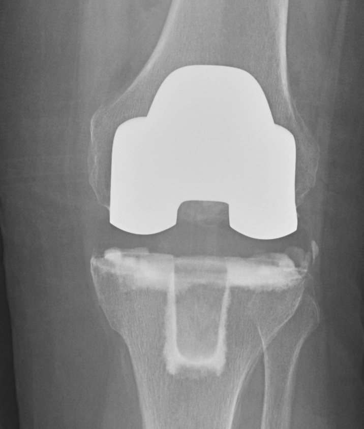
Conformity
Definition
Geometric measure of the closeness of the fit of the knee articulation
Concepts
The ideal TKA maximises articular conformity while minimising axial constraint
Highly conforming / Fully congruent
- constant sagittal femoral radius
- large contact areas
- theoretical limitation of flexion to 120o due to posterior impingement of the tibial component
- low wear rates
- poor ROM
- may be improved by mobile bearing
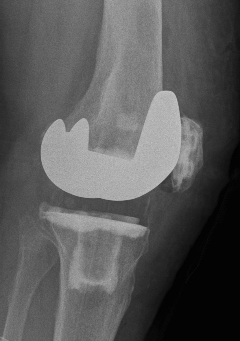
Low conforming / Partially congruent
- large contact areas in the first 20o of flexion
- contact area decreases with flexion due to a decreasing sagittal radius
- improves flexion range
- good ROM
- higher wear rates
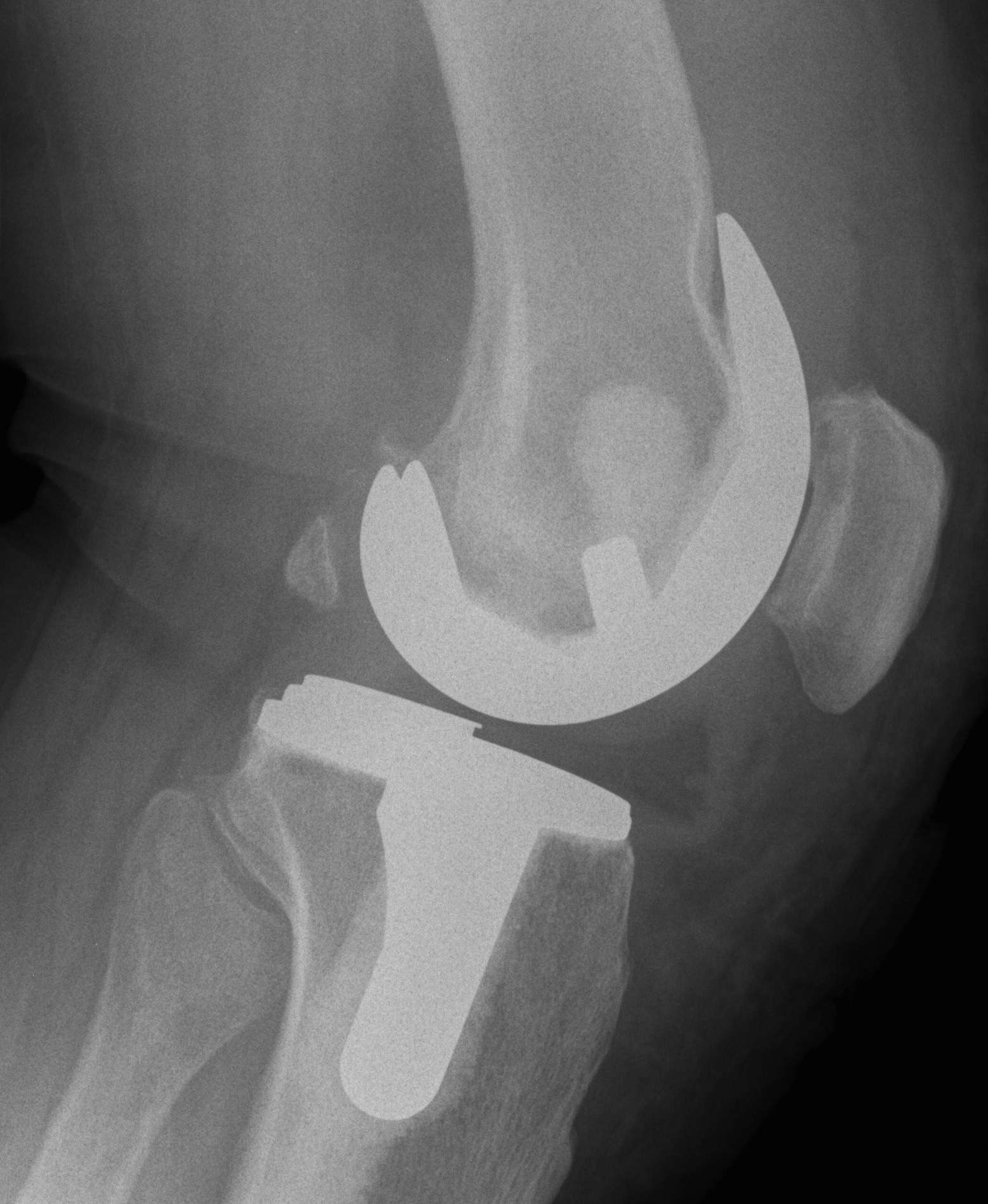
Tibia all poly v metal backed
All poly tibia


Advantage
- cheaper (by $2000)
- good in elderly patients
- eliminates backside wear
Disadvantage
- lack of modularity
- difficult to insert if PS
Metal backed
Advantage
- improved load distribution
- modularity improves revision options (i.e. poly exchange)
- modularity enables increasing trialling before definitive implants
Disadvantage
- problems with locking mechanism
- most have some micromotion
- potential for backside wear / increased particulate debris

Fixation
Best technique controversial
Options
1. Cemented
2. Press-fit with porous ingrowth
3. Hybrid
Cemented
Current standard
- longest follow up
- cement "Seal" to particle migration
- easier to revise if infected
Uncemented
Initial results comparable
Risks
- very difficult to remove well fixed uncemented infected TKR
Advantage
- faster operation
Results
Baker et al JBJS Br 2007
- RCT of PFC cemented v uncemented
- 15 year follow-up
- 80% 15 year survival in cemented
- 75% 15 year survival in uncemented
Australian Joint Registry 2010
9 year survival
- cemented TKR 5.0%
- uncemented TKR 5.2%
- hybrid TKR 4.9%
Materials
Cobalt chronium femur
- can be covered with oxidised layer
- S&N oxinium
Cobalt chronium tibial base plate
- can be porous and HA coated
Gender
Anatomic differences
Female Femur
1. Narrower medial lateral width for same AP diameter
2. Variety of subtle PFJ anatomical and biomechanical differences
Evidence
1. No evidence showing increased failure rates in men compared to women
2. No evidence of improved outcome for women using gender specific knees