Etiology
Military
Running athletes
Female triad - anorexia / amenorrhea / osteoporosis
Osteomalacia / decreased bone mineral density
Coxa vara / coxa valgus
? FAI

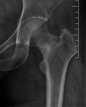
Femoral neck fracture on right in patient with coxa vara
History / Examination
No trauma episode
Groin pain
- worse with activity
- improves with rest
Groin pain with examination
Types


Compression / inferior neck
- surgery for > 50% fracture line or hip effusion
Tension / superior neck
- surgery for any fracture line
Xray
- no fracture line
- < 50% fracture line
- > 50% fracture line
- complete fracture without displacement
- complete displaced fractures
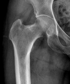
Xray
Can be normal
Sclerosis / fracture line


Increased sclerosis at inferior neck Xray demonstrating incomplete fracture of the superior neck
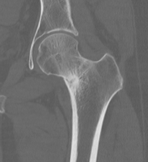
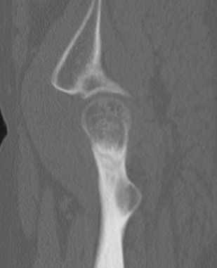
CT
Fracture line


CT demonstrating incomplete fracture at inferior neck


CT demonstrate likely complete fracture, with some displacement
MRI
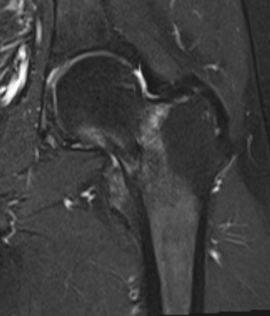
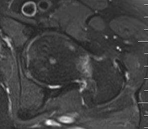
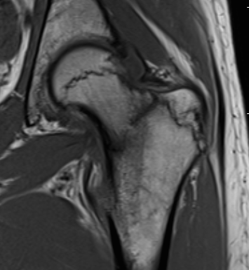
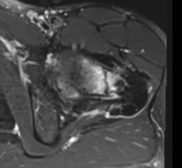
Edema / fracture line / hip effusion


MRI demonstrating edema likely across entire neck



MRI demonstrates complete fracture



Management
Goals
Obtain healing
Prevent progression to complete fracture / displacement
Non operative
Indications
- tension side edema with no fracture line
- compression side < 50%
Protocol
- 6 weeks non weight bearing
- screen for osteomalacia / BMD
- Vitamin D / Calcium
- minimize activity for 4 - 6 months
- ensure healing on CT / MRI
Results
- 257 femoral neck stress changes or incomplete fractures treated nonoperatively
- stress changes: no progression treated nonoperatively
- < 50% fracture lines: 27/103 (26%) progression of fracture lines and required surgery
- hip effusion on MRI a risk factor for fracture progression
Operative
Indications
Compression
- involving > 50% neck diameter
- involving < 50% neck diameter with hip effusion
Tension side
- fracture line evident
Surgery
Options
- cannulated screws
- DHS + derotation screw
- +/- minus open reduction


Results
Griffis et al Adv Surg Orthop Adv 2018
- 53 military members with incomplete femoral stress fractures
- all treated with surgery
- no progression of fractures to complete
- return to duty 67%
- 17% return in Marine Corp
- 82% return in general Navy
Lee et al Arch Orthop Trauma Surg 2003
- 42 military members with displaced femoral neck fractures
- open reduction and fixation
- 28% developed AVN
- associated with delay to treatment and postoperative varus malunion