AORI / Andersen Orthopedic Research Institute
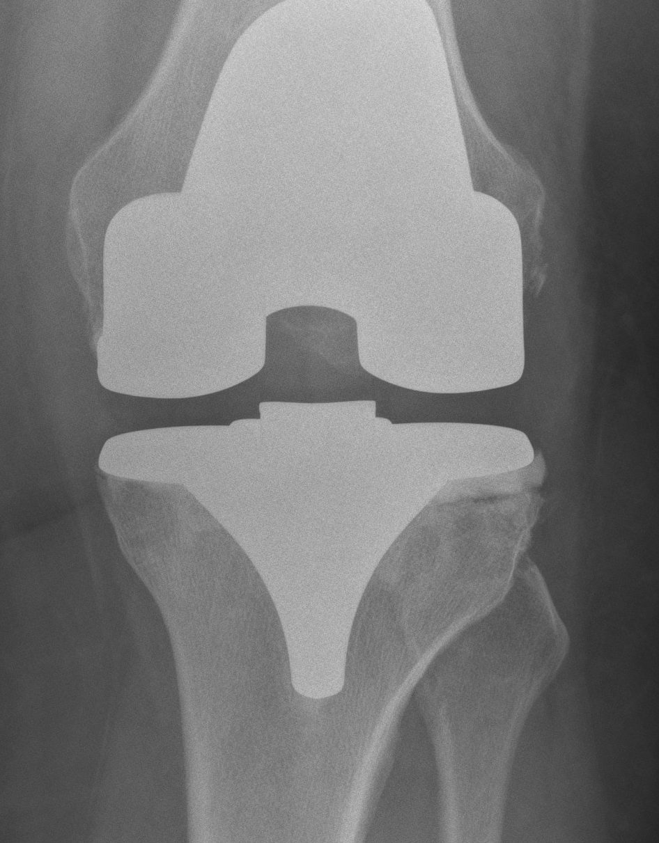
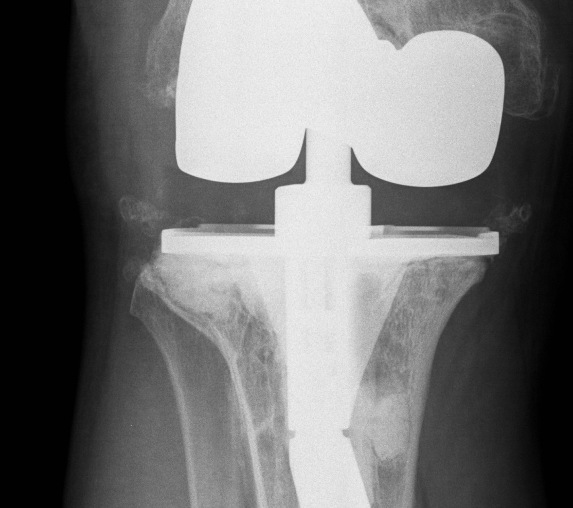
T Tibial F Femoral
1. Contained Metaphyseal Defect
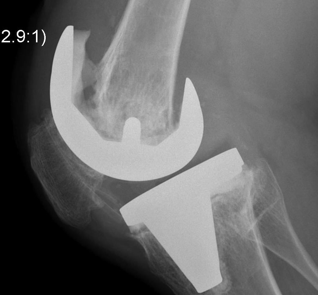
