Epidemiology
- national database 1000 patients with first time shoulder dislocation
- redislocation rates at 5 years
- age 10-19: 49%
- age 20 - 29: 28%
- age 30 - 59: 14%
- age >60: 17%
- redislocation more common in males
Anatomy
Stabilizers
| Passive stabilizers | Dynamic stabilizers |
|---|---|
| Glenoid labrum - deepens humerus | Rotator cuff |
| Coracohumeral ligament | Long head of biceps |
| Glenohumeral ligaments - IGHL / MGHL / SGHL | Deltoid |
| Scapular retractors |
Glenohumeral ligaments
Three thickenings of the glenoid capsule: SGHL, MGHL, IGHL
| Inferior glenohumeral ligament (IGHL) | |
|---|---|
|
Origin anterior band: Inferior 2/3 glenoid and labrum |
Insertion: Anatomical neck humerus |
|
Most important ligament in terms of stability Resist anterior translation in 90 degrees abduction and ER
|
|
|
Anterior IGHL glenoid attachment |
IGHL humeral attachment |
| Superior glenohumeral ligament (SHGL) | Middle glenohumeral ligament (MGHL) |
|---|---|
|
Origin: Supraglenoid tubercle glenoid and coracoid Insertion: Proximal aspect medial edge lesser tuberosity of the humerus |
Origin: Distal aspect lesser tuberosity of humerus Insertion: Posterior aspect subscapularis |
|
Runs perpendicular to the middle GHL |
Crosses subscapularis vertically Variable size and shape in different people Cord like / leaf like / vestigal |
|
Stabilizes the long head of the biceps in its groove Limits external rotation of the humerus Does not affect anterior translation |
Secondary restraint to anterior translation Limits ER at 45° Abduction |
![]() |
![]() |
Pathology
Soft tissue lesions
| Bankart lesion | Capsular laxity | Capsular tears | HAGL |
|---|---|---|---|
|
Anterior labral tear IGHL avulsion Between 3 and 6 o'oclock |
Can be association anterior labral tear Seen in MDI / ligamentous laxity |
Capsule tears in midsubstance Labrum intact |
Humeral avulsion glenohumeral ligament IGHL avulsed from humerus |
| 85% | 2% |
Bankart variants
- ALPSA - anterior labrum periosteal sleeve avulsion / labral-ligamentous structures shifted medially
- Perthes lesion - stripping of the scapular periosteum medially
- GLAD - glenoid labrum articular disruption / damage to the glenoid cartilage with labrum attached to it
Bony lesions
| Bony bankart | Hill Sachs |
|---|---|
|
Fracture of glenoid rim Reduces shoulder stabiliity Reduces success of arthroscopic repairs |
Bony lesion posterior aspect of head Where head engages on anterior glenoid Engaging lesions may reduce success of arthroscopic repairs |
Imaging
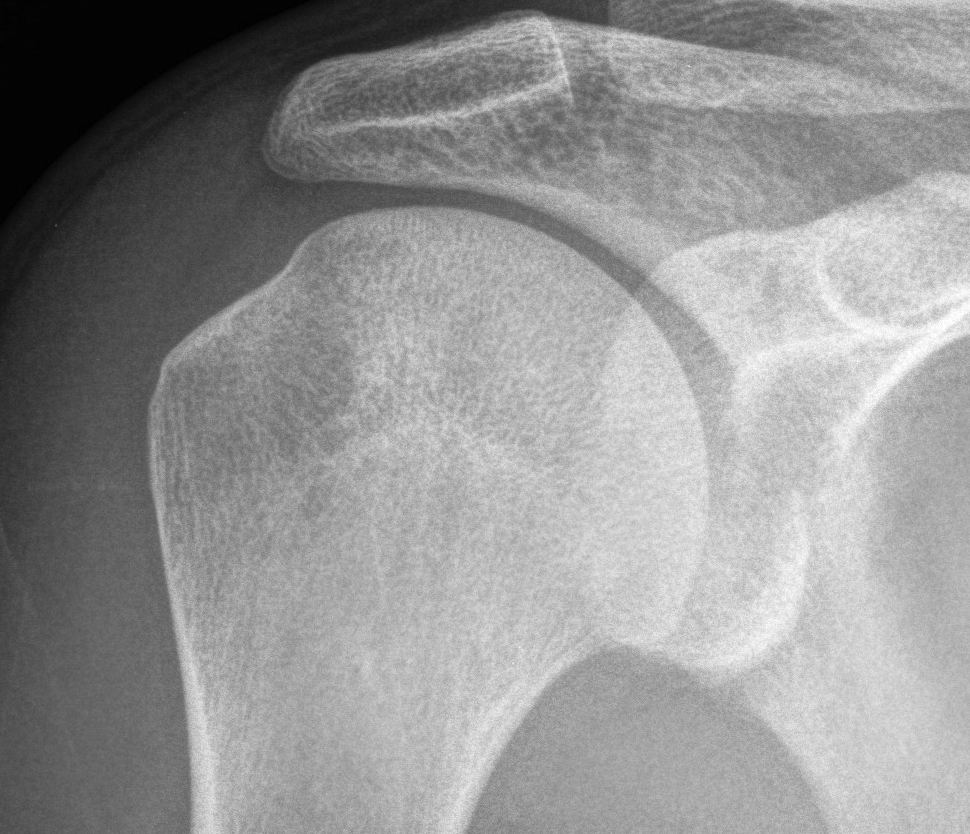
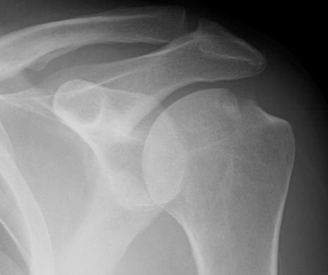
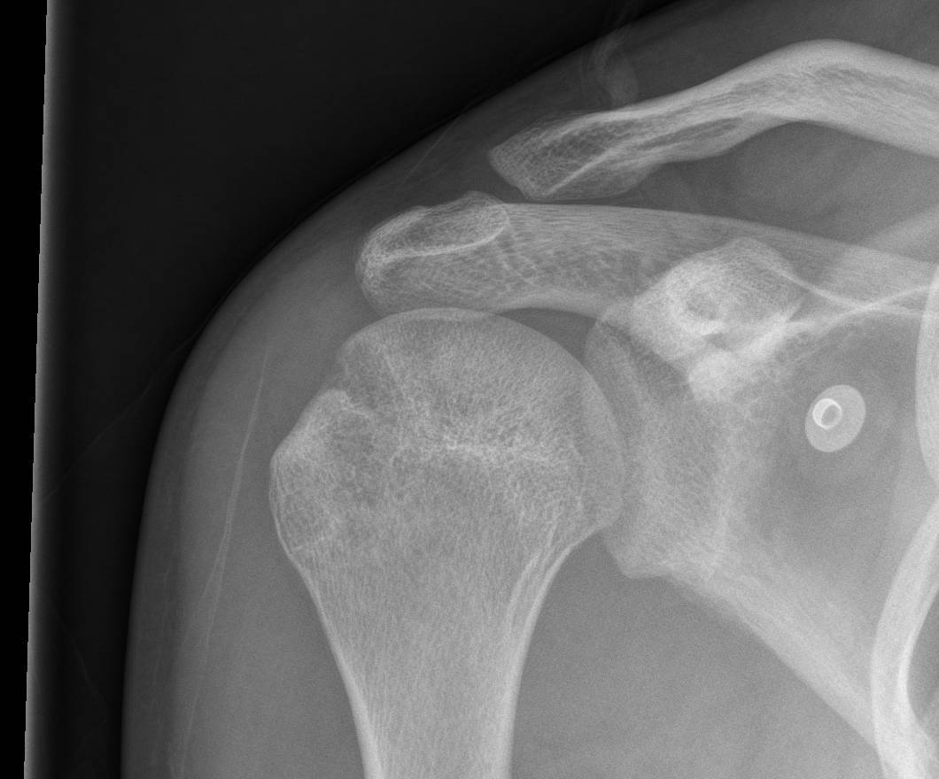
Xray


