Dual mobility

 

 

Dual mobilityDual mobility

 

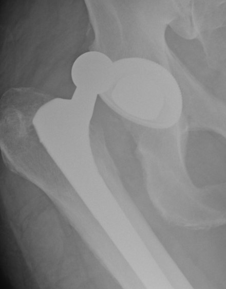
Stryker dual mobility

 

Concept

 

Femoral head moves within a poly component, which moves within the fixed acetabulum

- primary motion occurs at the inner bearing

- outer bearing moves in cases of extreme range of motion

 

Dual mobilityS&N dual mobility

 

Advantage

 

May reduce dislocation rates

- ? indicated in high risk situations

- i.e femoral neck fracture, revision

 

Issues

 

Wear rates

Intra-prosthetic dislocation

 

Dislocation

 

Primary THA

 

Romagnoli et al Int Orthop 2019

- systematic review of 15 studies and 2400 patients

- comparison of dual mobility with standard THA

- reduced risk of dislocation with dual mobility

 

Neck of femur fracture

 

Mufarrih et al Hip Int 2021

- meta-analysis of 4 studies

- risk of dislocation with dual mobility lower than conventional THA

- risk of dislocation with dual mobility comparable to hemiarthroplasty

 

Revision THA

 

Giacomo et al SICOT J 2021

- systematic review in revision setting

- some evidence for decreased dislocation rates and reduced loosing with dual mobility

 

Revision rates

 

Australian Joint Registry 2023 all cause revision rates

  Standard acetabulum Dual Mobility
1 year 1.7 2.0
3 years 2.5 2.8
5 years 3.1 3.5
10 years 4.6 5.6

Higher revision rate overall

Equal revision rates in OA

Lower revision rate for infection

 

Intra-prosthetic dislocation

 

Dislocated dual mobility

 

Mallett et al, BJJ 2024

- 1453 DM hips at single institution

- intraprostatic dislocation in 0.76%

 

Mechanism

 

Retention of the liner

Dislocation of the femoral head

 

Closed reduction

 

Mallett et al JBJS Open 2023

- 54 dual mobility dislocations

- 44 large head dislocations, 10 intra-prosthetic dissociations

- 63% of closed reductions in ED failed

- can convert large head dislocation to intra-prothetic dissociation

- recommend perform in OR, ready to move to open revision

 

Management

 

Wegrzyn et al CORR 2020

- registry of 5000 dual mobility THA

- 3% incidence of intra-prosthetic dislocation

- mean of 18 years post THA

- more common in young men

- typically associated with poly wear

- majority (91%) treated with mobile bearing replacement

- 9% required acetabular revision for loosening