2. Damaged Metaphyseal
A. One Condyle
B. Both Condyles
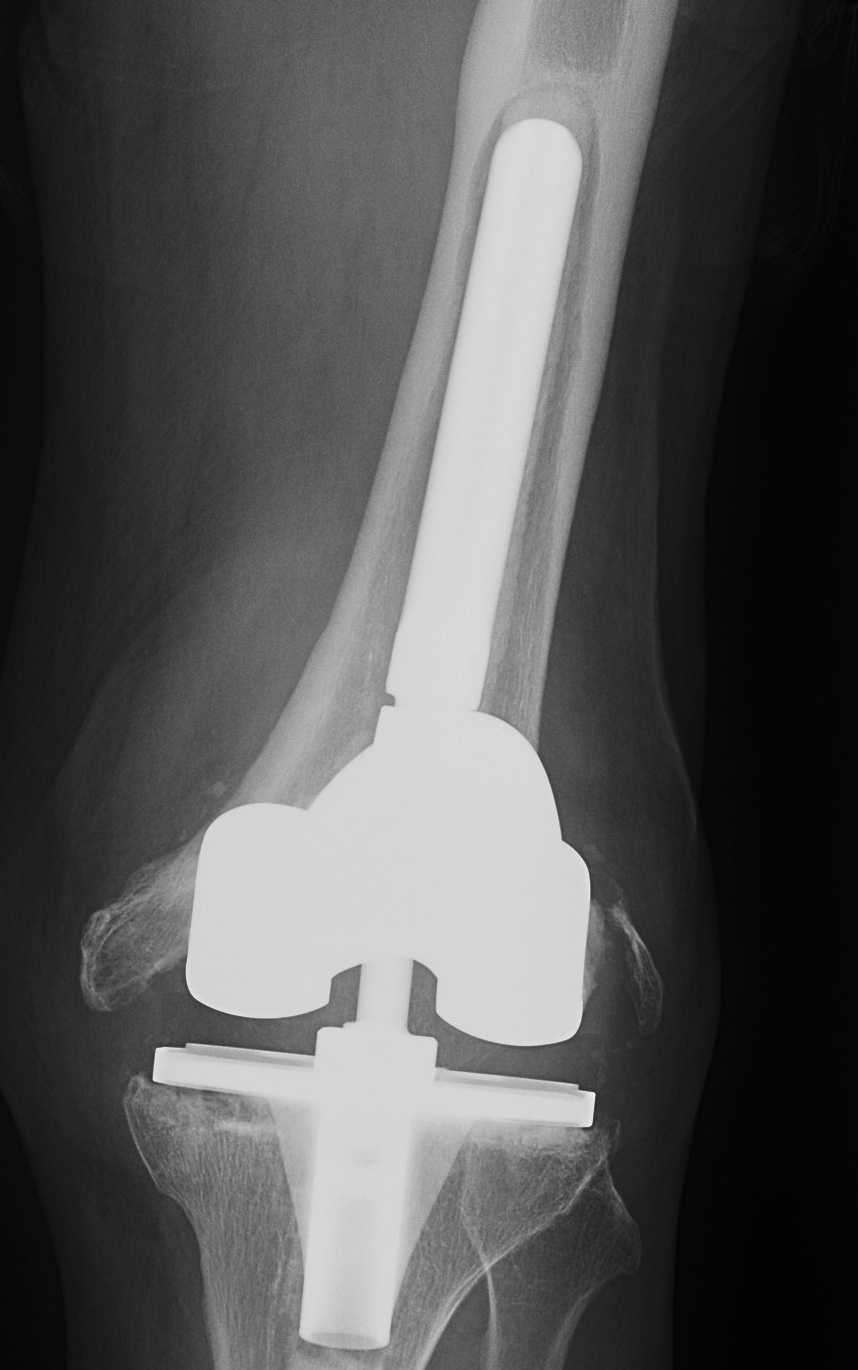
3. Deficient Metaphysis +/- collaterals +/- extensor mechanism
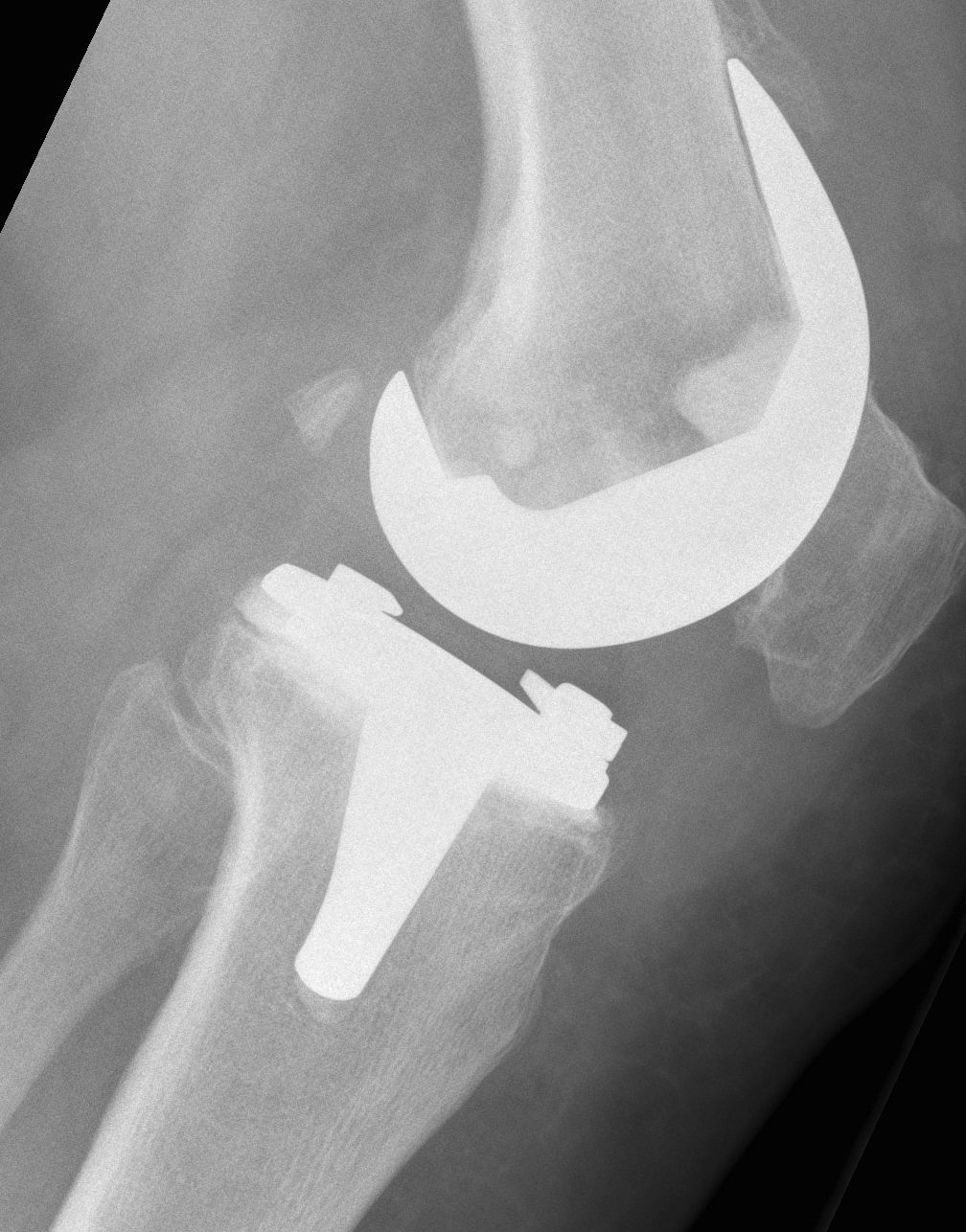
1. Contained Metaphyseal defect


