Distal femoral varus osteotomy (DFVO)

 

 

DFVO 3Biplanar DFVO 2DFVO 1

 

Indications

 

Lateral compartment OA

 

Lateral compartment OAMedial CW DFVO

Valgus malalignment

- lateral cartilage procedures

- lateral meniscal transplant

 

ocdocdocd

 

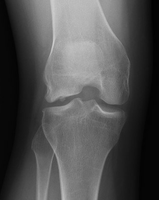
High Tibial Osteotomy (HTO) for Valgus Malalignment

 

Issues

 

Valgus typically caused by hypoplastic lateral femoral condyle

 

Correcting varus in the tibia leaves joint tilt

- > 10o joint line tilt continues to overload lateral compartment

- get shear forces and lateral tibial subluxation

 

Historically

- poorer outcomes for HTO for lateral compartment osteoarthritis

 

Distal femoral varus osteotomy (DFVO)

 

Indications

- > 12o valgus

- mechanical axis passes through the lateral compartment

 

Contra-indications

- < 90o flexion

- > 15o fixed flexion deformity / contracture

- tibial subluxation

- medial compartment OA

- smoking

 

Aim 

 

Focal cartilage defects / lateral meniscal defects

- produce 0-2° valgus of anatomical axis

- neutral mechanical axis (weight bearing line between tibial spines)

 

Lateral compartment OA

- 62.5% into the medial compartment

 

Options

- medial closing wedge

- lateral opening wedge

 

Lateral compartment OA

 

Saithna et al Open Orthop J 2012

- systematic review of DFVO for lateral compartment OA

- survival with arthroplasty as endpoint

- 64 - 82% at 10 years

- 45% at 15 years

 

Preoperative Planning

 

AP full length standing xrays

 

Line from centre of talus to desired mechanical axis

Line from centre of femoral head to desired mechanical axis

a) is the desired angle of correction

 

Valgus OA Preop PlanningDFVO preopDistal Femoral Osteotomy Postop View

 

Opening wedge versus Closing wedge

 

Diaz et al Am J Sports Med 2023

- systematic review of opening wedge (OW) versus closing wedge (CW)

- 23 studies and 619 patients

- no significant difference in outcomes scores

- no significant difference in complications

- painful hardware requiring removal most common complication

- 8 year survival CW DFVO 82%

- 4 year survival OW DFVO 91%

 

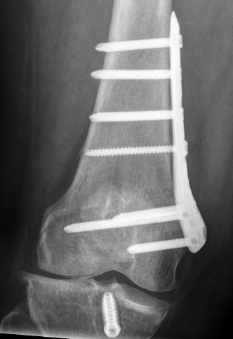
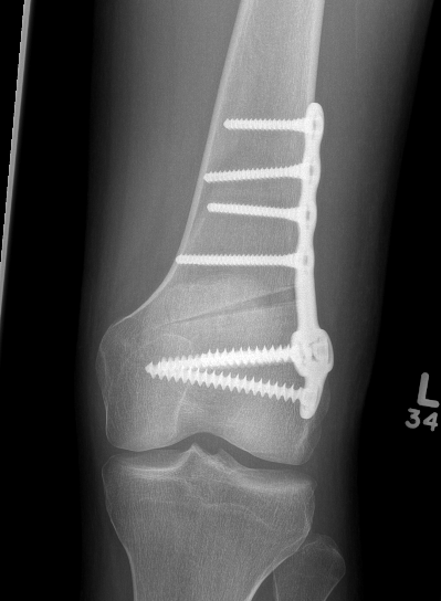
Lateral Opening Wedge Femoral Osteotomy

 

Advantage

- simple surgical approach

- single osteotomy cut

- more accurate correction

 

Disadvantages

- lengthen leg

- higher risk of non union

- better for smaller corrections

- plate often irritates iliotibial band

 

Distal Femoral Osteotomy Guide wireDistal Femoral Osteotomy Puddhu PlateLateral Distal Femoral Osteotomy

 

Technique

 

Arthrex ContourLock Distal Femoral Osteotomy Plates

 

Surgical technique video opening wedge distal femoral osteotomy

 

Vumedi technique opening wedge distal femoral osteotomy

 

Arthrex 0Arthrex0Arthrex 1

 

Arthrex 1Arthex 2Arthrex 3

 

Patient supine on a radiolucent table

 

Surgical approach

- lateral 12 - 15 cm incision

- split iliotibial band

- ligate perforators and elevate vastus lateralis off intermuscular septum anteriorly

- release intermuscular septum posteriorly at metaphyseal-diaphyseal junction

- protect neurovascular bundle

 

OW DFVO 1OW DFVO 2

 

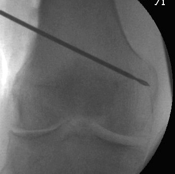
Osteotomy

- insert guide wires

- proximal lateral to distal medial

- proximal 1 - 2 cm above flare of lateral condyle

- aim towards adductor tubercle

- risk of medial hinge fracture reduced if osteotomy at or distal to adductor tubercle

