Background

 

Dr shortdistal radiusplate

 

Epidemiology

 

Bimodal

 

Young patients - high velocity injuries

 

Older patients - low velocity / osteoporosis

 

Anatomy

 

columnsSigmoid notch

 

3 columns Three articular surfaces

Radial column with scaphoid fossa and radial styloid

 

Intermediate column with lunate fossa and sigmoid notch

 

Ulna column with TFCC and distal ulna

Scaphoid facet

 

Lunate facet

 

Sigmoid notch

   

 

Radial angles

 

Volar tilt mean 11° Radial inclination  mean 22° Radius mean 11 mm longer than ulna 
volar tilt DR DR

 

Fracture Patterns

 

Frykman Classification

 

Type I  Type II Type III Type IV
Extra-articular fracture

Extra-articular fracture

+ ulna styloid

Intra-articular fracture

Intra-articular fracture

+ ulna styloid

Type I Type II Type III Type IV

 

Type V Type VI Type VII Type VII
Transverse fracture into DRUJ

Transverse fracture into DRUJ

+ ulna styloid

Intra-articular fracture + DRUJ

Intra-articular fracture + DRUJ

+ ulna styloid

Type V DRUJ Type VI Type VI

 

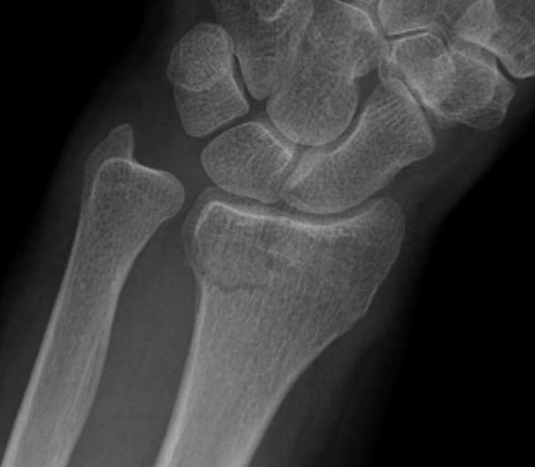
Named fracture patterns

 

Colle's fracture Smith's fracture Chauffeur's Fracture
Distal radius fracture with dorsal displacement Distal radius fracture with volar displacement Radial styloid fracture
Colles Smiths Radial styloid fracture

 

Volar Barton's fracture Reverse Barton's fracture Die Punch

Volar intra-articular fragment

Inherently unstable

Dorsal intra-articular fracture Depressed articular fragment
Volar bartons Dorsal Bartons

Die punch

 

Fracture configurations

 

Extra-articular fracture Intra-articular with scaphoid and lunate fossa fragments Volar Barton's
extraarticular distal radius Volar bartons

 

Dorsal fractures Volar ulnar fracture Sigmoid notch involvement
Dorsal fragments Volar ulna Simoid notch

 

Management

 

Reduction 

 

Conscious sedation

- 2 minutes of traction / reduction of deformity

- backslab 

- re-xray

 

DRDR

 

Indications for surgery

 

Absolute

- open fracture

- acute severe carpal tunnel syndrome

 

cmpdCMPDcmpd

 

Relative

 

1. Failure to obtain and maintain adequate reduction

- unclear, likely dependent on age

- radial shortening > 5 mm

- dorsal tilt > 15o    

- articular incongruency > 2 mm

 

2. Unstable fracture patterns - volar Barton's, DRUJ

 

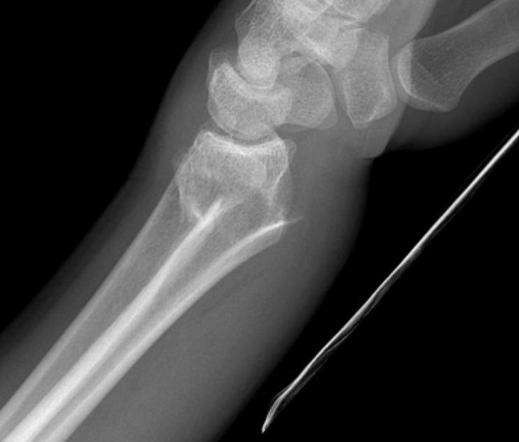
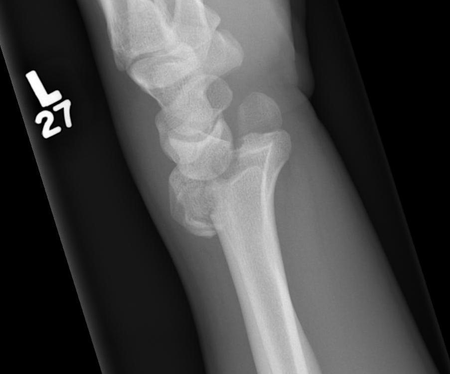
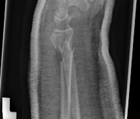
Dr shortDR short

