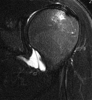
Capsular injury
Clinical picture
Anterior instability but no anterior labral tear on MRI
Differential diagnosis
| HAGL | Capsular teearing | Anterior capsular stretching |
|---|---|---|
| IGHL avulsed anteriorly from humeral insertion | Labrum intact, but anterior capsule torn in two |
Labrum and capsule intact Capsule stretched Patient has ligamentous laxity but unidirectional anterior instability |
![]() |
![]() |
Capsular tears
Clinical
Anterior instability
Intact labrum on MRI



Anterior labrum intact, evidence of capsule tearing + HAGL on MRI
Arthroscopy


Capsule tear anteriorly, extending up into humeral insertion
Technique
Side to side suture repair +/- HAGL repair
Beware axillary nerve inferior recess



Side to side repair of capsular tear



Intact anterior labrum with capsular tear, axillary nerve seen below capsular tear in axillary recess
Capsular plication






Indications
Unidirectional anterior shoulder instabiitity
Usually history of trauma on background of ligamentous laxity
No bankart lesion / HAGL / capsular tear
No MDI
Technique
Vumedi shoulder plication for anterior instability video
Shoulder arthroscopy
- reduce capsule volume with sutures
- capsulorraphy
- can tie sutures to labrum
- can insert glenoid anchors to advance capsule
Results
Rolfes et al J Athl Train 2015
- systematic review of arthroscopic capsular plication
- success rate 91%
