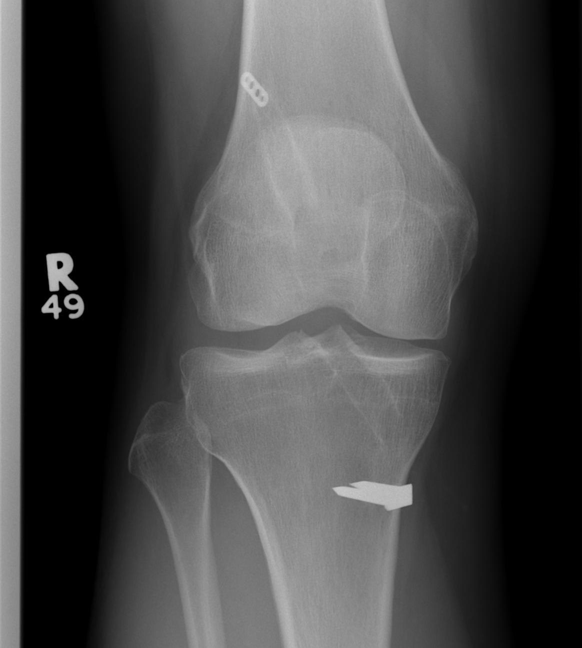
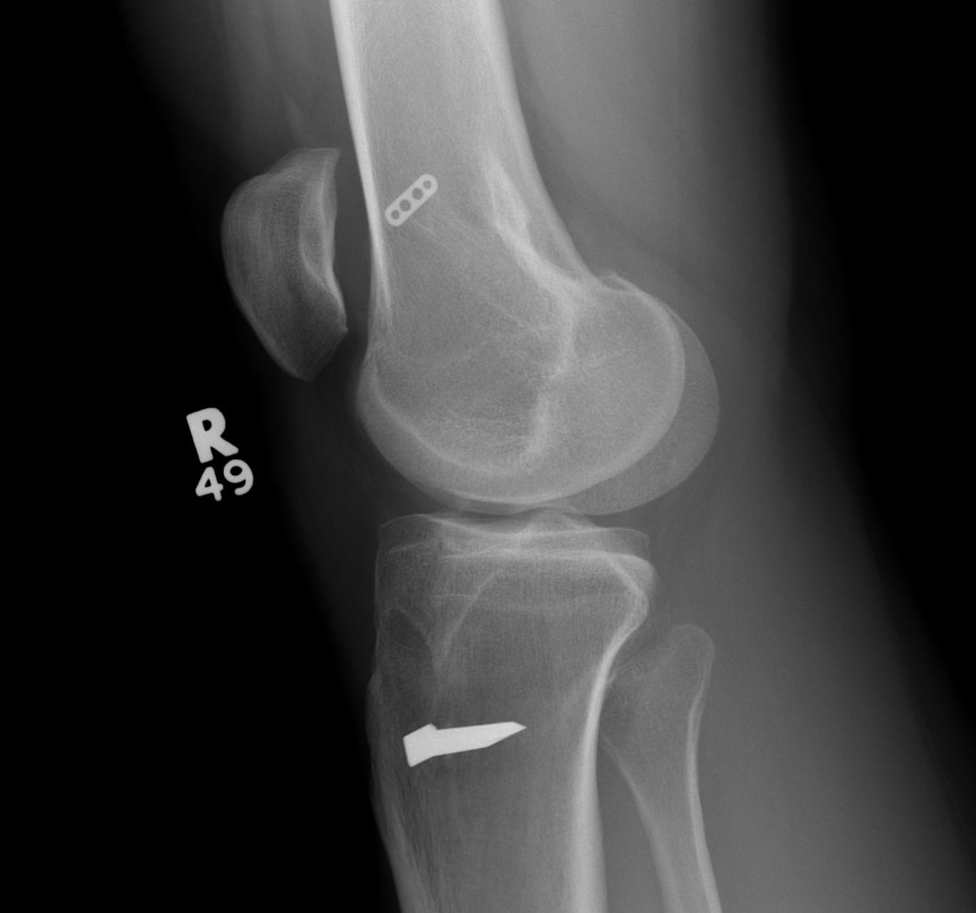
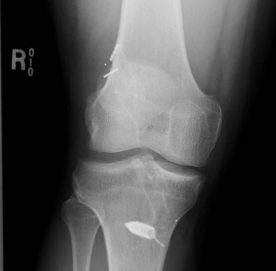
Case 1