- ensure these are perpendicular to the femoral shaft in the sagittal plane

- above patellofemoral joint and posterior condyles

- stop osteotomy 1 cm short of medial cortex

 

Open osteotomy

- maintain medial cortical hinge

- limit opening wedge to reduce fracture risk

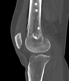
Distal femoral locking plate + bone graft

 

DFVO 3DFVO 2DFVO 3

 

DFVO 1DFVO 2

 

DFVO 1DFVO 2

 

Results

 

Saithna et al Knee 2014

- 5 year follow up of 18 patients treated with OW DFVO for valgus OA

- 79% survival at 5 years

- 1 nonunion, 2 loss of correction, 1 infection

- 2 persistence of symptoms

 

Avoiding medial cortical hinge fracture

 

Winkler et al KSSTA 2021

- 100 patients with mean age 31 undergoing OW DFVO

- 46% incidence of medial cortical hinge fracture

- reduced risk if osteotomy at or distal to adductor tubercle (27%)

- increased risk if osteotomy closer to medial cortex

- increased risk with increased height of osteotomy gap

 

Nonunion

 

Liska et al Int Orthop

- 41 patients with OW DFVO

- medial hinge fracture in 39%

- 3 delayed union

- 1 nonunion requiring revision surgery

 

Medial Closing Wedge Osteotomy

 

Advantages

- lower risk of non union

- better for larger corrections

 

Disadvantage

- requires two osteotomy cuts

 

Distal Femoral Osteotomy MedialDFCO medial closing wedge

 

Technique

 

Vumedi medial closing wedge osteotomy

 

Patient supine on a radiolucent table

 

Surgical approach

- medial longitudinal incision

- identify fascia of vastus medialis and joint capsule

- elevate vastus medialis off medial intermuscular septum leaving cuff of tissue to protect vessels

- Hohmann retractor posteriorly to protect NV bundle

 

CW DFVO 1OW DFVO 2

 

Osteotomy

- insert two K wires for desired wedge

- resect templated wedge

- stop 1 cm short of lateral cortex

- close femoral wedge

 

Lateral hinge fracture

 

Fujita et al Arch Orthop Trauma Surg 2023

- 21 patients with CW DFVO

- lateral hinge fractures in 57%

- hinge fracture associated with delayed healing

- recommend osteotomy at endpoint of distal lateral cortex

 

Results

 

Sternheim et al Orthopedics 2011

- 45 CW DFVO for lateral OA
- mean 13 year follow up

- 90% 10 year survival

- 79% 15 year survival

- 22% 10 year survival

 

Wang et al JBJS Am 2005

- 8 year follow up of 30 patients undergoing CW DFVO for lateral OA

- 83% satisfactory result

- remainder converted to TKA or poor result

 

Biplanar Osteotomy

 

Concept

 

Create anterior flange

- minimum 1 cm deep

- 3 - 4 cm long

 

Biplanar 1Biplanar 2

 

Advantage

 

Increased mechanical stability / controls rotation

Increases surface area for healing

 

Lateral Opening Wedge Biplanar Technique

 

OW DFVO 1Biplanar OW DFVO

 

Lateral opening wedge biplanar osteotomy surgical technique

 

Vumedi lateral opening wedge biplanar osteotomy surgical technique

 

Biplanar DFVO 1Biplanar DFVO 2DFVO 3

 

Biplanar DFVO

 

Medial Closing Wedge Biplanar Technique

 

CW DFVO 1Biplanar OW DFVO 2

 

Medial closing wedge biplanar osteotomy surgical technique

 

Vumedi medial closing wedge surgical technique

 

Complications

 

Intra-articular fracture

- osteotomy too close to joint

- failure to divide posterior / anterior cortex

 

Fracture through far cortex

- leave sufficient hinge of bone

- make osteotomy sufficiently distal

 

Over / Under correction

 

Neurovascular injury

 

Keep knee flexed

Posterior retractors

 

Bissichia et al CORR 2015

- superior medial and lateral geniculate artery at risk during DFVO

 

Tensho et al KSSTA 2023

- vascular anatomy of medial approach

- posterior border of VMO touched superficial femoral artery at average of 36mm from suprapatella border

 

Blood loss

 

Steinhaus et al J Knee Surg 2020

- reduced blood loss with TXA after DFVO

- most reduced with 1g TXA preop and 1g TXA 4 hours later

 

DVT / PE

 

Nonunion

 

Lash et al Arthroscopy 2015

- systematic review of 3000 opening wedge osteotomy cases

- delayed / nonunion rates autograft < allograft < bone substitute

 

Stiffness

 

Total Knee Arthroplasty following DFVO

 

Chalmers et al Bone Joint J 2019

- 31 TKA following DFVO

- average patient age 51, average time from DFVO 10 years

- 88% 10 year survival with revision as endpoint

- balancing the knee challenging

- 13% required varus valgus constraint

- 2 knees revised for instability

 

Nelson et al JBJS Am 2003

- 9 patients

- technically demanding

- femoral IM rod tended to place femoral component in varus