Pre-operative Planning
CT / quantify bone loss
X match 4 units
Cell saver
Anaesthetic review
Bone graft (cortical, cancellous)
Component removal gear
- extraction gear for femur / liners
- cement removers for cemented femur
- curved osteotomes for cemented cup
- X-plant for uncemented cup
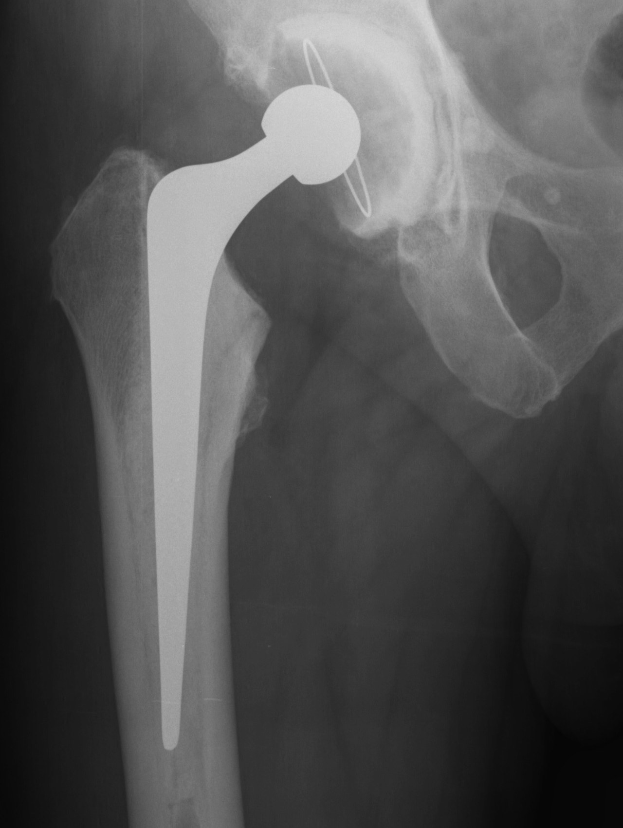
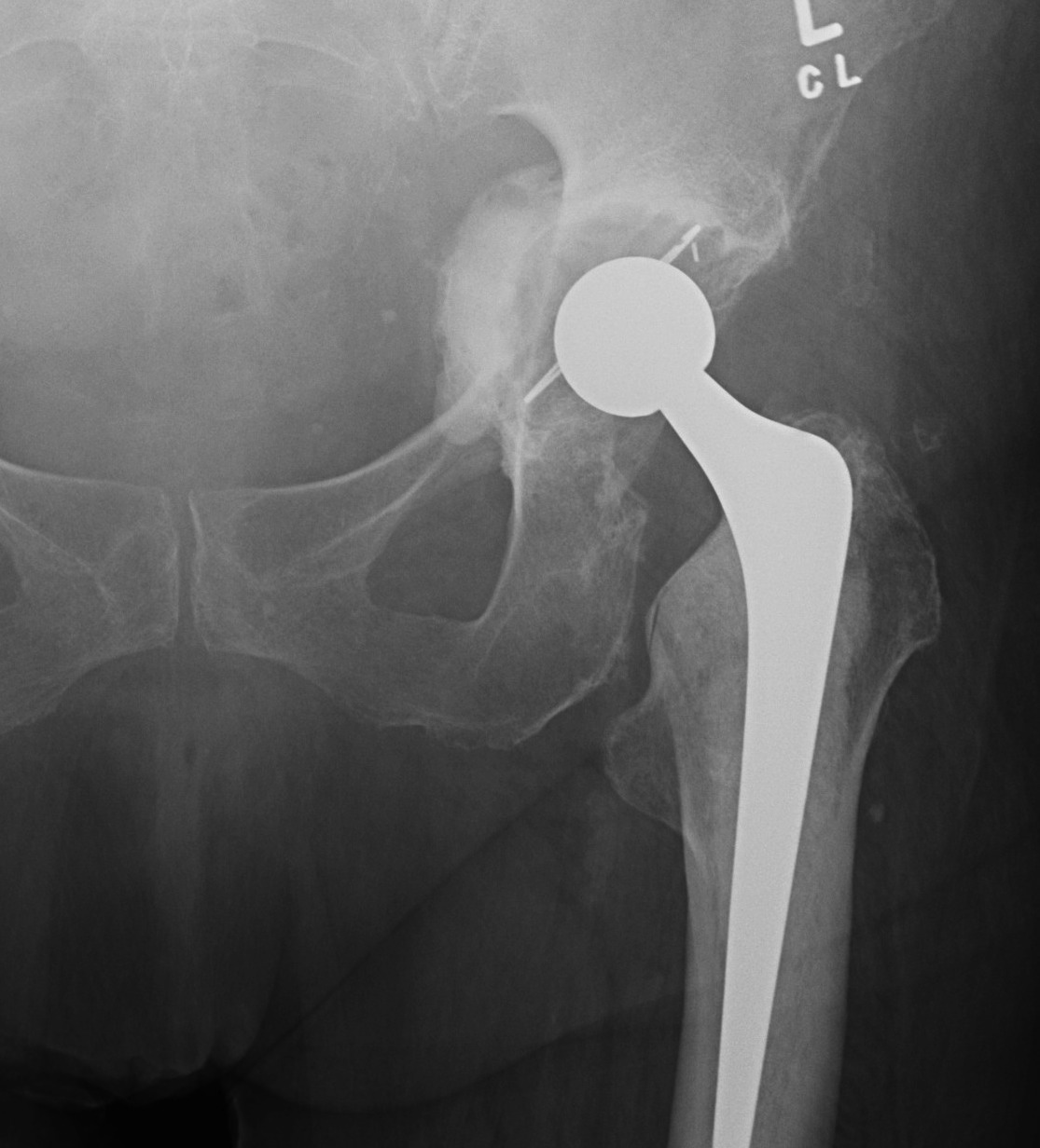
Revision long stem femoral implants
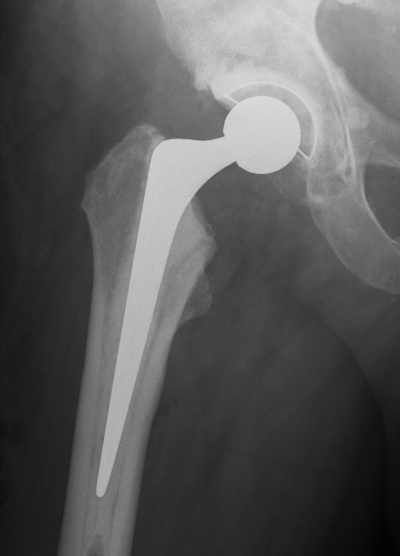
Revision acetabular implants including cages
Exposure
Posterior approach
- often easiest in revision
- good for ETO
Recreate fascial and muscular layers
- aids exposure and closure
Wide exposure of hip joint
- removal of all pseudocapsule
- expose entire proximal femur & acetabulum
Extended Trochanteric osteotomy
Concept
Osteotomy lateral 1/3 to 1/2 of trochanter / femur
- posterior to anterior longitudinal cut
- short distal transverse cut
- levers / hinges open anteriorly
- maintains anterior vasculature / muscle attachment
Indications
1. Aid exposure
2. Removal cement (especially infection)
3. Removal well fixed uncemented prosthesis
4. Removal cement plug / bone very poor / risk of perforation high
5. Abnormalities of the proximal femur
Contraindications / Relative
1. Impaction bone grafting
2. Cementing revision prosthesis
Technique ETO
Length
- measured from tip GT
- 2 – 15 cm long
- need to preserve diaphysis if using distal press fit uncemented stem
Timing
- usually after implant removal
- may not be possible
Site
- elevate vas lateralis forward
- expose linea aspera
- expose posterior femur
Osteotomy
- use drill holes to mark osteotomy
- drill both cortices
- thin oscillating saw
- cut down through anterior and posterior femur in line with GT
- through both cortices
- transverse cut distally through 1/3 diameter
- lever open
Fixation
- 3 x cerclage cables, tension
- protect sciatic nerve
- submuscular
Results
98 – 100% union rate by 6/12
Removal Femoral Implant
A. Cemented
Initially
- must clear shoulder of prosthesis
- must ensure no GT overhang or will fracture on removal
Extraction devices
- stem often easily removed if cemented
- extraction devices hook around proximal prosthesis & backslap
- can release cement – implant interface
- combination flexible osteotomes, micro sagittal saw, small burr
Cement removal
- aided by ETO
- use arthroscopy light down femur
Cement removal kit
- flexible osteotomes, reverse hooks, cement splitters
- split cement radially & then removed
- can use high-speed burr
- may require distal window
Removal of cement plug
- remove proximal cement
- drill guide in centraliser
- insert tap, then extract