Patient with traumatic failure ACL, previous hamstring with endobutton and bioabsorbable screw
Graft likely too vertical, evidence of tibial tunnel lysis



Coronal MRI can see ACL stump remnant, graft not intact. First sagittal confirms tunnel lysis.
Second demonstrates that femoral tunnel is sufficiently posterior


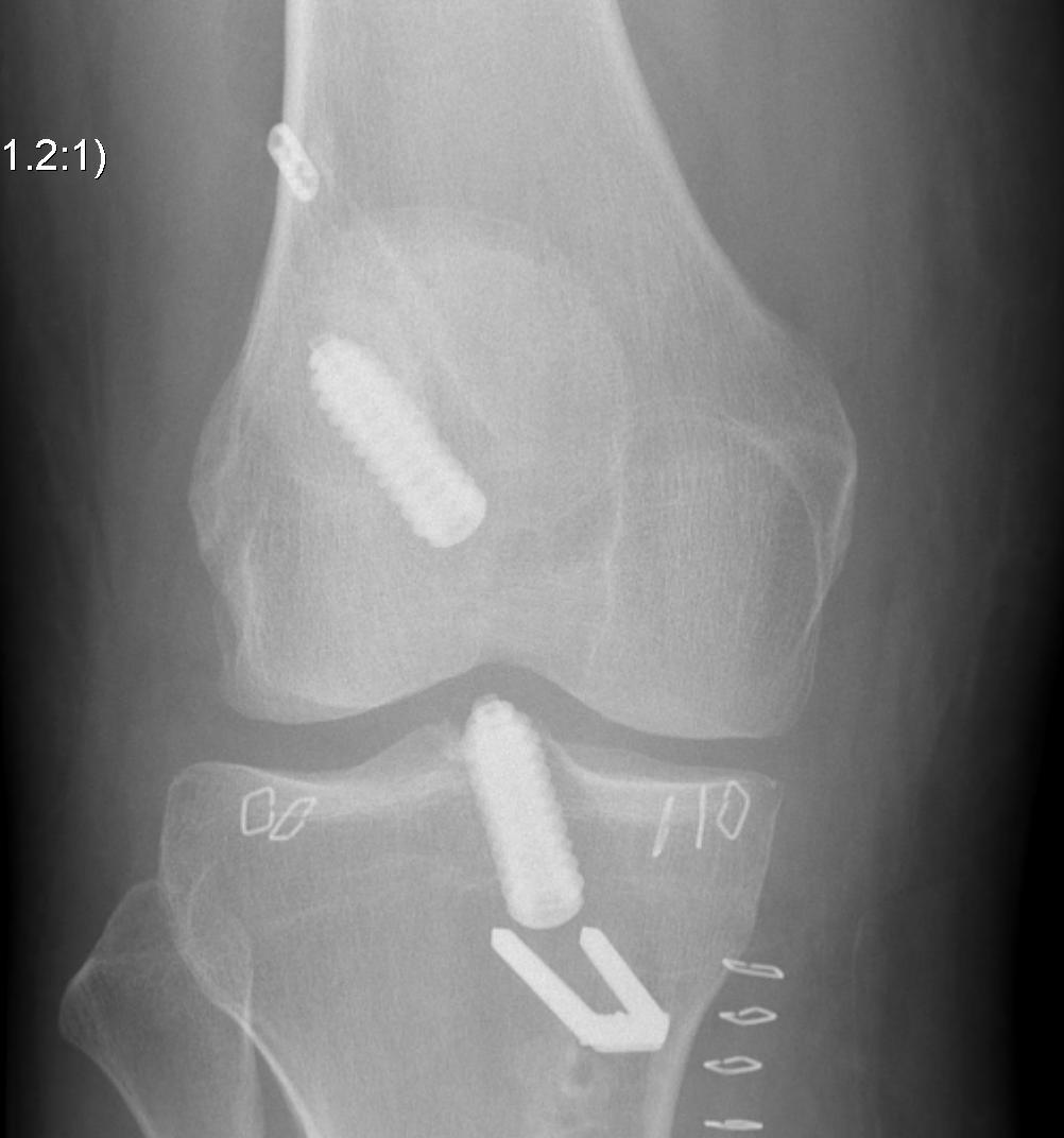
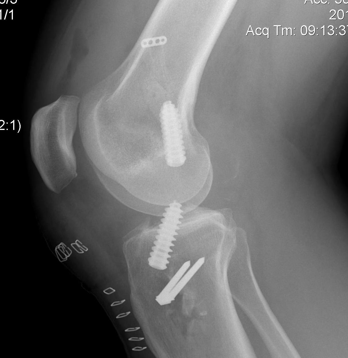
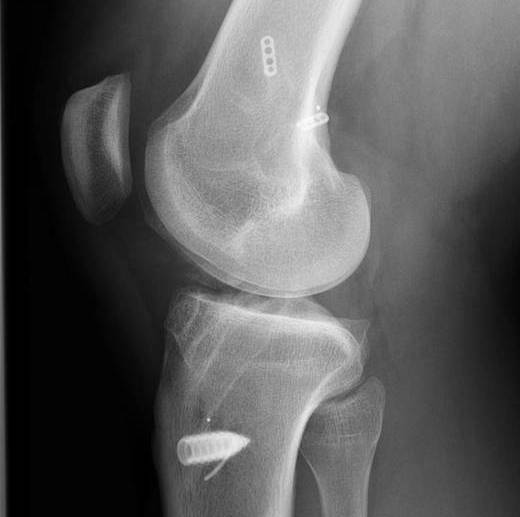
Achilles allograft used, and 12 mm x 20 mm bone plug used in femoral side. Both tunnels drilled where indicated.
Tibial screw ignored, old femoral tunnel ignored. 12 mm tunnels drilled.
Old staple had to be removed. Graft passed and fixed on femoral side with 9 x 25 mm screw.
Achilles tendon fixed on tibial side with 9 x 25 screw
Tibial bone very poor and screw little bite (advanced very easily too far into tibia, but not seen in joint).