Distal radius fracture with shortening and dorsal tilt

 

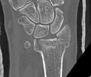
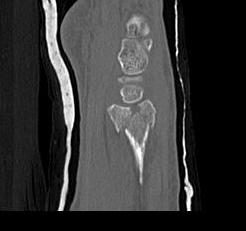
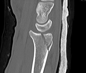
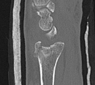
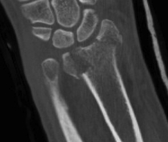
Distal Radius Fracture Articular Step Coronal CTDistal Radius Fracture Articular Step Sagittal CT

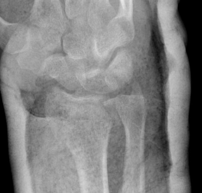
Articular incongruency > 2 mm

 

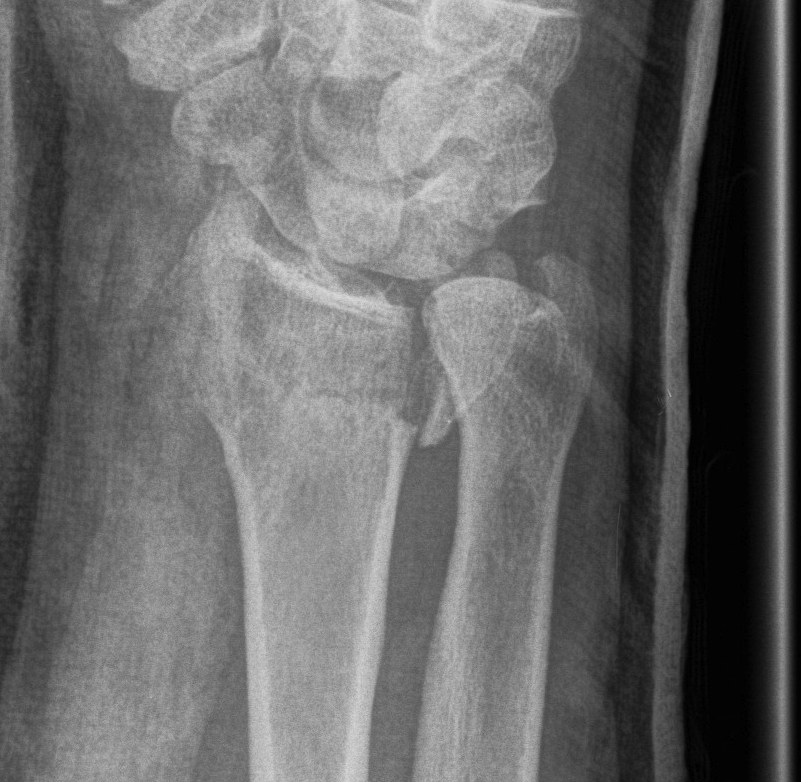
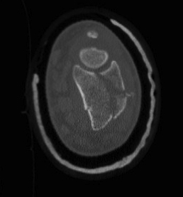
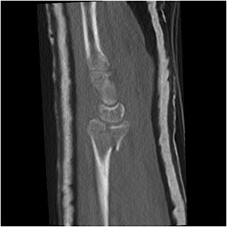
Distal Radius Fracture DRUJ incongruentDRUJ FractureDRUJ Fracture CT

Sigmoid notch disruption and DRUJ instability

 

Operative versus non operative management

 

Outcomes

 

Zhu et al BMC Surg 2024

- systematic review of operative v nonoperative distal radius fractures

- 17 RCTs and 1700 patients

- improved outcome scores, grip strength and pronation / supination with surgery

- no difference in wrist flexion or extension

 

Patients > 60:  It is likely that surgery in older patients is not related to improved outcomes

 

CROSSFIRE study JAMA Surg 2021

- RCT of 166 patients > 60

- closed reduction v volar plating

- no clinically important between group differences at 12 months

 

Latypov et al J Wrist Surg 2023

- systematic review of 6 RCTs displaced distal radius fractures > 60 years

- closed reduction versus volar plating

- DASH outcome better with surgery, but mean of 3/100 points which did not reach MCID

