Pectoralis Major Tears

 

pec tearPec major tear chronic

 

Epidemiology

 

Men aged 20 - 40

 

Etiology

 

Usually occurs in gym with bench press

Increased risk with steroid use / growth hormone

 

Bodendorfer et al Orthop J Sports Med 2020

- systematic review of 23 papers and 664 injuries

- all male, average age 31

- 63% occurred during weight training

 

Anatomy

 

P Major anatomy

 

Clavicular and sternal head

- two tendons converge and rotate 90o

- insert lateral to bicipital groove

- superior fibres insert inferiorly and vice versa

 

Tendon is composed of two lamina

- anterior lamina is clavicular head

- posterior lamina is sternal head

Clavicular head Sternal head Action
Attaches: medial clavicle and upper sternum Attaches: Sternum and costal cartilages first 6 ribs Shoulder adductor / flexor / internal rotator
Inserts: lower most aspect of bicipital groove Inserts: upper most aspect of bicipital groove  

Lateral pectoral nerve C5-7

Lateral pectoral nerve C5-7

Medial pectoral nerve C8-T1 

 

 

History

 

Usually recall significant incident

- tearing sensation

- may hear a pop

- often severe swelling and bruising

 

Only later when it settles is the cosmetic and functional deficiency apparent

 

Examination

 

Significant bruising in the acute phase

 

Pec majorPec tear

 

Frequently palpable cord present

- pectoral fascia still attached to antebrachial fascia

- not to be mistaken for pectoralis tendon

- prevents full retraction

 

Pec Major RupturePec major rupture palpable cord

Asymmetry of chest wall

 

Pectoralis Major TearPectoralis Tear 2

Asymmetry of chronic right pectoralis major with contraction

 

Pathology

 

Types

 

Tendon avulsions off bone

Musculotendinous tears

Isolated tears sternal head > clavicular head

 

Incidence

 

Carlos et al JSES Int 2023

- 100 pectoralis major tears

- 35% tendon avulsions

- 60% tears of the musculotendinous juntion

- 5% intra-muscular tears

 

Musculotendinous tears

 

Avulsion of muscle off tendon at musculotendinous junciton

- not amenable to suture repair

- need allograft reconstruction

 

Synovec et al Orthop J Sports Med 2020

- MRI study of 72 patients

- 75% sensitive and 80% specific for musculotendinous tears

 

MRI

 

pecpecpec

Coronal T2 Right shoulder demonstrating tendon avulsion of both sternal and clavicular heads

 

