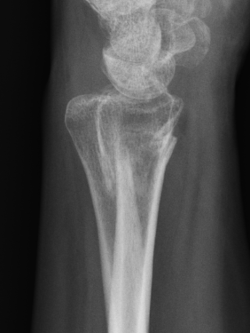
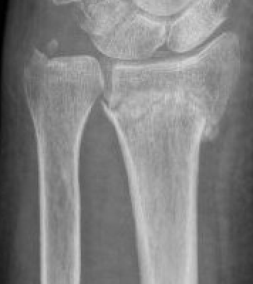
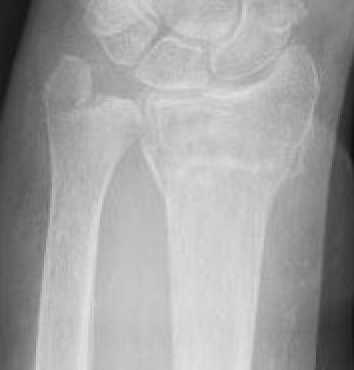
Classification ulna styloid fractures
| Type 1: Tip | Type 2: Base | Type 3: Proximal to styloid |
|---|---|---|
![]() |
![]() |
![]() |
![]() |
![]() |
![]() |
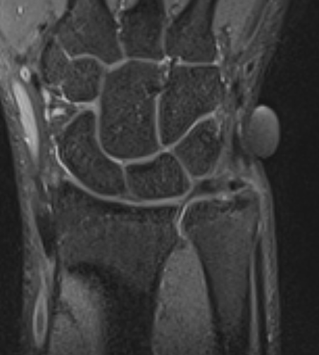
MRI
Kim et al Arch Orthop Trauma Surg 2023
- MRI of 54 patients with distal radius fracture and ulna styloid fracture
- tip ulna styloid fractures: 88% tears TFCC, 41% DRUJ instability after distal radius ORIF
- base ulna styloid fractures: 89% tears TFCC, 57% DRUJ instability after distal radius ORIF



Ulna styloid fracture with TFCC attached to fragment on MRI with partial tearing
Nonoperative management
Results
Outcomes of distal radius fractures with ulna styloid fractures
- systematic review of distal radius fractures and associated ulna styloid fractures
- ulna styloid fractures not associated with worse outcomes
Operative v nonoperative management
Afifi et al J Hand Surg Eur 2023
- RCT of 40 patients with distal radial fractures and base of ulna styloid fractures
- no instabililty, fixation v no fixation of ulna styloid process
- no difference between groups
van Rossenberg et al Eur J Trauma Surg 2024
- systematic review of operative v nonoperative ulna styloid fixation after DR ORIF
- 340 patients
- no difference between groups if DRUJ unstable
Ulna styloid nonunion

- systematic review of union v non union ulna styloid fractures after distal radius fractures
- no difference between groups
Operative management
Indication
DRUJ instability after distal radius ORIF with ulna styloid fracture



Techniques



Options
Styloid screw
Tension band wire
Ulna hook plate
Techniques


Synthes distal ulna hook plate
AO surgery ulna styloid fracture screw fixation
AO surgery ulna styloid TBW fixation
DRUJ instability after distal radius fracture without ulna styloid fractures
Incidence
Omokawa et al J Wrist Surg 2014
- ORIF 346 unstable distal radius fractures
- 6% had unstable DRUJ after ORIF
- treated with open dorsal radio-ulna ligament repair
Fujitano et al J Hand Surg Am 2011
- ORIF 163 unstable distal radius fractures
- 7% had unstable DRUJ after ORIF
Etiology
Lindau et al J Hand Surg Am 2000
- 51 displaced distal radius tears patients < 60
- arthroscopy demonstrated TFCC tears 84%
- 10/11 complete peripheral TFCC tears had DRUJ instability at follow up
Acute DRUJ instability after distal radius ORIF
Options
1. Casting
2. TFCC / radioulna ligament repair +/- DRUJ pinning
www.boneschool.com/DRUJ-instability
K wire verus TFCC repair versus cast
- randomized trial of patients with DRUJ instability after distal radius ORIF
- cast v arthroscopic TFCC repair v DRUJ k wire
- better outcomes at 3 months
- no difference at final follow up
Repair versus cast
- 100 cases of DRUJ instability after distal radius ORIF
- 50 treated with arthroscopic capsular repair
- 50 treated in cast
- better outcomes with capsular repair
K wire versus cast
Liu et al Orthop Traumatol Surg Res 2014
- 50 patients with unstable DRUJ after distal radius fixation
- 50% K wire of DRUJ
- 50% no treatment
- no between group differences
- one patient had chronic DRUJ instability that was treated nonoperatively
Chronic DRUJ instability after distal radius fracture


Symptoms
DRUJ instability
Ulna sided wrist pain
Options
www.boneschool.com/DRUJ-instability
TFCC repair +/- DRUJ reconstruction
Radial osteotomy for malunion
Ulna shortening procedure
Darrach's / Suave-Kapanji




