Advantage
1. Reduce implant loosening
- offset load sharing to diaphysis
- 30% if > 70 mm
2. Restore optimal alignment
Indications
1. Using augments or bone grafting
2. Increased constraint
- VVS / hinge
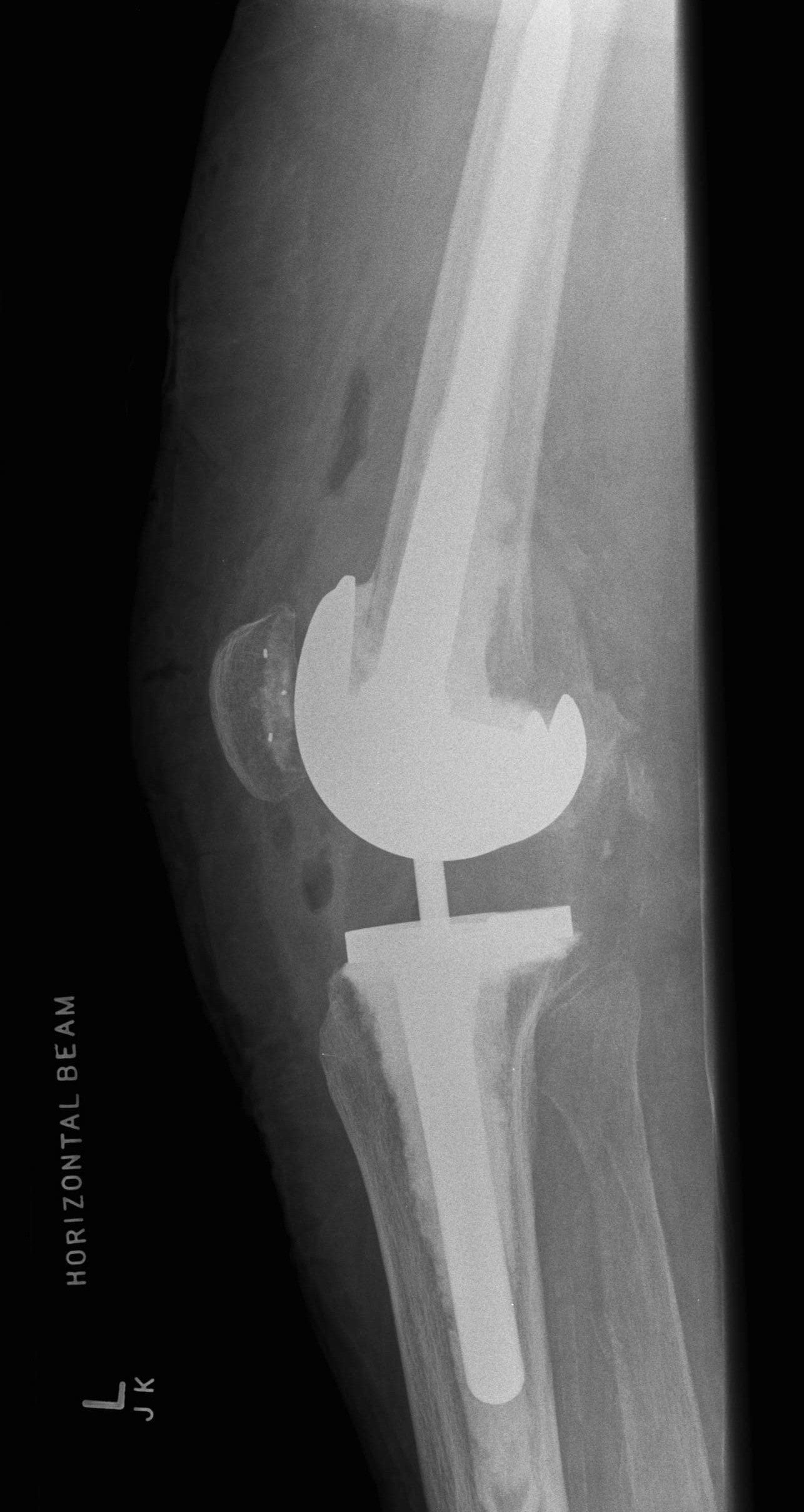
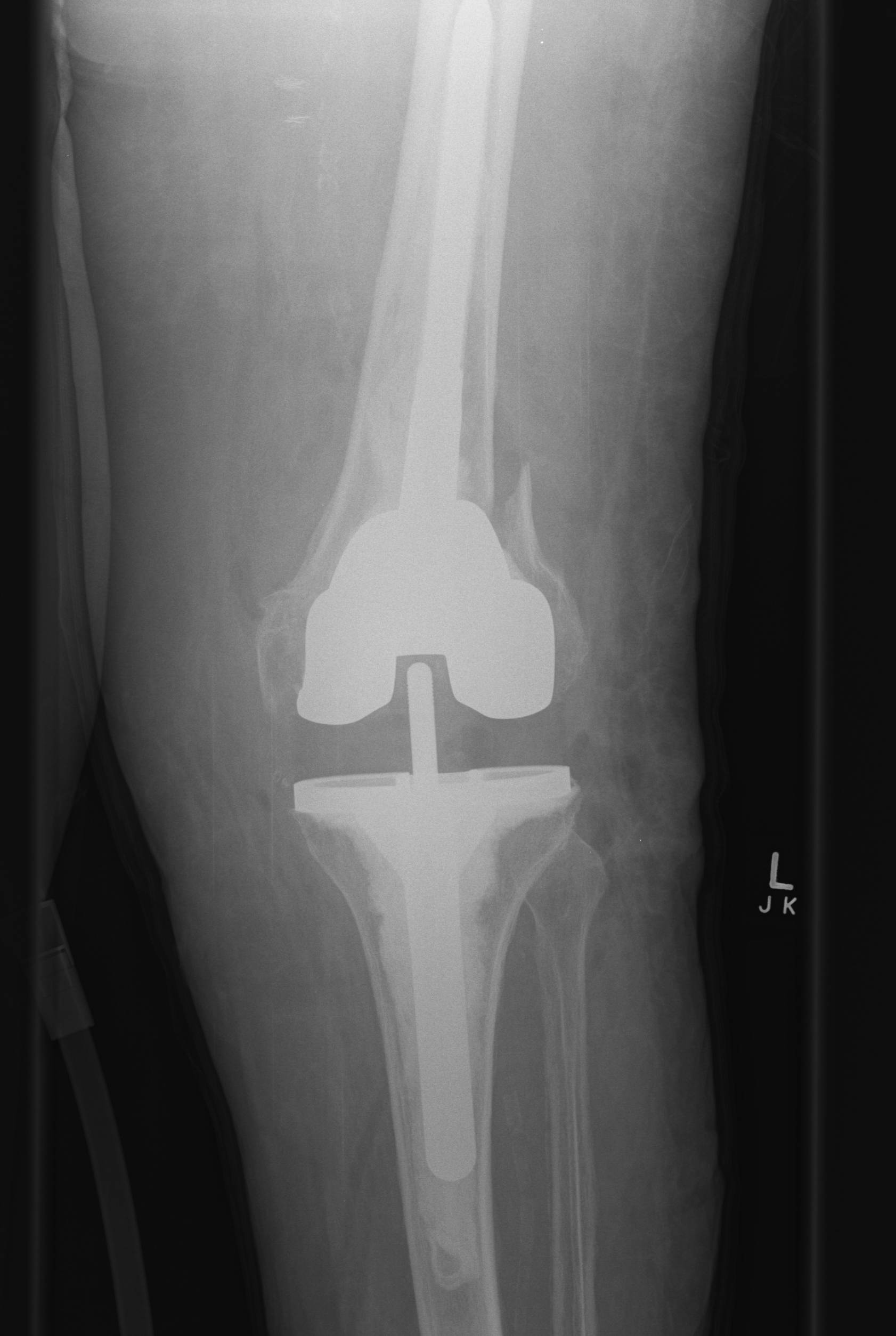
Types
Uncemented
Cemented
Press fit uncemented
Design
- cemented in metaphysis and condyles
- uncemented in diaphysis
- need to engage diaphysis
- often need offest options from tibial tray
- this is so can implant stem in correct position


Advantage
- easy to use
- suit IM system of alignment in revisions
Disadvantage
- no surface treatment / no ingrowth
- often don't completely fill canal
- can force implants into position of malalignment
- end of stem pain
Peters et al J Arthroplasty 2005
- 50 TKR with uncemented stems
- 1/50 (2%) reported thigh pain
- 1/50 (2%) reported leg pain
Cemented
Advantage
- increased area of fixation
Disadvantage
- less guidance for IM alignment
- hard to remove all cement if need to