- no difference in complicatons

 

Stephens et al JBJS Am 2020

- systematic review of 6 RCTs and 550 patients > 60

- closed reduced v volar plating

- DASH outcome better with surgery, but mean of 6/100 points which did not reach MCID

 

Surgical options

 

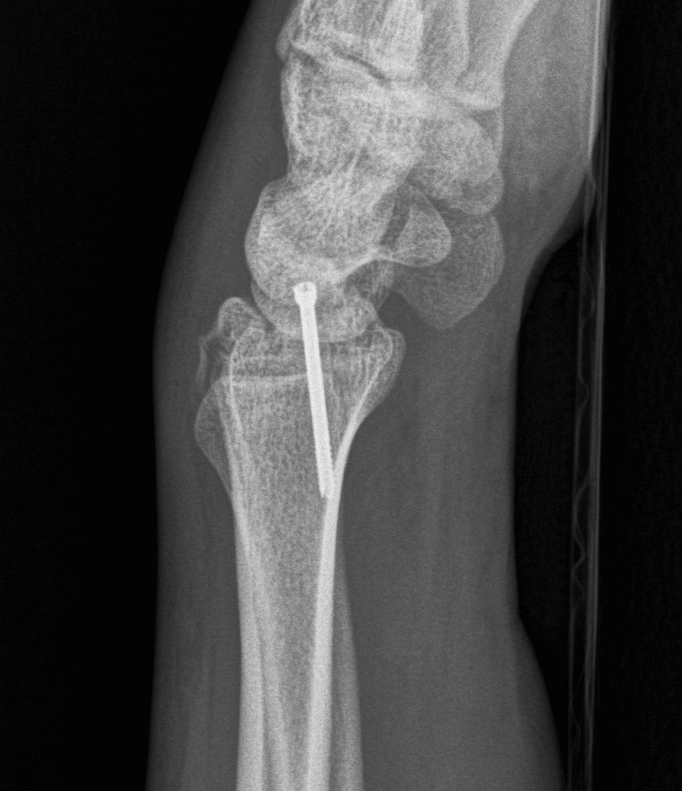
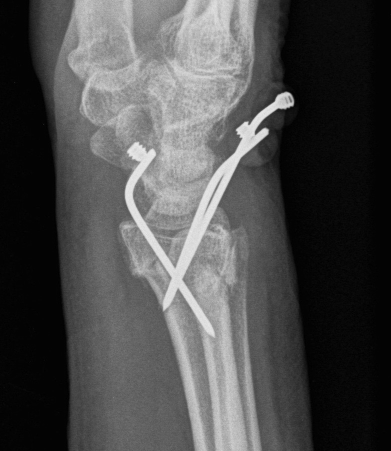
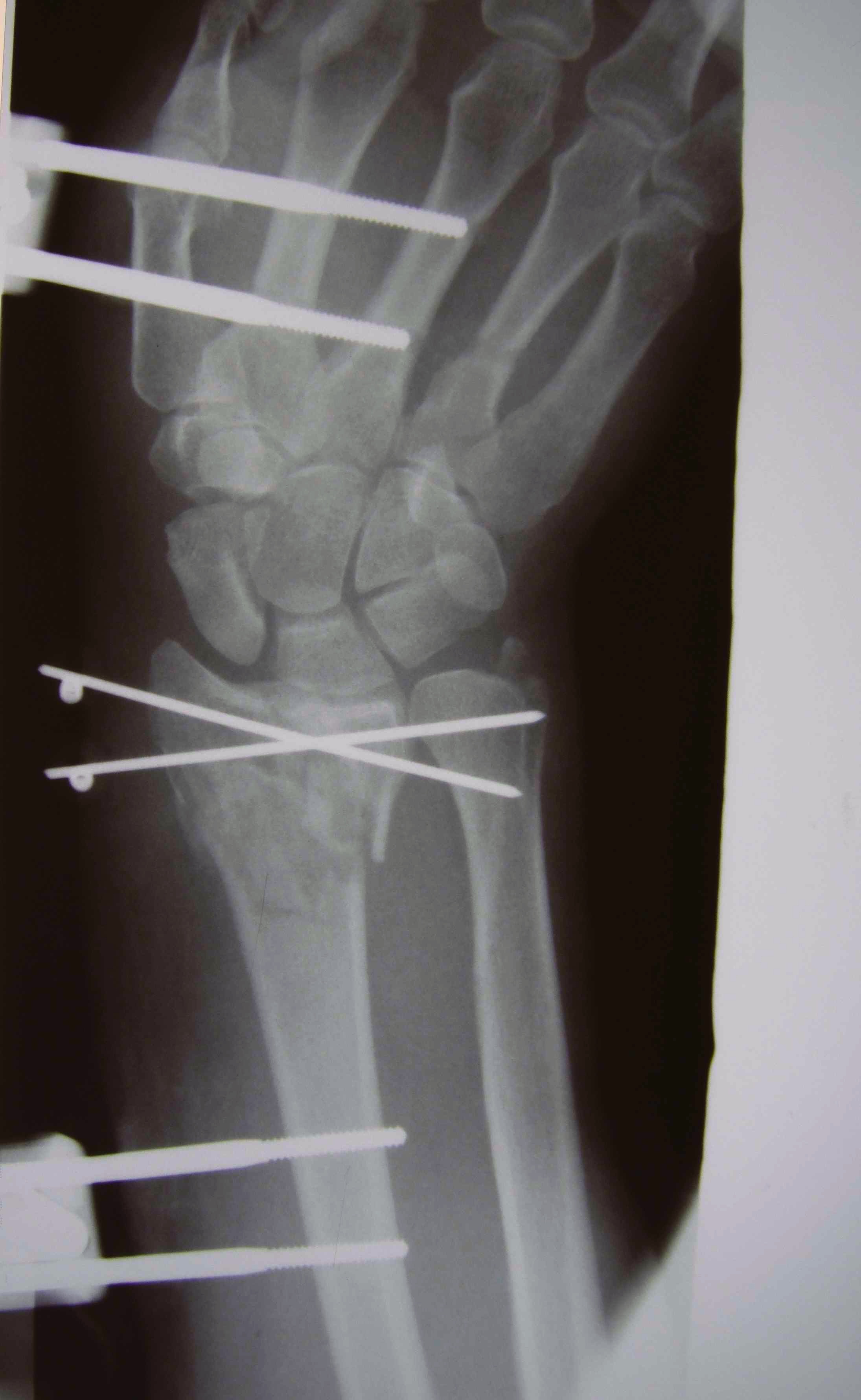
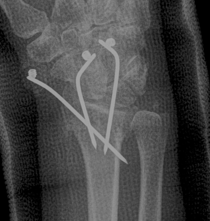
K wires

