Skip to main content
Home
The Bone School
The source for orthopaedic knowledge

Breadcrumb

  1. Home
  2. Upper Limb
  3. Wrist

Radiocarpal dislocation

Radiocarpal Dislocation

 

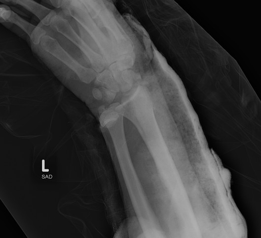
Dislocated Radiocarpal Joint Dislocated Radiocarpal Joint AP

 

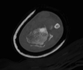
Dislocated Radiocarpal Joint CT 1Dislocated Radiocarpal Joint CT 2Dislocated Radiocarpal Joint CT 3

 

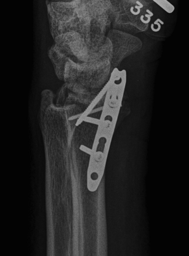
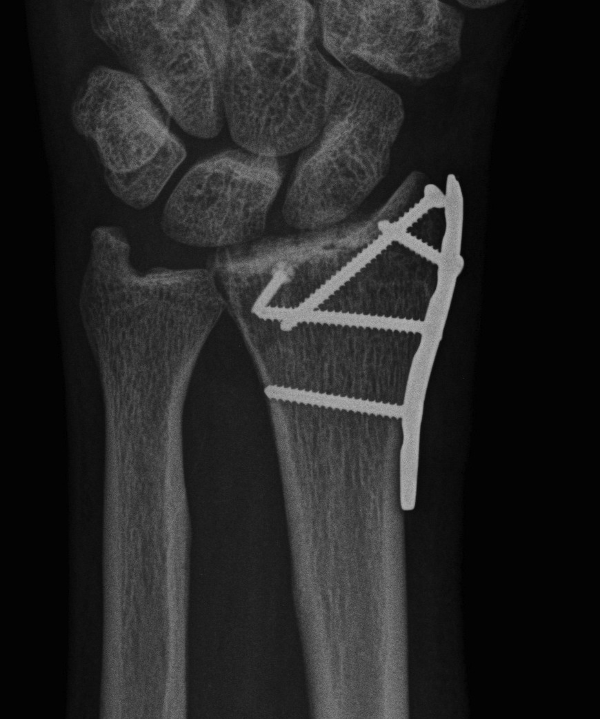
Dorsal Radiocarpal Dislocation ORIF 1Dorsal Radiocarpal Dislocation ORIF 2

 

B. Midcarpal Dislocation

 

 

  • radiocarpal dislocation
  • midcarpal dislocation

Book traversal links for Radiocarpal dislocation

  • ‹ Perilunate fractures and dislocations
  • Up
  • Carpal Instability ›

Table Of Contents

  • Welcome to The Bone School
  • Upper Limb
    • Shoulder
    • Elbow
    • Humerus
    • Wrist
      • Arthroscopy
      • Base of thumb arthritis
      • DRUJ / TFCC
      • De Quervain syndrome
      • Distal radius fractures
      • Ganglions
      • Kienbock's disease
      • Scaphoid fractures
      • Scapholunate ligament injury
      • Perilunate fractures and dislocations
      • Radiocarpal dislocation
      • Carpal Instability
      • Rheumatoid Wrist
      • Ulna Wrist Pain
    • Hand
    • Nerves
  • Lower Limb
  • Spine
  • Paediatrics
  • Tumour
  • Surgical Approaches
  • Trauma Principles
  • Examinations
  • Imaging
  • DDx
  • Miscellaneous
  • About Us
  • Exam Cases

Search