Need to be very careful to avoid inadvertant perforation
B. Uncemented
Can be very difficult to remove a well fixed stem
- i.e. if removing for infection
Consider component design
- proximally coated
- extensively coated
Breakdown osseointegration
- flexible osteotomes
- sagittal saw
- very difficult
- can perform ETO about stem
Extraction devices
- company specific
- hook under neck
Broken Stems
- stem is invariably well fixed distally
- osteotomy to site of fracture
- +/- distal window
Acetabulum Removal
Acetabular revision only
1. Leave femoral component in situ
Indications
- femur not loose / damaged / good orientation
- need to be able to match new cup / poly to femoral head
Technique
- can remove head if modular (use company device to lever off)
- make anterior pocket for femoral stem
- protect trunion with swab
Note
- can be a problem putting a ceramic head on an old trunion
- if needed, can get a ceramic head with a metal liner for trunion
2. Removal of cemented Femoral component / Re-cement a smaller prosthesis into a well fixed cement mantle


Removal
- as above
Re-cement prosthesis
- ensure cement mantle clean and dry
- trial small component
- cement in cement revison with high viscosity cement
- insert cement when very viscous
- put in new prosthesis very early
Removal Cemented Acetabulum
1. General principle is to loosen poly cup from cement
- do so with curved gouges
- between cement & cup
- cement then removed piecemeal
2. Can simply ream out the poly
3. Insert threaded extractor through drill hole in poly
- then disimpact poly from cement
Uncemented Acetabulum
Options
- may just be changing liner and leaving cup
- may need to remove well fixed cup i.e. infection
- may be removing loose cup
Liner
1. Company specific removal instruments
- need to disengage locking mechanism
2. Simply lever out liner with osteotomes
3. Drill hole in liner 4.5 mm
- insert 6.5 mm screw to push liner out
Metal Shell
1. Curved osteotomes
- risk bone loss
2. Zimmer Explant Acetabular Removal System
- 3 sizes depending on implant size
- central head to sit in liner
- must remove screws first, then replace liner
- diamond blades cut between cup and bone
- initial blade short
- second is thin and full radius
Intrapelvic acetabulum / cement

Issue
Can be life threatening if just pulled out from standard approach
Workup
Preoperative contrast studies
General surgeon / vascular surgeon available
Options
A. No aneurysm
- lateral window of ilioinguinal
- elevate iliacus subperiosteally from table of ilium
- remove under direct vision
B. False aneurysm
- Rutherford Morison approach
- general / vascular surgeon