Distal radius malunion

 

malunionmalunionmalunionmalunion

 

Definition

 

Unacceptable position of distal radius post fracture causing pain / stiffness / loss of function

 

Types

- extra-articular

- intra-articular

- mixed

 

Incidence

 

Raudasoja et al J Hand Surg Eur 2024

- national database of 41,000 distal radius fractures

- 300 oseotomies

- highest in those aged 40 - 50

 

Malunion

 

Radial shortening Radial inclination Positive ulna variance

malunion

malunion

malunion

 

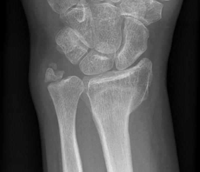
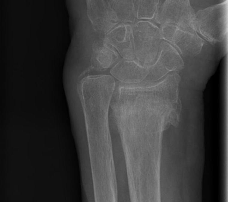
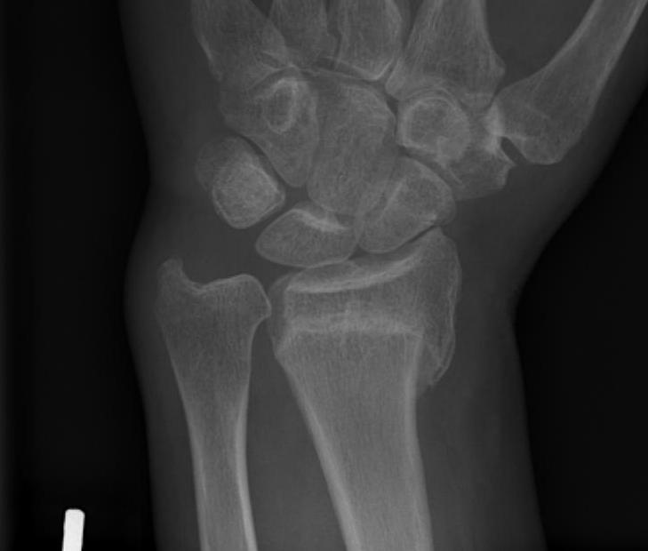
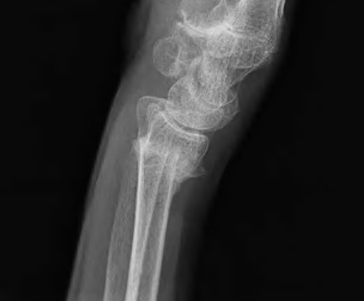
Dorsal tilt > 15 degrees Volar tilt > 10 degrees Articular step > 3 mm

malunion

malunion malunion

 

Pathology

 

Radial shortening

- affects normal kinematics of the DRUJ

- ulnocarpal abutment

 

Dorsal tilt

- loss of flexion 

+/- midcarpal instability - DISI / CIND without interosseous ligament disruption

 

Clinical

 

Stiffness - loss of dorsiflexion / supination

Weak grip

Ulna sided pain

Wrist pain 

 

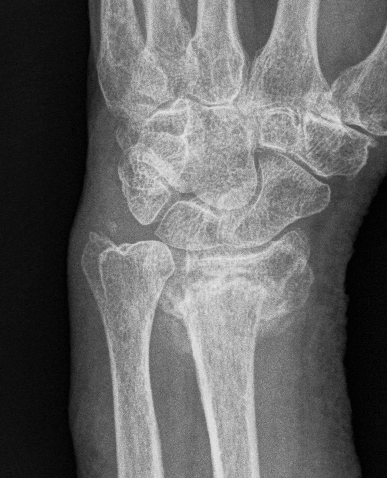
Xray

 

Bilateral xrays

 

PA film in neutral 

- wrist neutral

- elbow & shoulder at 90°

 

malunion

 

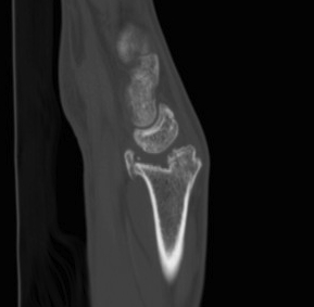
CT 

 

malunionmalunionmalunion

 

Operative Management

 

Indications

 

Pain

Disability

 

Contraindications

 

Radiocarpal osteoarthritis

Osteoporosis / smoking

CRPS

 

Surgical Options

 

Ulna shortening

Radial osteotomy - volar versus dorsal

Radial osteotomy + ulna shortening +/- distal ulna resection / fusion

Intra-articular osteotomy

Soft tissue releases for stiffness

 

Outcomes

 