New staple used, but had to be repositioned as cortical bone soft and fracture easily.
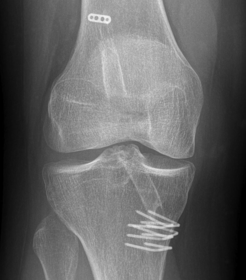
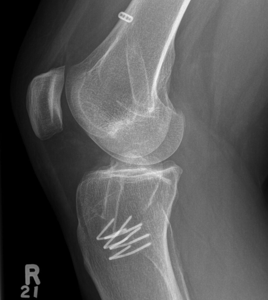
Case 2
Failed ACL with tibial tunnel too posterior and with lysis


Tunnels debrided / redrilled and synthetic bone plugs inserted






Case 4
Patient previous failed hamstring ACL likely from posterior tibial tunnel. Revision ACL with contralateral hamstring with new tunnel drilled anterior in tibia. Tibial tunnel now too anterior and revison also failed.




Case 5
ACL 8 years ago, traumatic rupture. Femoral tunnel too vertical from transtibial drilling. New femoral tunnel at 10 o'clock position completely separate from old tunnel by using anteromedial portal. Tibial tunnel exits at same point, but entrance more medial on tibia and guide set at 65o to ensure different tunnel. Tibialis posterior allograft used - 10 mm in diameter over endobutton.





