

Etiology
Ankle sprain
- eversion / external rotation
Ankle fractures
- up to 40% of ankle fractures have deltoid ligament injury
- slightly more common to injure deltoid ligament than fracture medial malleolus
- supination / external rotation (Type IV)
- pronation / external rotation (Type IV)
Epidemiology
5% of ankle injuries involve the deltoid ligament
Anatomy
| Superficial layer | Deep layer |
|---|---|
| Limits external rotation | Limits eversion |
|
4 components - tibio-navicular - tibio-spring ligament - tibio-calcaneum - tibio-talar |
2 components - posterior tibiotalar - anterior tibiotalar |
Spring (calcaneonavicular) ligament
- sustenaculum talus to navicular
- fibrocartilage component articulates with head of talus
Symptoms / signs
Medial pain and tenderness
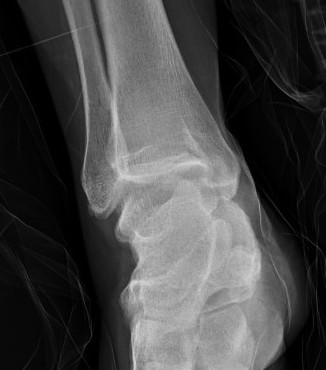
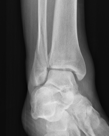
Xray
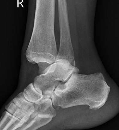
Syndesmotic injury with high grade deltoid injury


Ankle dislocation with soft tissue injury to Deltoid and syndesmsosis
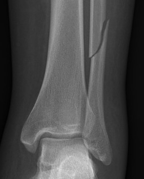
Ankle fractures with deltoid ligament rupture / Bimalleolar equivalent injury


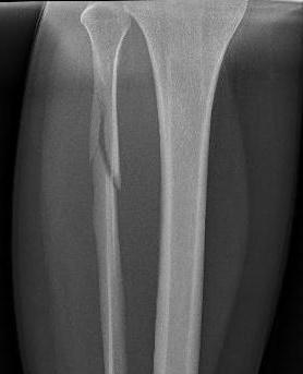
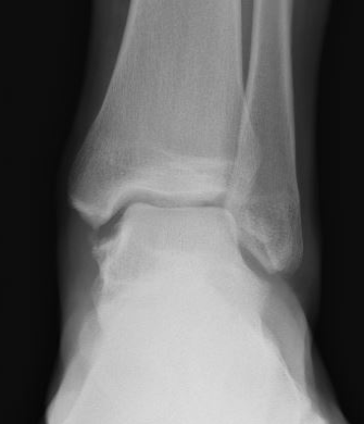
Maisonneuve injury with proximal fibular fracture and increased medial clear space


Weber B with increased medial clear space on CT


Weber C with increased medial clear space
Stress xrays
External rotation / valgus stress views
Gravity stress views
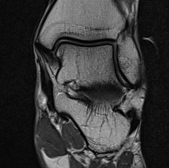
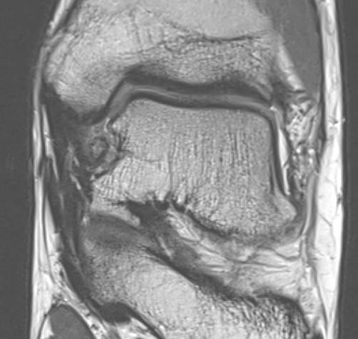
MRI




Indications for deltoid ligament repair
1. Failure to obtain adequate reduction of medial clear space
Deltoid ligament may be blocking reduction
Anchor repair of deltoid ligament to tibia or talus
2. Full thickness deltoid ligament injury with anatomical reduction
- meta-analysis of operative versus non operative deltoid ligament repair
- 400 patients with ankle fracture
- deltoid repair had better reduction, and better functional outcomes
- mostly low quality studies. Only one RCT which showed no functional difference
Technique
Vumedi open deltoid ligament repair
Arthroscopic technique deltoid ligament rupture
Chronic medial ankle instabilty / chronic deltoid ligament insufficiency
Symptoms
Medial pain
Instability
Signs
Increased valgus instability
Xray

Old bony avulsion of deltoid ligament
Operative management
Deltoid ligament reconstruction +/- syndesmotic fixation
Results
Pellegrini et al Foot Ankle Surg 2019
- 13 cases of chronic deltoid ligament insufficiency
- direct repair with internal brace
- scores increased from 59 to 75
- 2 implant failures