Bony bankart


Hill Sachs
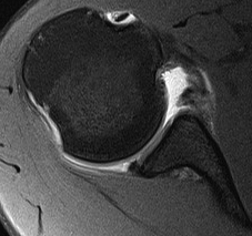
MRI



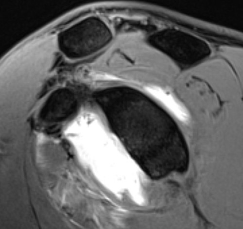
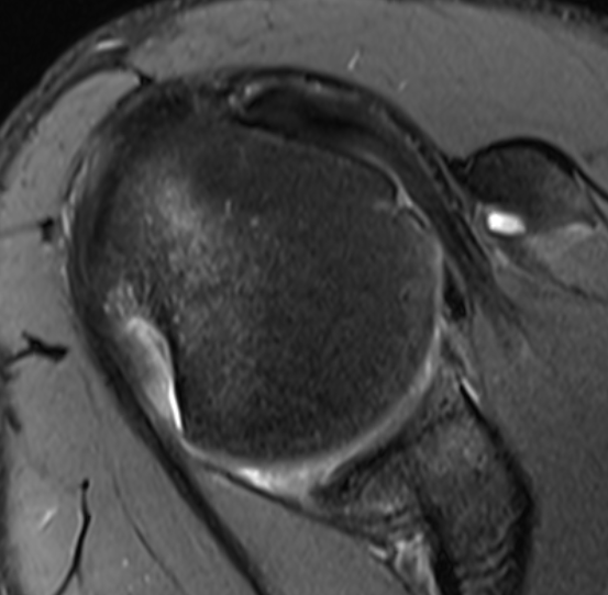
Anterior labral tears



Bony bankart / anterior glenoid deficiency


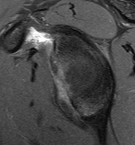
Normal humeral insertion of IGHL on left, HAGL with discontinuity of J sign on right



Hill Sachs variations
CT scan



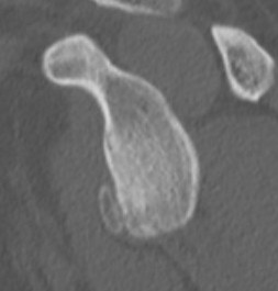
Bony bankart



Bony bankart 3D CT with humeral head subtraction


Hill Sachs


Hill Sachs 3D CT
Arthroscopy


Anterior labral tears


Anterior capsule tears


Normal humeral insertion on right, HAGL on left with tearing of IGHL insertion onto humeral neck


Hill Sachs lesion


Anterior glenoid bony deficiency - inverted pear appearance


