Goals
Medial OA
Slight overcorrection into valgus
- anatomical axis 8 - 10o valgus
- mechanical axis 3 - 5o valgus
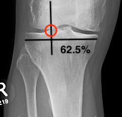
- Fujisawa point / 62% lateral tibial plateau / lateral tibial spine




Kujisawa point
Medial cartilage restoration procedures
Correct to normal alignment
- anatomical axis 5 - 7o
- mechanical axis 180o
- lateral 30 - 40% of the lateral plateau
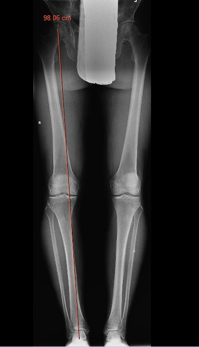
1. Calculate Desired Angle of Correction on Long Leg Views
A. Simple Calculations
Measure anatomic femoral tibial angle
Medial OA
- overcorrect to anatomical axis valgus 8o
Cartilage restoration
- correct to anatomical axis 5 - 7o
- mechanical axis of 180o


Example of medial OA
- anatomical angle 1o valgus
- correct to 8o valgus
- need to correct 7o


Example of medial cartilage procedure
- anatomical angle 0o
- correct to 5o valgus
- need to correct 5o
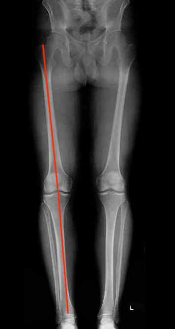
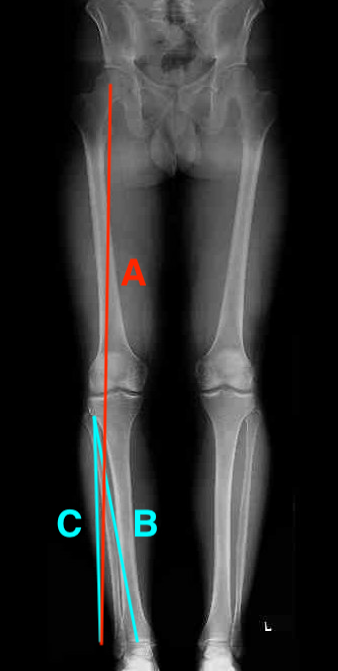
B. Miniaci method


Line A: Desired mechanical axis
- center of the hip to new desired weight bearing axis on lateral tibial plateau
- Fujisawa point (62% from the edge of the medial tibial plateau)
- slightly lateral to the lateral tibial spine
- extend this line to the level of the ankle
Line B: Center of ankle to pivot point on the proximal lateral tibia
Line C: Lateral pivot point to meet Line A
The angle between B and C is the angle of the desired correction
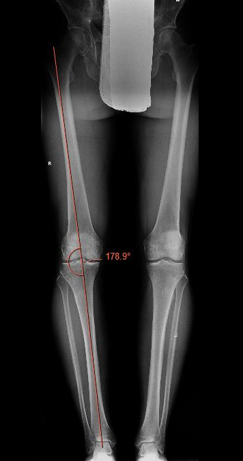
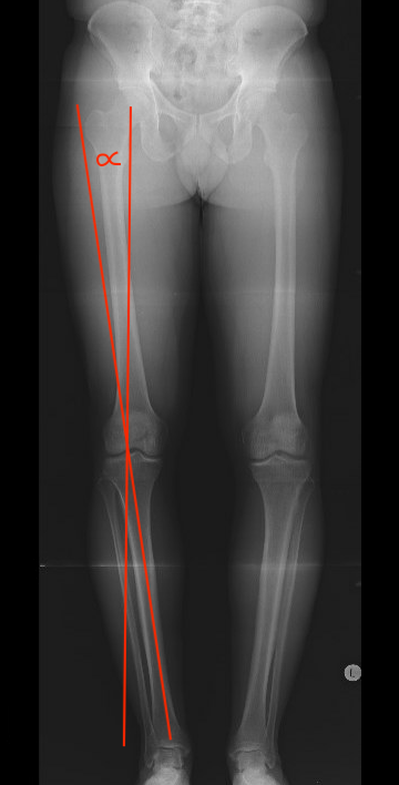
C. Fujisawa point / Weight bearing line method


Fujisawa point
- 62.5% from medial edge medial tibial plateau
- just lateral to lateral tibial spine
Line A: Center femoral head to Fujisawa point to level ankle
Line B: Center ankle joint to Fujisawa point
The angle between these lines is the angle of the desired correction
2. Calculation of Wedge
A. Rule of Thumb Method
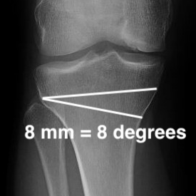
1mm opening = 1° correction
- i.e. 10o correction, 10 mm open / closing
Based upon average tibial width of 56 mm
- average tibial width at the flare is 75mm
- tends to under correct


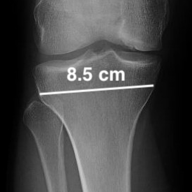
B. Trigonometry Calculation
Tangent angle formula
Tan Angle = opposite/adjacent
Opposite = adjacent x Tan angle


Example of 5 degree correction for medial cartilage procedure
- Opening height medially = tibial width X Tan angle correction required
- Wedge = 85 mm x tan 5 = 85 x 0.87 = 7 mm
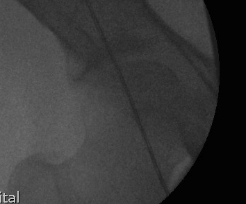
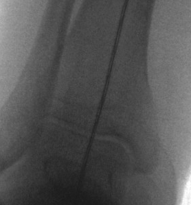
C. Intra-operative check
Use diathermy lead / drop rod
- center femoral head to center on talus
- ensure passes over lateral tibial spine / Fujisawa point


