Definition
Fracture distal to articular surface & proximal to intertrochanteric region
Epidemiology
On average 4 years younger than intertrochanteric fracture
One year mortality as high as 36%
Mechanism of Injury
1. Direct blow greater trochanter
2. Posterior cortex impingement on rim with external rotation
3. Cyclical loading / insufficiency fracture
4. Major trauma in young patient
Risks
Osteoporosis
Dementia
Poor mobility / vision
Blood Supply

Medial and lateral circumflex femoral arteries
- from profunda femoris
- extracapsular anastomosis at base of neck
- retinacular / ascending cervical branches
Majority via MCFA
- almost none to head via LCFA
- small amount via medial epiphyseal via ligamentum teres
MCFA
- superolateral head supply
- medial aspect of profunda
- between iliopsoas laterally and pectineus medially
- runs along inferior border of obturator externus, deep to quadratus femoris
- emerges at superior aspect quadratus femoris
- runs anterior to conjoint tendon then penetrates capsule
- along posterior intertrochanteric crest extracapsular
- runs along supero-lateral aspect of neck as lateral epiphyseal artery complex
LCFA
- anterior-inferior head supply
- arises lateral aspect of profunda
- transverse branch runs under sartorius and rectus over vas lateralis to supply proximal femur
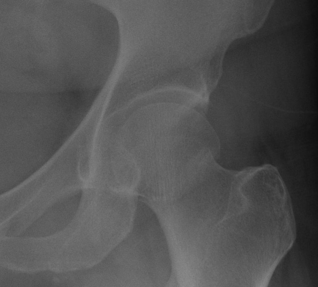
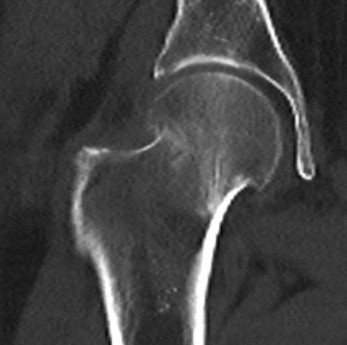
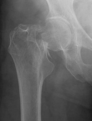
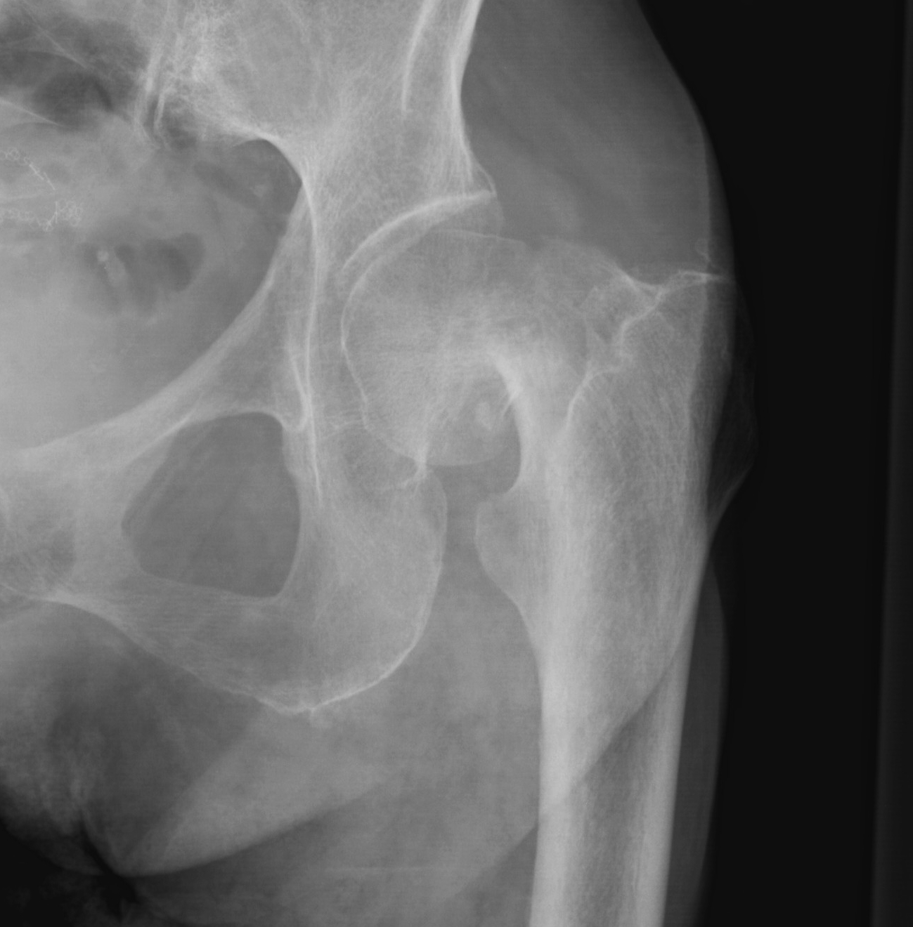
Garden's Classification


| Garden | Description | Displacement |
| I |
Incomplete Valgus impacted Lateral cortex fractured Medial cortex intact |
Undisplaced |
| II | Complete | Undisplaced |
| III |
Complete fracture Partial displacement Trabeculae don't line up with acetabulum |
Displaced |
| IV |
Complete fracture Complete displacement Trabeculae line up with acetabulum |
Displaced |
Type I: Incomplete, valgus impacted fracture