Radial osteotomy versus ulna shortening

 

Ma et al Arch Orthop Trauma 2022

- 68 patients with radial malunion

- radial lengthening versus ulna shortening

- better pain relief and functional outcomes with radial osteotomy

- shorter surgery with ulna shortening

- 2 revisions for painful nonunion with ulna shortening

 

Radial osteotomy versus DRUJ fusion

 

Wang et al J Hand Surg Am 2024

- RCT of 33 patients > 60 years old with radial malunion

- radial osteotomy versus Suave-Kapanji 

- better grip strength in radial osteotomy

- similar outcomes in both groups

- shorter operative times with Suave-Kapanji

 

Ulna shortening

 

Low et al Arch Orthop Trauma 2014

- 23 patients 7 years post ulna shortening osteotomy

- 21/23 satisfied

- better results with minor radial displacement (< 10 degrees)

- better results with postoperative ulna positive or neutral

 

Volar versus dorsal radial osteotomy

 

Oka et al Int Orthop 2018

- 28 patients undergoing osteotomy for radial malunion

- dorsal plate: increased complications including plate removal

- volar plate: increased undercorrection, difficulty with plate fitting

 

CT guided 3D planning

 

Buijze et al JBJS Am 2018

- RCT of 40 patients with radial malunion

- 2D versus 3D planning and patient specific surgical guides

- 3 degree better correction in 3D group

- non significant trend towards better outcomes in 3D group

 

Ulnar Shortening

 

ulna shortulna shorteningulna short

 

Indications

 

Short radius, positive ulna variance

Acceptable alignment distal radius

Acceptable DRUJ 

 

Technique

 

Approach to ulna 

- between ECU and FCU

- can use cutting jigs

- resect 2 - 6 mm of ulna based on xray templating

- compression plate

 

Vumedi ulna shortening osteotomy using cutting jig video

 

Medartis ulna shortening jig PDF

 

Acumed ulna shortening jig PDF

 

Results

 

Owens et al J Hand Surg Am 2019

- systematic review of ulna shortening osteotomy

- nonunion rate 4%

- no difference between transverse or oblique osteotomy

- delayed union: transverse 7%, oblique 4%

 

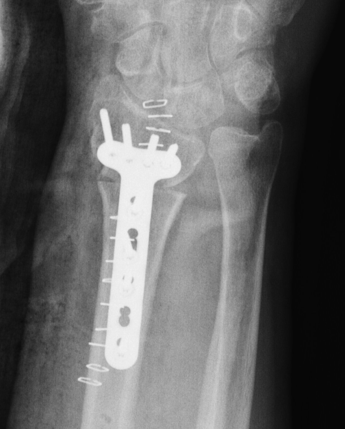
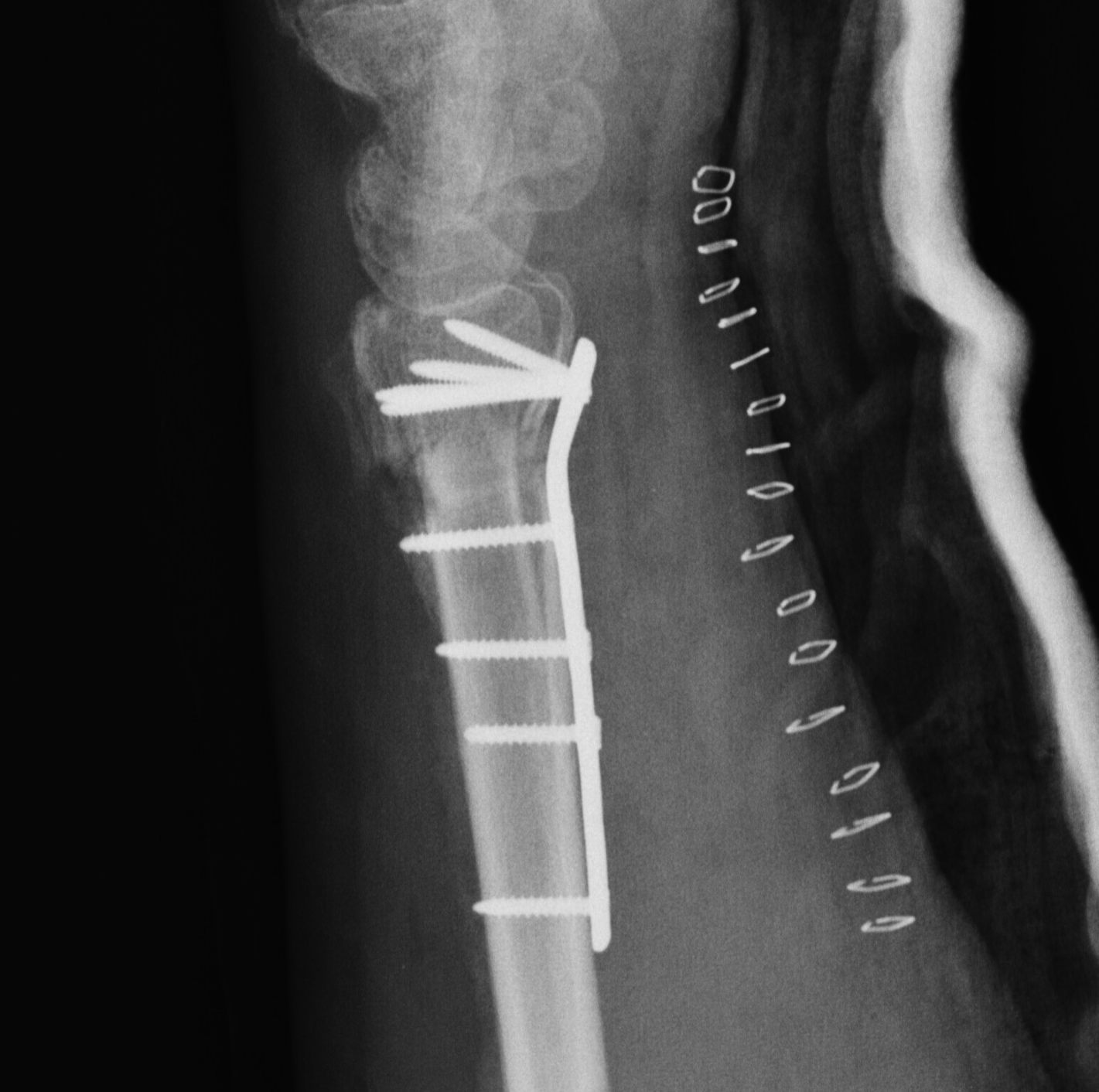
Distal radial osteotomy

