


Indications
Undisplaced subcapital fracture
Displaced in young adult
Options ORIF
Cannulated screws
Sliding hip screw (SHS/DHS) + derotation screw
Femoral neck system
Results
Fixation versus hemiarthroplasty (HA)
- RCT of screw versus HA in elderly patients with undisplaced subcapital fractures
- 229 patients
- no difference in outcome scores at 2 years
- increased mobility with HA
- increased reoperation rate with screws versus HA (20% versus 5%)
DHS versus cannulated screws
- RCT of 1100 patients
- 2 hole DHS versus cannulated screws
- no difference in reoperation rate: 20% versus 22%
- AVN more common with DHS: 9% versus 5%
- infection rate same at 1%
FNS versus cannulated screws
Patel et al Eur J Orthop Surg Traumatol 2023
- systematic review of 8 studies with 509 cases
- FNS versus cannulated screws
- FNS had shorter time to union / less neck shortening / better outcomes
- more blood loss with FNS
Cannulated screws


Technique
Arthrex animated cannulated screw video


Lateral on traction table
- adequate reduction / no varus
- small incision or percutaneous
- 3 screws
- ensure inferior screw entry point is above lesser trochanter to prevent fracture
- ensure threads cross fracture site entirely to obtain compression
- need correct screw length so screw head can compress against cortex
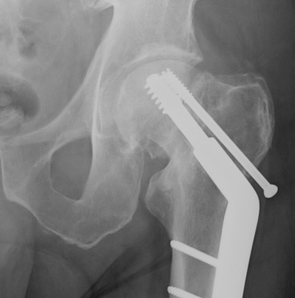
DHS and derotation screw


Youtube step by step sawbone guide
Synthes FNS (Femoral neck system)


Technique
Synthes FNS surgical technique guide
Complications
Nonunion
Risk factors
- displaced fractures
- varus fixation
- instability
- vertical fracture configuration (Pauwel's type III)



Management
Older patient - arthroplasty
Young patient - valgus osteotomy



Results
Mahmoud et al Bone Joint J 2016
- systematic review of salvage THA after failed fixation subcapital fractures
- compared to primary THA for subcapital fractures
- increased risk deep infection, early dislocation and peri-prosthetic fracture with salvage THA
AVN

Risk factors
Displaced fractures
High energy injuries
? delay in surgery
Non-anatomical reduction
- multicenter RCT patients
- 409 patients > 70 years with displaced fracture
- ORIF 43% failure
Xu et al J Orthop Surg Res 2017
- systematic review of 29 studies and 5000 patients with undisplaced fractures
- union rate 93% with surgery
Management Options
Older patient
- arthroplasty
Younger patient