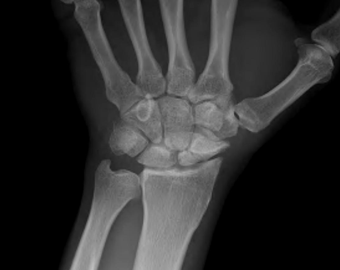
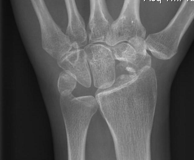
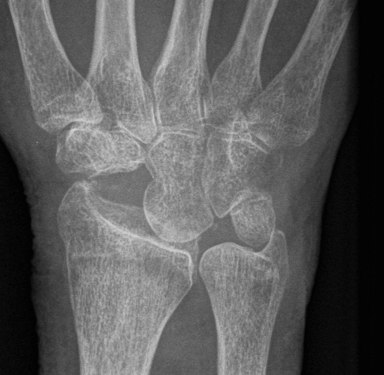
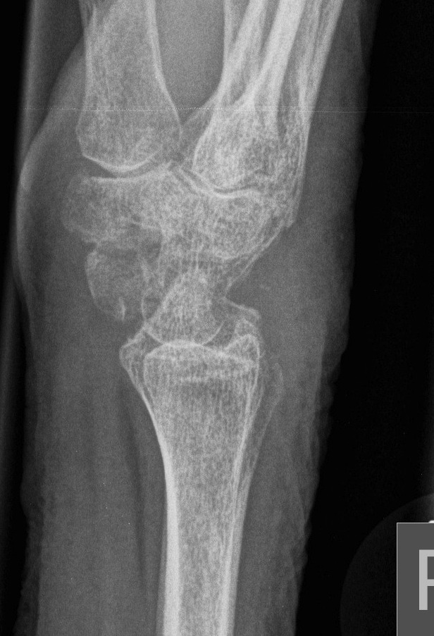
Definition
Scaphoid non union advanced collapse
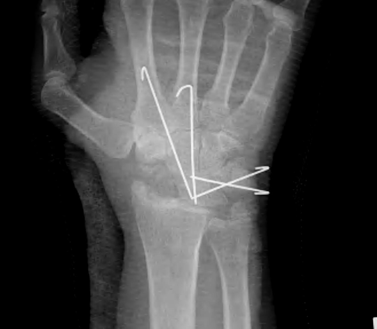
Diagnosis
Xray / CT
- non union of scaphoid
- radio-scaphoid OA


Operative Options
1. Radial Styloidectomy
- technically straightforward
- should be considered when arthrosis is localized to this region
- may preserve existing motion in the wrist
2. Excision of fragment / Soft tissue interposition
- no intercarpal collapse is present
- a small proximal pole non-union
3. Scaphoid excision / Silicone replacement
- shown to be effective when combined with fusion of the capitate to the lunate
4. Proximal row carpectomy
- may also preserve motion
- grip strength unpredictable
- probably only for low demand elderly



5. Scaphoidectomy & 4 corner fusion


6. Wrist arthrodesis
- provides a stable pain free wrist