 

Indications

 

Dorsal tilt / radial tilt / loss of inclination

Acceptable DRUJ articular surface

 

Options

 

Dorsal opening wedge

Volar opening / closing wedge

 

Volar opening wedge

 

Radial Malunion Volar Opening Wedge OsteotomyRadial Malunion Volar Opening Wedge Osteotomy Lateral

 

Advantage

 

Volar approach and plate

 

Disadvantage

 

May require dorsal approach to bone graft

 

Technique

 

ostoetomostoetoosteoosteotomy

 

Vumedi volar osteotomy for distal radius fracture

 

Bed of FCR approach

- release brachioradialis

- protect structures with retractors

- perform osteotomy parallel to articular surface 

- sufficient distal bone for screw fixation

- correct distal radius in two planes

- apply volar plate

- bone graft defect through radial aspect of wound

+/- dorsal approach to insert bone graft

 

Volar osteotomyVolar osteotomyvolar osteotomyvolar osteotomy

 

Dorsal opening wedge osteotomy

 

Distal Radial Malunion Dorsal OsteotomyDistal Radial Malunion Dorsal Osteotomy

 

Advantage

 

Lengthens the distal radius

May be easier to correct in coronal and sagittal plane

 

Disadvantage

 

Dorsal approach / dorsal plate - extensor tendon issues

 

Technique

 

3 / 4 dorsal approach

- expose distal radius

- can use half pins to control distal fragment

- protect structures with homan retractors

- osteotomy with microsagittal saw

- correct radial articular surface in sagittal & coronal planes

- trapezoidal bi-cortical iliac crest autograft / synthetic graft

- dorsal locking plate

 

Distal radial osteotomy & ulnar shortening

 

osteotomyDRUJDR osteot

 

Indications

 

Unacceptable radial alignment

DRUJ not reduced by radius osteotomy

DRUJ articular surface acceptable

 

Distal radial osteotomy & ulnar resection / fusion

 

Indications

 

Unacceptable radial alignment

DRUJ not reduced by radius osteotomy

DRUJ articular surface unacceptable

 

Radial malunionDRUJDRUJ

 

Options

 

Bower's hemiresection

Darrach's

Suave-Kapandji

 

Intra-articular osteotomy

 

Indication

 

Step deformity

No radiocarpal osteoarthritis

 

Technique

 

Dorsal 3/4 approach and open radiocarpal joint