Type II: Complete fracture, undisplaced


Type III: Complete fracture, partial displaced, trabeculae don't line up with acetabulum


Type IV: Complete fracture, completely displaced, trabeculae line up with acetabulum

Masionis et al Orthop Traumatol Surg Res 2019
- inter-observer reliability
- only fair agreement for AO and Garden classification
- best agreement with simple 2 stage classification (displaced versus undisplaced)
Pauwel's Classification
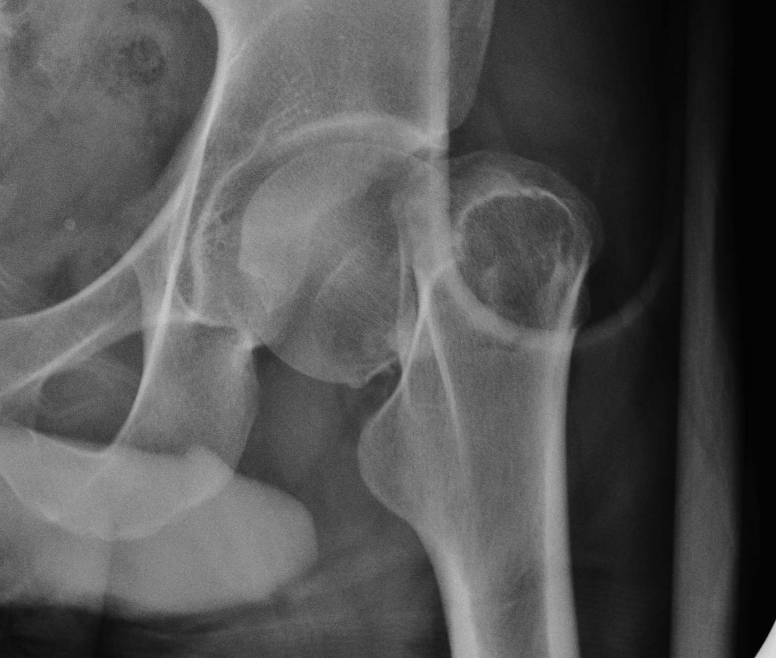
Based on vertical orientation of fracture line
- increased verticality / increased shear
- increased risk of noonunion / AVN

Type I: < 30° from horizontal
Type II: 30 - 50° from horizontal
Type III: > 50° from horizontal

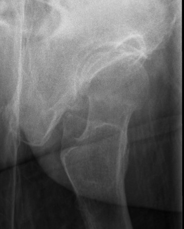
Pauwel's type III
Complications
AVN
Increased with
- displaced fractures
- younger age
- female
- 1000 patients treated with fixation
- undisplaced: AVN 4%
- displaced: AVN 10%
- displaced: men 5%, women 11%
- displaced: < 60 20%, 60 - 80 13%, > 80 3%
Non union
Increased with
- displaced fractures
- varus fixation
- vertical fracture configuration (Pauwel's type III)
Displaced
- multicenter RCT patients
- 409 patients > 70 years with displaced fracture
- fixation versus HA
- ORIF 43% failure
- hemiarthroplasty 6% failure
Undisplaced
Xu et al J Orthop Surg Res 2017
- systematic review of 29 studies and 5000 patients with undisplaced fractures
- nonsurgical: union rate 70%
- fixation: union rate 93%
Clinical presentation
Pain
Short & externally rotated leg
Management
Timing
Welford et al Bone Joint J 2021
- systematic review of 46 studies and 500,000 hip fractures
- surgery < 24 hours reduces mortality
Leer-Salveson et al Bone Joint J 2019
- Norwegian registry of 80,000 hip fractures
- no change in mortality (3 day, 1 year) if surgery < 48 hours
Workup
Griffiths et al Anaesthesia 2021
- PDF for guidelines for the management of hip fractures
Issues
- consent
- do not resuscitate
- preoperative hemoglobin
- anti-platelet / anticoagulation
- GA versus spinal
Surgical options
ORIF
- completely undisplaced
- young patient with displaced fracture
Total Hip Arthroplasty (THA)/ Hemiarthroplasty (HA)
- displaced
- undisplaced in elderly
Issues
Displaced
- HA versus THA
Undisplaced
- should even undisplaced in elderly be treated with HA / THA rather than fixation?
Age of patient
- if young then attempt at open reduction / fixation likely indicated
Results
Fixation versus arthroplasty
Ramadanov et al J Orthop Surg Res 2023
- systematic review and meta-analysis
- both displaced and non displaced fractures
- 33 RCTs with 5700 patients
- THA and HA had the best functional outcome
- cannulated screws and DHS had highest reoperation rates
- RCT of screw versus HA in elderly patients with undisplaced subcapital fractures
- 229 patients
- no difference in outcome scores at 2 years
- increased mobility with HA
- increased reoperation with screws (20% versus 5%)