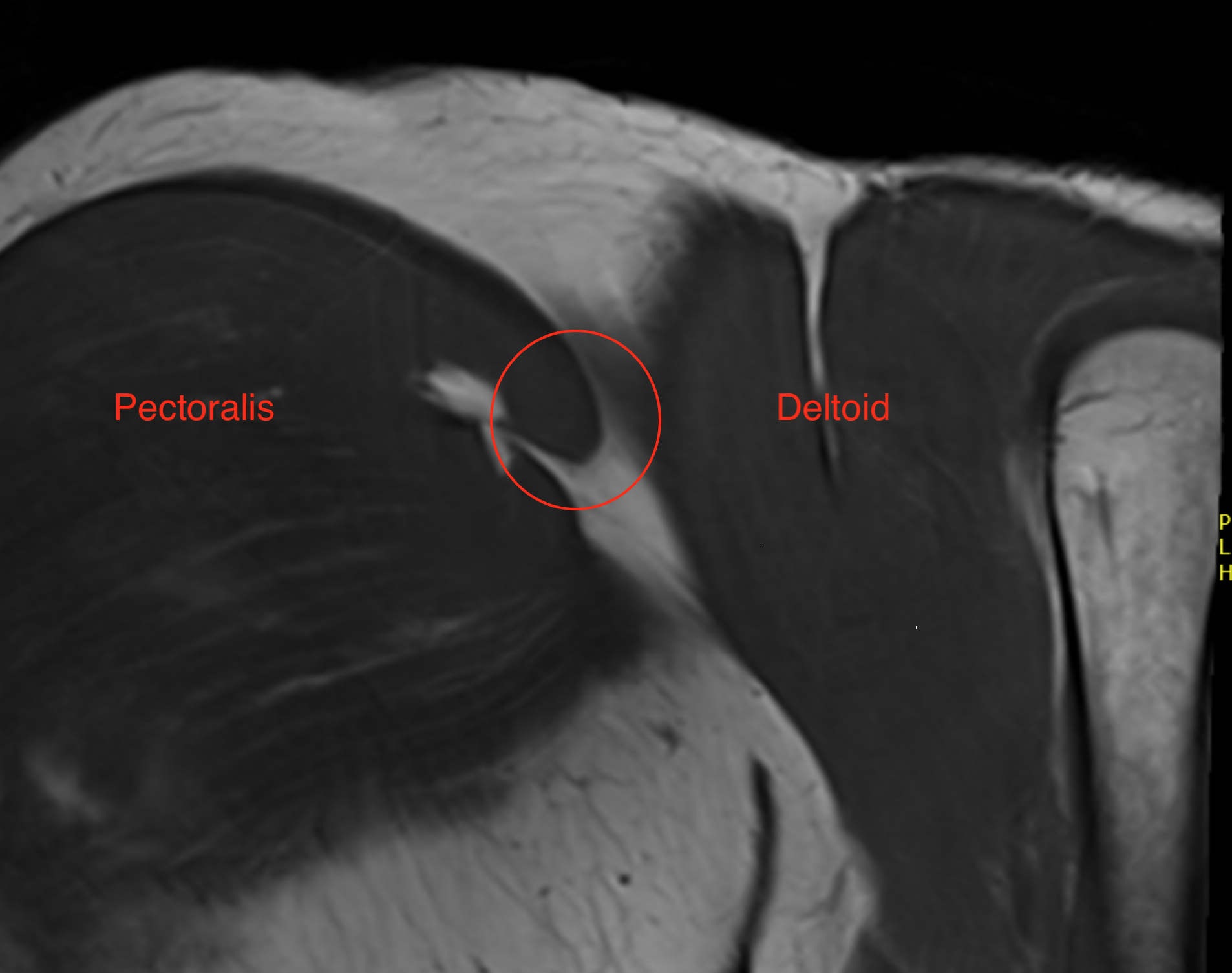
pec tearPec tear

Axial T2 Right shoulder demonstrating tendon avulsion of both sternal and clavicular heads

 

MRI P Major tear 1MRI Pec major tear 2

Coronal T2 MRI Right shoulder demonstrating musculotendinous avulsion

 

Management

 

Non operative

 

Elderly / low function

Chronic setting

 

Bodendorfer et al Orthop J Sports Med 2020

- systematic review of operative versus nonoperative treatment

- operative treatment superior in functional outcomes / strength / cosmesis

 

Operative

 

Indications

 

Acute tears in young patients

Cosmesis i.e. body builders

 

Acute repair of tendon avulsions

 

Options - bone trough / suture anchors / cortical buttons

 

Incision Pec Major Repair

Axillary incision right shoulder

 

Bone Trough Technique

 

Beach chair

- incision in axillary skin crease and deltopectoral approach

- find pectoralis major tendons medially and Krackow with high strength sutures

- place Hohmann retractor under deltoid to expose humerus

- identify long head of biceps and drill one inch trough in humerus lateral to long head of biceps

- make drill holes with 2 mm drill lateral to trough

- use suture passer to pass sutures into trough and out lateral drill holes

- pull tendon into trough and tie sutures

 

Pec major repair 1

Axillary crease incision in right shoulder, with Kocher forceps on the torn pectoralis major tendon

 

P Major tear surgeryPec major tear humerus

Right shoulder, with Hohmann retractor exposing humerus

 

Pect Major Repair Through Bone TroughP Major trough in bone

Bone trough with sutures passed through lateral drill holes

 

Completed repairPec major repair complete

Completed repair

 

Cortical button technique

 

Pec button

 

Arthrex surgical technique video pectoralis major

 

Arthrex surgical technique repair with cortical button

 

pec buttonPec buttonpec buttonPec button

 

Results

 

Bodendorfer et al Am J Sports Med 2020

- systematic review of operative repair

- no difference between different surgical techniques

- acute repair superior to chronic repair

 

Bodendorfer et al Orthop J Sports Med 2020

- systematic review of operative v nonoperative treatment

- complication rate 14%

- infection <1%

- DVT < 1%

- re-rupture 3%

- persistent pain 3%

 

Balazs et al Am J Sports Med 2016

- 214 military patients undergoing surgery

- at 12 months, 95% return to active duty

 

Allograft Reconstruction of Musculotendinous / Chronic Pectoralis Major tears

 

Technique

 

Vumedi video

 

Surgical technique video allograft reconstruction

 

Tendoachilles graft with bone block cut off

- pass through allograft tendon through muscle in pul ve taft method

- tie down into bone trough in humerus as per usual technique

 

Pec majorpec

Acute musculotendinous pectoralis major rupture

 

Pec majorPec major

Allograft reconstruction: achilles tendon sutured anchored to humerus, and pul ve taft through muscle belly

 

Pect Major Reconstruction 14 Suturing allograftPec Major Reconstruction 3

Right shoulder: allograft has been passed through sternal and clavicular muscle bellies and is being sutured back onto itself

 

Nute et al JBJS Am 2017

- 9 military patients requiring allograft reconstruction

- 5/9 had good or excellent results