Management
A. Bone graft defects
B. Standard +/- Revision TKR


2. Damaged Metaphysis
A One condyle
B Both




Management
A. Cement < 1cm


B. Augments < 2cm


C. Bone graft
3. Deficient Metaphysis +/- collaterals / quads



Management
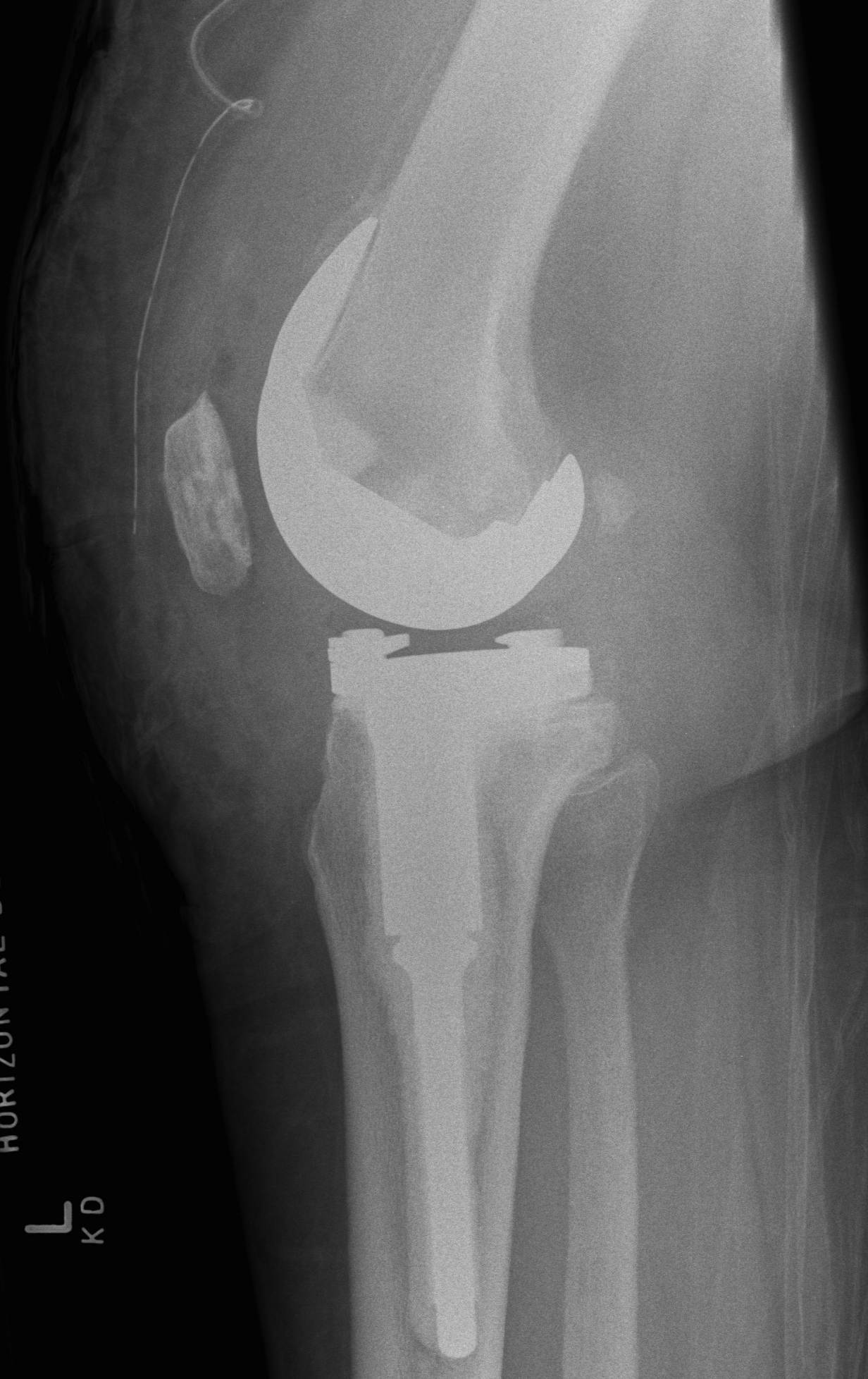
A. Bulk structural allograft
- femoral head
Engh et al JBJS Am 2007
- bulk structure allograft in the tibia in 46 patients followed for 8 years
- 2 deep infections
- average knee society scores 84
- no graft collapse or loosening
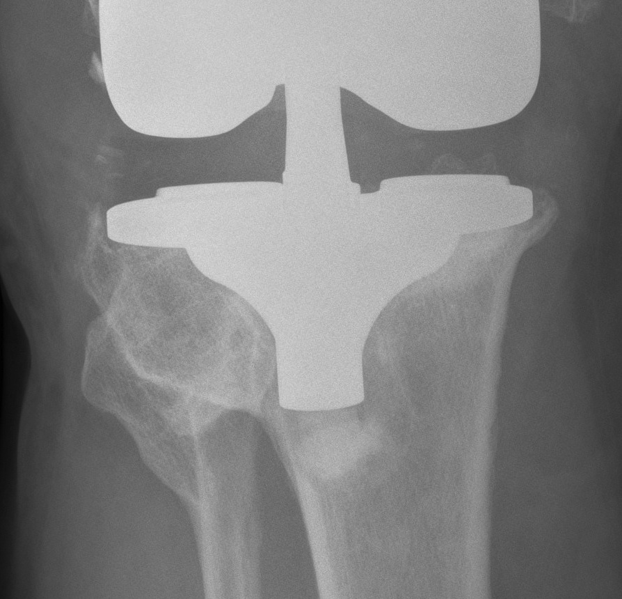
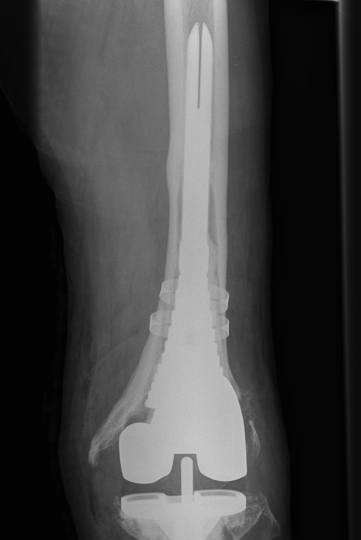
B. Tantalum cones metaphyseal filling / Trabecular metal


Meneghini et al JBJS Am 2009
- tantalum porous tibial implant in 15 pateints followed average 3 years
- AORI type 3 and type 2B
- knee society score average 85
- all had evidence osteointegration, no loosening
Howard et al JBJS Am 2011
- femoral tantalum components in 24 knees followed for averag 3 years
- knee society score average 81
- all well fixed with no complications
C. Mesh + impaction bone grafting
D. Tumour prosthesis / Custom implants

