


Eponymous name
Snowboarder's fracture
Epidemiology
10% talus fractures
Second to talar neck fractures
Anatomy


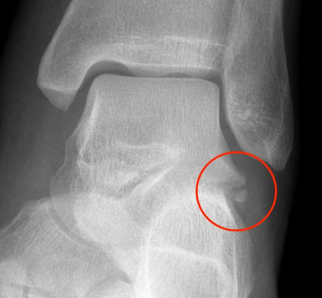
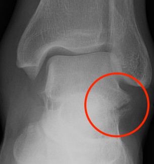
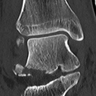
Wedge shaped prominence from the lateral aspect of the talar body
Articulates with
- distal fibula
- posterior subtalar joint of the calcaneum
Point of attachment of lateral talocalcaneal ligament
Mechanism
Acute dorsiflexion & inversion of foot
Most are avulsion fractures
Clinical
Lateral ankle sprain
Chronic lateral pain
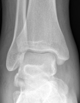
X-ray
Best seen on mortise view




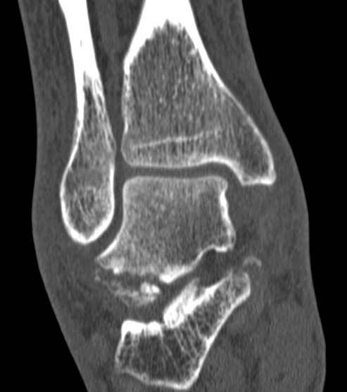
CT


McCrory-Bladin Classification
| Type I |
Type 2A |
Type 2B | Type 3 |
|---|---|---|---|
|
Chip fracture Doesn't involve articular surface |
Larger fracture Involves articular surface talofibular & subtalar join Undisplaced |
Larger fracture Involves articular surface talofibular & subtalar joint Displaced |
Comminuted fracture Involves articular surface talofibular & subtalar |
![]() |
![]() |
![]() |
![]() |
| Non operative | Non operative | ORIF |
ORIF if able Excise fragments to prevent subtalar OA |
![]() |
![]() |
![]() |
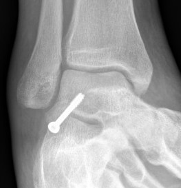
Operative Management
Indications
Large / displaced fragments
Intra-articular fracture with risk of subtalar OA
Options
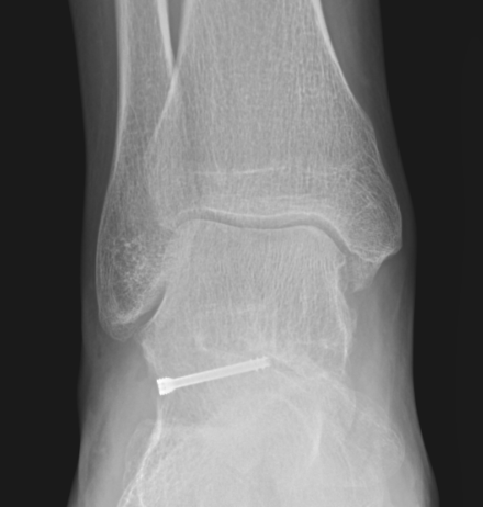
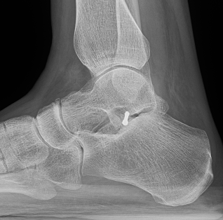
1. ORIF - headless compression screw
2. Excision
Approach
Direct lateral approach to the talus
- lateral malleolus to base 4th metatarsal
- between peroneal tendons and extensor tendons
- can use image intensifier to mark incision
- excise fat over subtalar joint
AO surgery reference direct lateral approach to the talus
Vumedi ORIF lateral process talus







Results
Operative versus non operative
- 20 patients with lateral process fractures after snowboarding
- better outcomes with operative intervention (97 points) than non operative (85 points)
- 15% (3/20) developed subtalar OA
Ross et al J Orthop Trauma 2021
- 53 patients with lateral process fractures
- displaced fractures treated with ORIF
- 14/21 (67%) patients failed non operative treatment
- failure non operative treatment associated with displaced fractures
- more subtalar fusions in non operative group
Open versus arthroscopic fixation
Feng et al Zhonghua Yi Xue Za Zhi 2023
- ORIF of type 2 fractures
- 21 arthroscopic fixation, 12 open fixation
- no difference in outcomes



