Goal
To limit the generation of wear particles which can cause osteolysis and loosening
Wear Factors
Patient factors
- age, activity, time in situ
Acetabular component position
- avoid impingement and edge loading
- limit instability
- 40 - 50 degrees of abduction
- 10 - 15 degrees of anteversion
Implant factors
A. Surface material
- harder bearings have lower wear rates due to lower roughness
- i.e. ceramic, cobalt-chromium
B. Lubrication
- reduces contact and friction
- ceramic, cobalt-chromium hydrophilic
Options
Metal (Cobalt Chrome) on Cross-linked Polyethylene (XLPE)
Ceramic on Cross-linked Polyethylene (XLPE)
Ceramic on ceramic
Metal on metal
Australian Joint Registry 2023
20 year revision rate of 548,000 THA
| Metal on XLPE | Ceramic on XLPE | Ceramic on Ceramic |
Metal on Metal < 32 mm head |
Metal on Metal > 32 mm head |
|
|---|---|---|---|---|---|
| 3 years | 2.4 | 2.4 | 2.3 | 3.3 | 5.7 |
| 5 years | 3.0 | 2.9 | 3.0 | 4.4 | 11.8 |
| 10 years | 4.5 | 4.0 | 4.7 | 6.8 | 22.6 |
| 15 years | 6.1 | 5.5 | 6.8 | 9.6 | 28.6 |
| 20 years | 7.5 | 6.8 | 9.1 | 11.9 | 32 |
Polyethylene




Metal on poly THA Zimmer poly Stryker poly
Cross linked polyethylene
Highly cross linked
- gamma irradiated in a vaccuum
- decreases wear
Annealed / remelted
- heated below melting temperature to increase ductility
+/- Vitamin E
Results Australian Joint Registry 2023
At 20 years the cumulative revision of THA
- highly cross linked poly: 6.9%
- non cross linked poly: 17%
Ceramic



Ceramic on poly THA S&N oxinium on poly S&N ceramic on ceramic
Types
Alumina ceramic
Zirconia ceramic
Oxidised zirconium / oxinium
Technique
Sintered in a furnace
Machine polished
Advantage
Extremely hard - resistant to wear
Hydrophilic - resist friction
Disadvantage
Squeaking
Ceramic fracture
- meta-analysis of 43 studies and 17,000 CoC THA
- incidence of squeaking of 4.2%
- registry data of 31,00 CoP and 6,000 CoC THA
- risk of ceramic head or liner fracture 1/1000
- higher risk with CoC
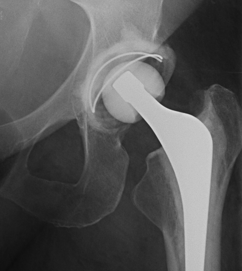
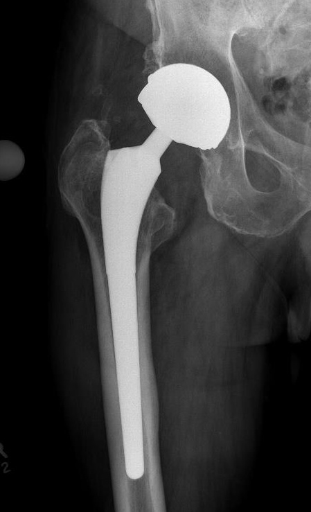
Metal on Metal



Advantage
Large heads
- 30 - 60 mm
- decreases dislocation
- ?improves ROM / function
Disadvantages
1. Increased ion levels
Cobalt and Chromium ions elevated in blood
Creatine cobalt and Creatinine chromium elevated in urine
2. Adverse Local Tissue Reactions


3. High revision rates / Prosthesis recall / Class actions
https://www.consumernotice.org/legal/hip-replacement-lawsuits/
Australian Joint Registry Revision Rates
|
Metal on Metal > 32 mm |
Metal on Metal < 32 mm |
Metal on Poly | Ceramic on Poly | |
|---|---|---|---|---|
| 3 year | 5.7 | 3.3 | 2.4 | 2,4 |
| 5 year | 11.8 | 4.4 | 3.0 | 2.9 |
| 10 year | 22.6 | 6.8 | 4.5 | 4.0 |
| 15 years | 28.6 | 9.6 | 6.1 | 5.5 |
| 20 years | 32 | 11.9 | 7.5 | 6.8 |
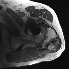
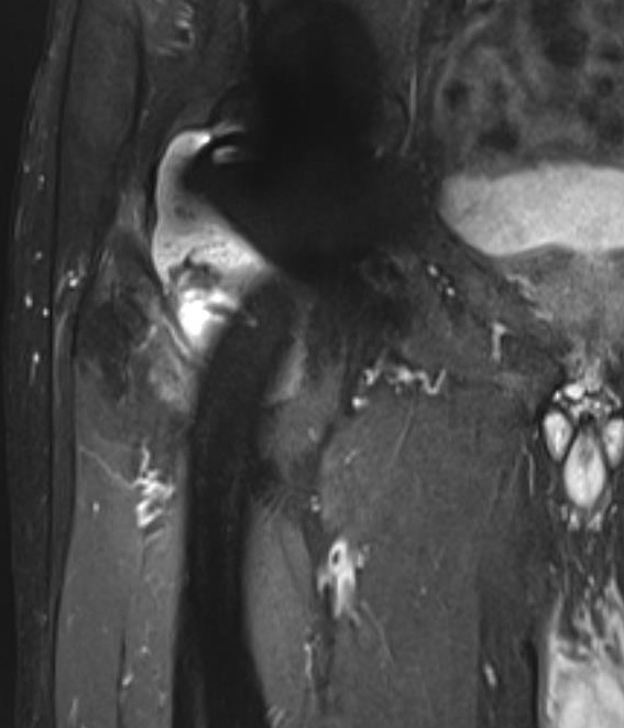
Adverse Local Tissue Reactions (ALTR)
Mechanism
Generation of biologically active, nanometer sized metal particles
- cause large inflammatory reaction
- pseudotumour (AKA aseptic lymphocyte-dominant vasculitis associated lesion ALVAL)
- can cause extensive soft tissue and bone loss
Diagnosis
Pain
High serum ion levels
Loosening on xray
Pseudotumour on MRI






Incidence
- 288 Depuy ASR THA 6 years post surgery
- moderate or severe ATLR in 24% on MRI
Results of revision
Crawford et al J Arthroplasty 2019
- revision of 2023 metal on metal THA
- failure average 5 years post primary surgery
- acetabulum revised in 92% of cases
- reoperation in 14%
- re-revision in 8%



