Indications
Salvage
Failed arthroplasty
Segmental bone loss / high energy injuries
Tumour resection
Neuropathic joints

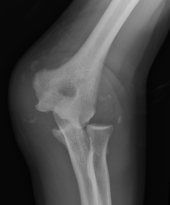
Unstable Charcot elbow
Issue
Significant functional deficit
Shoulder and wrist cannot compensate for the loss of the hinge
Contraindications
Rheumatoid arthritis
- high failure rate
- affects other joints poorly
Position
Debatable
Can use elbow brace pre-operatively to find best position for that patient
30 - 40 degrees
- cosmetically more acceptable
- helps with transfers and toileting
- helps with work
90 degrees
- helps with feeding / washing face
Rotation
- depends on preference
- typically neutral to allow shoulder to compensate
- computer workers may prefer hand slightly pronated
Tang et al J Hand Surg Am 2001
- simulated fusion at varying degrees in volunteers
- functional scores peaked at 110 degrees of flexion
Options
External fixation
Typically for combat related / extreme open injuries
- 5 patients with severe combat related injuries
- circular external fixator
- mean time injury to arthrodesis surgery was 305 days
- mean time to achieve fusion was 700 days
- union in all 5 patients
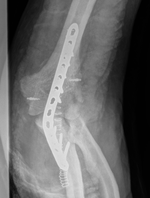
Internal fixation with posterior plating
Koller et al J Should Elbow Surg 2008
- 14 patients
- multitude of indications
- mean number of reoperations 1.4
- skin necrosis / persistent infection / hardware failure / periprosthetic infections / nonunion
- 6 patients had persistent pain
Failed infected elbow arthroplasty salvage
Otto et al J Shoulder Elbow Surg 2014
- 5 fusions for infected failed elbow arthroplasty
- 2 fibrous unions
- 3 failed unions
- all patients required at least one reoperation
- 2 patients ended up with resection arthroplasty
Surgical technique