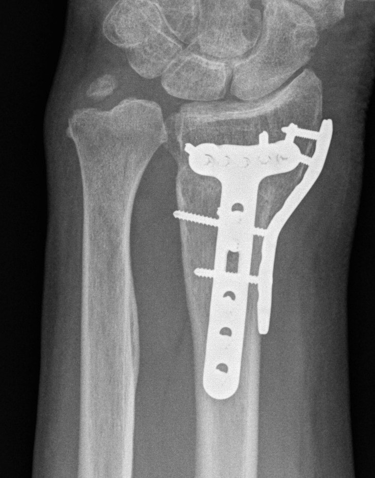
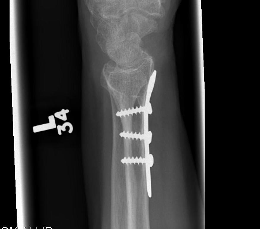
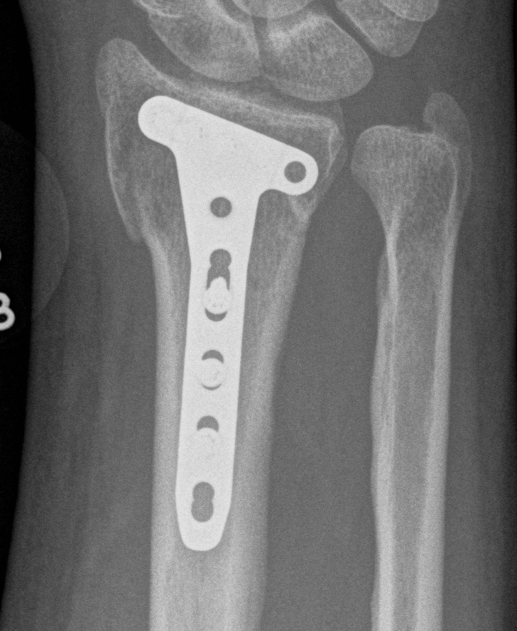
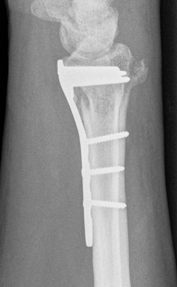
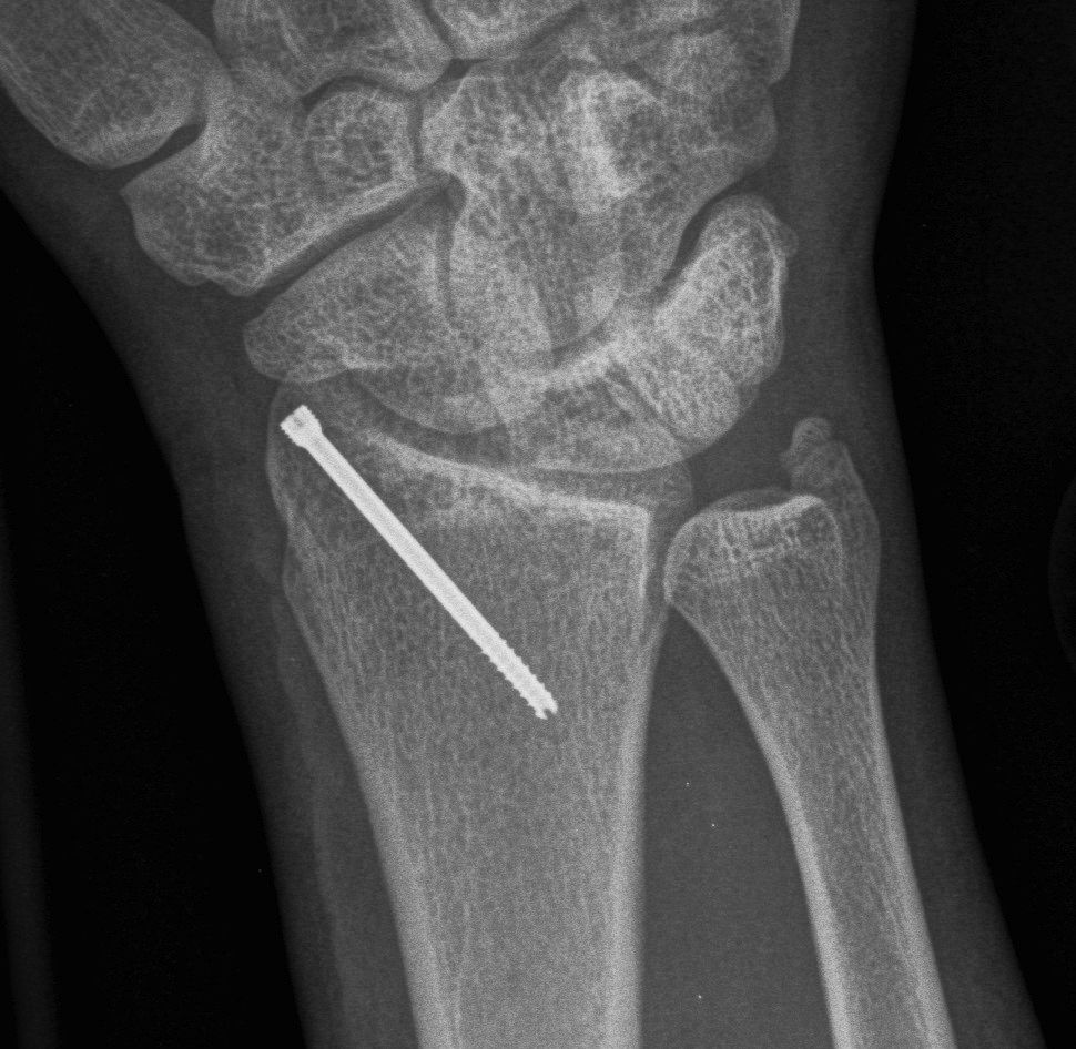
Volar locking plates

External fixation

Dorsal spanning plates

 

Distal Radius Fracture K wires APplateex fixbridge plate

 

K wires v Volar locking plates

 

Francheschi et al Br Med Bull 2025

- systematic review of K wires v volar locking plates

- 14 studies and 1300 patients

- better DASH outcome scores with locking plates

- increased cost and surgical times with locking plates

 

Plates v External Fixation

 

Gou et al BMC Musculoskeletal 2021

- systematic review of external fixation versus volar locking plates

- 12 studies and 1200 patients

- better outcome scores and lower complications with volar locking plates