Arthrodesis

 

Hip fusionHip fusion 2

 

Indications

 

Young adult / children / adolescents with end stage OA

High risk of THA failure  / multiple revision surgeries

 

Aims of arthrodesis

 

Minimise shortening

Facilitate future conversion to THR

 

Contraindications

 

Poor bone stock

- i.e. AVN

 

Bilateral hip disease

- need ROM in other hip 90o in order to compensate in gait

 

Polyarticular disease i.e.  Rheumatoid arthritis

- likely to develop hip / knee / back OA

 

Degenerative disc disease

- lumbar spine ROM important to compensate in gait and ability to sit in chair

 

Stiff ipsilateral knee or contralateral hip

 

Disadvantages

 

Functionally inferior to THA

 

Increased stress on other joints

 

1.  Lumbar spine pain

- most common reason for converting to THA

 

2.  Ipsilateral knee pain

 

3.  Contralateral hip pain

 

 

Difficulties with certain activities

 

Squatting

Running

Sitting erect in chair

Difficulty putting on shoes

 

Gait abnormalities

 

Decreased stride length / shortened stance phase

Increased energy requirements / increased oxygen consumption

 

Surgery

 

Concepts

 

Retain option of conversion to THR 

- avoid old techniques involving pelvic osteotomy

- preserve abductors

 

Types

 

1.  Intra-articular

2.  Extra-articular

3.  Combined

 

Position

 

Sagittal / 20° flexion

- <20° flexion - difficult to sit

- >25° flexion - difficult to walk due to LLD

 

Coronal / 0° adduction / abduction

- never abduction: can't walk, fall over even with 5° abduction

- too much adduction: LLD

 

Rotation / 15° ER 

 

< 2 cm LLD

 

Complications

 

Pseudarthrosis - 10% 

Mal-positioning

 

Options

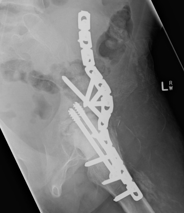
Extra-articular Intra-articular Combined intra-articular + anterior plate
Hip Fusion Cobra Plate Hip Fusion AP Hip Fusion 1Hip fusion 2

 

Technique

 

Surgical technique tntra-articular + anterior plate PDF

 

Technique

 

Radiolucent table with image intensifier

Supine

 

Smith Peterson approach

- leave abductors intact

- dislocate hip anteriorly

- between sartorius and TFL

- between G medius and Rectus femoris

- take off reflected head of rectus, remove direct head to AIIS

 

Remove cartilage from head & acetabulum

- cup arthroplasty instruments useful for acetabulum

- approximate raw surfaces

- pack cancellous autograft

- position hip & hold with guide-wires temporarily

- place one guide wire central in head

 

Check position of hip

- need to be able to do intra-operative Thomas test

- Flexion 20o / Add 0o / ER 15o

 

Fixation

- 150° DHS / 6.5 mm cannulated screws

- through joint into thick supra-acetabular area of ilium

- supplement with additional screws as necessary

 

Anterior plate onto lateral aspect of iliac crest

 

TWB 3 months

Consider late plate removal to reduce risk peri-prosthethic fracture

 

Results

 

Banksota et al Bone Joint J 2022

- 20 year follow up in 26 patients

- mean age at fusion 14

- Harris hip score good / excellent in 57%

- Harris hip score fair in 42%

- 20% moderate back pain

- 4% moderate knee pain

 

Hoekman et al PLoS One 2014

- 35 fusions with anterolateral fusion plate

- nonunion 2/35

 

Ipsilateral TKA with fused hip

 

Issue

- cannot flex hip

- impossible to flex knee when supine on bed

 

Solution

- knee over end of bed

 

Surgical technique PDF

 

Conversion to THA

 

Hip fusion 1Hip fusion conversion 1Hip fusion conversion 2

 

www.boneschool.com/arthrodesis-conversion-THA