Definition
Instability in at least 2 planes
- posterior + inferior
- anterior + inferior
- anterior + posterior + inferior
Pathology
Inherent ligament laxity / collagen abnormality
- patulous capsule anterior and posterior
- enlarged inferior axillary capsular pouch
History
Often bilateral
Instability of other joints
Severe instability
- feeling of shoulder "slipping down" while carrying heavy loads
- with sleeping
- subluxation with shoulder movement
Examination
Ligamentous laxity / Beighton score > 4
Sulcus Sign - pull inferiorly on the arm, humerus subluxes inferiorly
Anterior instability - anterior draw / anterior load and shift / anterior apprehension + positive Jobe's relocation
Posterior instability - posterior draw / posterior load and shift / posterior apprehension / jerk test

Sulcus sign
Severe MDI - shoulder is anteroinferiorly subluxed at rest
Beighton score
| Little fingers | Thumbs | Elbows | Knees | Trunk |
|---|---|---|---|---|
| Hyperextension of 5th MCPJ beyond 90 degree | Able to oppose thumb to flexor surface of forearm | Hyper-extension > 10 degrees | Hyper-extension > 10 degrees | Able to place hands flat on floor while keeping knees extended |
| +2 | +2 | +2 | +2 | +1 |
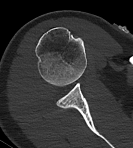
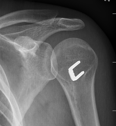
Xray
Traction xray
- patient standing with 5-10 kg in each hand
- inferior subluxation of head


CT / MRI


Non-operative management
- 57 patients with MDI followed for mean 8 years
- 21 underwent surgery
- 36 nonoperative treatment: 53% poor outcome
Operative management
Options
Arthroscopic capsular plication
Open capsular shift +/- allograft reconstruction +/- tendon advancement
- severe MDI / subluxed at rest / revision
- anterior approach - anteroinferior instability
- posterior approach - posteroinferior instability
Arthroscopic capsular plication
Technique
Vumedi athroscopic anterior capsular plication
Arthroscopic technique pancapsular shift PDF
Anterior capsular plication +/- rotator interval closure
- option 1: Suture plicate capsule to labrum
- option 2: Anchors in glenoid and use to plicate capsule to labrum



Anterior capsular plication with sutures



Anterior capsular plication with suture anchors
Posterior capsular plication
- option 1: Suture plicate capsule to labrum
- option 2: Anchors in glenoid and use to plicate capsule to labrum



Posterior capsular plication with suture anchors
Results
- 45 shoulders with MDI treated with arthorscopic pancapsular capsulorraphy
- females: 40% postoperative instability
- males: 22% postoperative instability
- 49 shoulders with MDI treated with arthorscopic pancapsular capsulorraphy
- 29% postoperative instability
- 10% revision rate
Open Anterior and Posterior Capsular shift
Open Antero - Inferior Capsular Shift +/- allograft reconstruction +/- subscapularis shift / Putti-Platt
Technique
Arthroscopy techniques anterior allograft reconstruction for MDI PDF
Video journal sports medicine open capsular shift video
Principle
- detach capsule from neck of humerus
- shift capsule superiorly to obliterate the inferior pouch and decrease joint volume
Deltopectoral approach
- split subscapularis
- can perform subscapularis tenotomy and later tighten / Putti Platt
- T shape capsulotomy of capsule
- vertical component on articular margin humeral insertion all the way posterior
- transverse component to midpoint glenoid making superior and inferior flaps
- superior advancement inferior capsular flap
- eliminate inferior pouch and reduce posterior capsular redundancy
- then suture down superior flap
+/- allograft reconstruction
+/- subscapularis shift / Putti-Platt



Open capsular plication






Open anterior capsular plication with subscapularis tenotomy and lateral advancement / Putti Platt
Open posterior capsular plication +/- allograft reconstruction +/- subscapularis shift / Putti-Platt
Technique
AO surgical foundation posterior approach glenoid / scapula
Arthroscopic posterior capsule reconstruction with acellular dermal allograft PDF
Open posterior capsular reconstruction with acellular dermal allograft PDF / video
Lateral Position
- vertical incision over glenohumeral joint
- elevate deltoid or split deltoid
- interval: between supraspinatus and infraspinatus
- interval: between infraspinaus and teres minor
- can detach infraspinatus tendon and elevate off capsule
- suprascapular nerve 1.5cm medial to glenoid
- axillary nerve below teres minor
- perform capsular plication / capsular shift
- +/- lateral advancement of infraspinatus
Open posterior approach in beach chair with detachment of deltoid
Infraspinatus tenotomy




Open posterior capsular plication in lateral position
Results
Ogilvie-Harris Br J Sports Med 2002
- antero-inferior capsular shift in 37 with 3 recurrences (8%)
- posterior-inferior capsular shift in 16 with 2 recurrences (12%)
- 80% return to sport in antero-inferior capsular shift
- 75% return to sport in postero-inferior capsular shift
Savoie et al Arthros Sports Med 2025
- anterior and posterior allograft in 46 shoulders
- Beighton score 11 or more
- 15% complications
- 11% recurrence