


Complications of surgery
Nwosu et al J Hand Surg Am 2023
- systematic review of 1400 patients treated with volar locking plates
- 12% major complication
- median nerve injury 7%
- hardware removal 7%
- tenosynovitis 3%
- CRPS 2%
- malunion 1%
- infection 2%
- tendon rupture 1%
Infection



Incidence
Rundgren et al BMC Musculoskeletal Disord 2020
- database of 32,000 distal radius ORIF
- plate infection: 5%
- K wire infection: 12%
- external fixation infection: 28%
Risk factors
Meng et al J Orthop Surg Res 2022
- 34 / 930 patients had infection after distal radius ORIF
- associated with males / smoking / bone graft / operation at night / low volume surgeons




CRPS
Definition
Autonomic dysfunction / trophic changes / impaired function
CRPS Type I: no nerve injury
CRPS Type 2: nerve injury
Risk factors
Women / smokers
External fixators
Tight casts
Lorente et al Arch Orthop Trauma 2023
- systematic review of CRPS after distal radius fractures
- incidence 14%
- risk factors high energy injuries / female / psychiatric disorders
Clinical


Burning pain / hypersensitivity / cold sensitivity
Change in colour / temperature / sweating of skin
Shiny skin
Reduced finger function
Intrinsic minus posture - hyperextended MCPJ / flexion IPJ
Vitamin C and CRPS Prevention
- RCT of 336 patients with distal radius fracture
- 500 mg vitamin C versus placebo
- no difference in outcomes
Evaniew et al J Orthop Trauma 2015
- meta-analysis of 3 RCTs and 890 patients
- no evidence that vitamin C reduces CRPS in distal radius fractures
Management
Physiotherapy / hand therapy
- active and passive ROM
- swelling control
- contrast baths - alternating hot and cold water
- desensitization
Clonidine patch
- 0.1 mg
- apply over sensitive area
Medications
| Amitryptiline | Lyrica | Gapapentin | Steroid pack |
|---|---|---|---|
| Tricyclic antidepressant | Pregabalin | Neurontin | |
|
25 mg three times daily 50mg at night |
75 - 100 mg 2 -3 times a day | 300 - 600mg tid | 25 - 50mg for 5 days |
| Drowsiness |
Dizziness Drowsiness Peripheral edema |
Dizziness Drowsiness Ataxia |
Adrenal suppression AVN |
| Contraindicated renal disease |
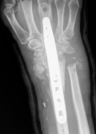
Tendon rupture
Azzi et al Plastic Reconst Surg 2017
- systematic review of tendon rupture after surgery
- 56 studies and 6000 patients
- volar plates: tendon rupture 1.5%, tenosynovitis 4.5%
- dorsal plates: tendon rupture 1.7%, tenosynovitis 7.5%
EPL rupture
Etiology
Minimally displaced distal radius fracture treated nonoperatively
- interrupts blood supply at a watershed area
- between 3 weeks and 3 months post injury
- ruptures distal to extensor retinaculum at Lister's tubercle
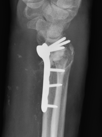
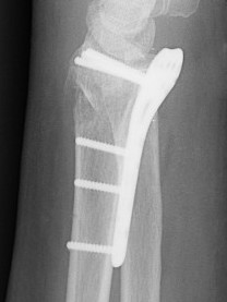
Dorsal plates
Long screws in volar plate
Rheumatoid arthritis
Examination
Place hand flat on table - lift only thumb
Management options
Direct repair - usually not possible
Palmaris longus graft
Extensor indicis proprius (EIP) tendon transfer
Results
Schaller et al Scand J Plast Reconstr 2007
- 45 patients with EPL rupture treated with EIP transfer or free tendon graft
- EIP: 86% good outcomes
- free tendon graft: 77% good outcomes
EIP Transfer
Assess EIP presence
- independently able to extend finger
- keep other fingers flexed, ask to extend index finger
Technique
Vumedi EIP to EPL tendon transfer video
Incision over index finger MCPJ
- harvest EIP
- EIP is ulna to EDC tendon
Incision extensor retinaculum
- confirm EPL ruptured
- identify EIP proximally (most distal muscle belly)
- release EIP distally
Incision at MCPJ thumb
- tunnel in straight line subcutaneously from wrist incision to thumb incision
- pulvetaft weave to EPL
- tension: need to be able to obtain full flexion with wrist extended
Flexor tendon rupture
Etiology
Plates distal to watershed mark
Prominent screws
Thicker plates
Incidence
Asadollahi et al J Orthop Traumatol 2013
- systematic review of flexor tendon rupture after plating of distal radius fractures
- 47 cases
- FPL 57%
- FDP to index finger 15%
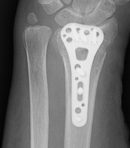
Volar rim plates
Lari et al Eur J Orthop Surg Traumatol 2023
- systematic review of surgical treatment of volar rim fractures
- 26 studies and 600 patients
- implant removal 22%
- flexor tendon irritation 6%


Malunion


www.boneschool.com/distal-radius-fracture-malunion