


Free bone blocks
Autograft
- iliac crest / modified Eden-Hybinette procedure
- distal clavicle
Allograft
- distal tibial allograft
- osteochondral glenoid allograft
Indication
Large bony defects > 30 %
Failed Bristow - Latarjet



Large glenoid defect



Failed Latarjet
Distal tibial allograft
Results
- 31 cases of DTA for revision of failed Latarjet
- all had recurrent instability, 78% had coracoid resorption
- no recurrence after DTA
- 92% complete union
Technique
Arthroscopy techniques DTA graft preparation technique PDF
Arthex DTA surgical technique video
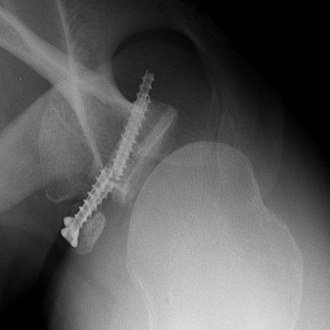
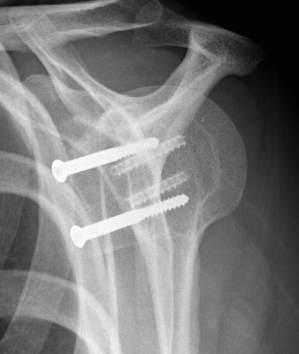
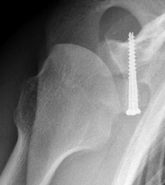
Case 1: Failed Latarjet

![]()
![]()



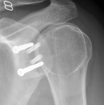
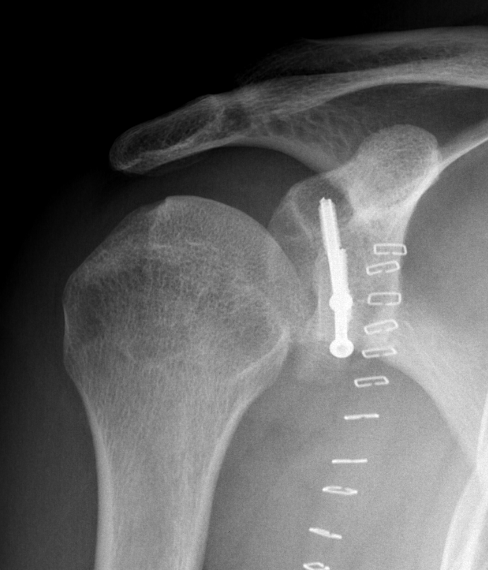
Case 2: Large glenoid defect





