Definition
Formation of extraskeletal bone in muscle and soft tissue
- post trauma
- post surgery
Epidemiology
Men:Women 3:2
More common in second and third decade of life
Types
Surgery
- total hip arthroplasty
Trauma
- elbow fracture / dislocation
- head or spinal cord injuries
- traumatic amputations
Direct blow to quadriceps / deltoid
Microtrauma - adductor tendon in horse riders
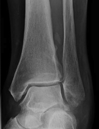
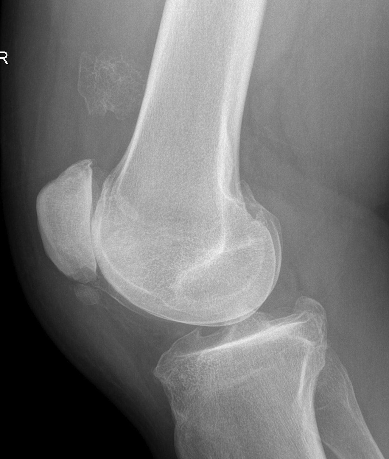
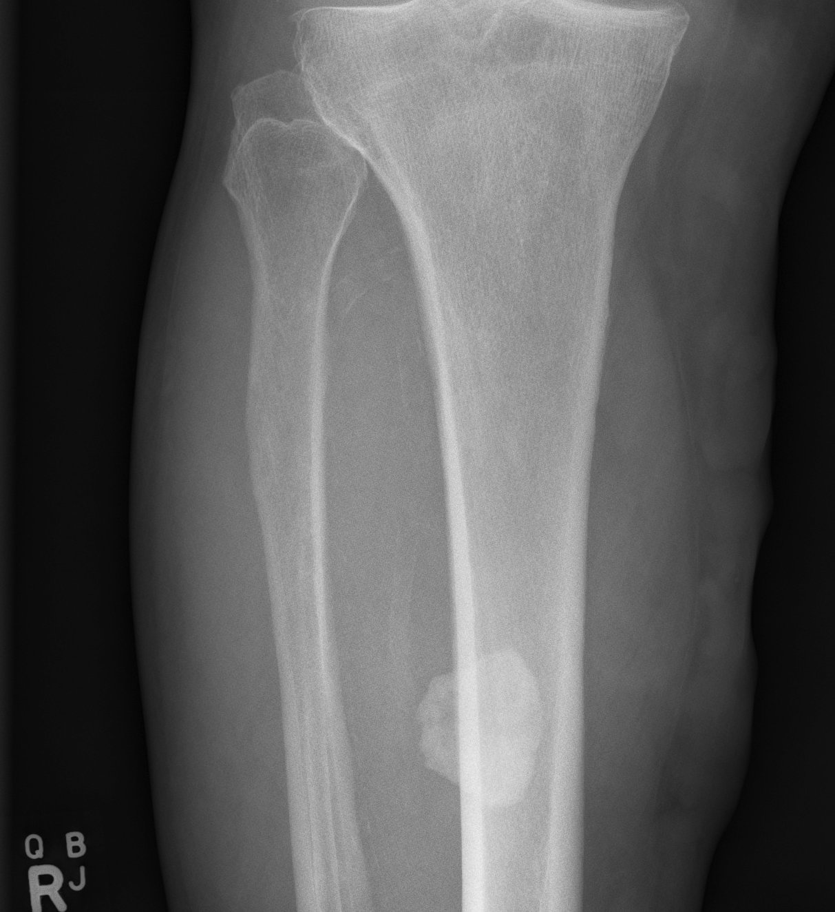
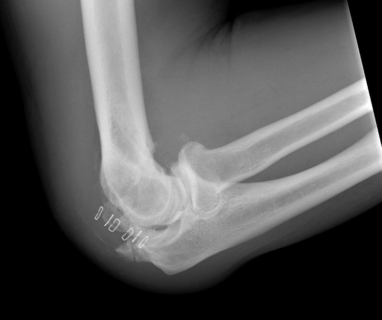
Xray



Aetiology
Unclear
Progression beyond normal healing to 0ssification
Typically single major traumatic incident
- direct blow to muscle
- joint dislocation ± fracture
Can occur with repeated minor trauma
- adductor Longus in horse riders
Pathology
2° muscle inflammation & repair process abnormal
- extensive cellular infiltration
- collagen laid down
- collagen undergoes dystrophic calcification
- chondroblasts differentiate into osteoblasts
- osteoid produced
Clinical Features
History of trauma
Initial pain / swelling / warmth
Develop hard mass
- slow resolution of pain
X-ray
Changes occur 2-4 / 52 after injury
Initial cotton candy appearance
- then osseous in appearance
- not attached to bone
- can be resorbed
Mature bone peripherally


DDx
Osteosarcoma
STS
Hemangioma
MO
- diaphyseal (OS metaphyseal)
- intact cortex (OS fractures)
- mature bone peripheral with central fibrous tissue (OS mature centrally)
- pain and swelling improves with time (OS worsens)
- normal osteoblast on biopsy
Management
Prevention
High risk
- i.e. sports player with trauma to thigh / large haematoma
Minimise haemorrhage & inflammation
- ice & elevation
- active ROM / avoid passive ROM
- 3/52 course of NSAIDS
Resection
Indication
- large mass of bone
- significant pain, stiffness & weakness
Timing
- delayed > 12/12 (usually delay minimum 18 months)
- early resection = Recurrence
- don't resect until neurological recovery complete (i.e. if head injury)
Maturity
- local pain and tenderness resolved
- mature trabecular pattern on xray
- no progression on xray
- alkaline phos normal
- cold bone scan
Prognosis
- poor with in patient with incomplete neurological recovery and spasticity


Myositis Ossificans Progressiva
Definition
Rare inherited condition
- progressive fibrosis of muscles, ligaments and tendons that is ultimately fatal
Widespread ossification of connective tissue
Epidemiology
AD
Site
Spine
Major joints of upper limb
Histology
Poorly formed bone
Dense scar tissue
Islands of poorly formed cartilage
Clinical
Patients have short 1st metatarsal / metacarpal
Die of restrictive lung disease