


Conditions
1. Ollier's
- enchondromas often unilateral
- skeletal dysplasia
2. Maffucci's syndrome
- enchondromas often bilateral
- skeletal dysplasia
- in association with hemangiomas / vascular anomalies
- cutaneous hemangiomas often first presentation
- vascular anomalies in viscera
- vascular pleboliths
Epidemiology
1/100,000
Not inherited
- post zygotic somatic mutation with mosaicism
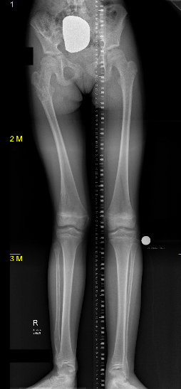
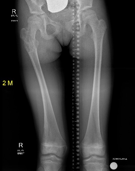
Location
Femur / tibia / humerus
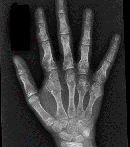
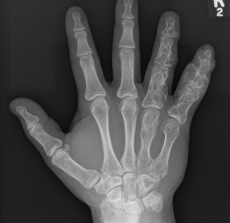
Hands > feet
Axial skeleton - more commonly affected in Maffucci's
Issues
Malignancy
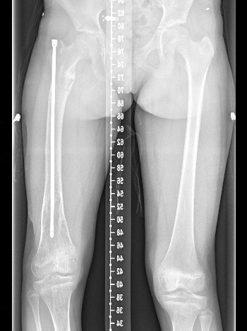
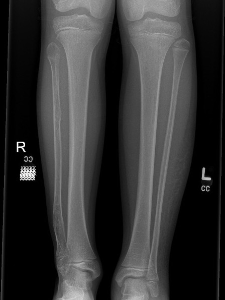
Growth disturbance
- leg length discrepancy
- bowing

Malignancy
Malignant transformation to chondrosarcoma
- consider screening with whole-body MRI
Incidence of other cancers - brain, gonad, hematological, vascular
Verdegaal et al Oncologist 2011
- multi-centered study of 144 Ollier's and 17 Maffucci patients
- incidence of chondrosarcoma 40% Ollier's
- incidence of chondrosarcoma 53% Maffucci's
- 89 patients with chondrosarcoma
- femur (20%), feet (15.8%), pelvis (12.4%), humerus (11%), tibia (11%), hand (10%)
Abiad et al Am J Med Genet A 2020
- literature review
- prevalence malignancy Ollier's 53%, Maffucci's 49%
- median age Ollier's 25, Maffucci's 30
- incidence chondrosarcoma Ollier's 31%, Maffucci's 32%
- chondrosarcomas upper limb, lower limb, axial skeleton, visceral
- 20% incidence of brain cancer
Hand & Feet
Often present in first decade of life with palpable masses on hands and feet
- cosmetic issues / stiffness / pathological fractures


Klein et al J Hand Surg Am 2018
- 10 pediatric patients with metacarpal or phalangeal enchondromas
- curettage and corticoplasty (trimming of excess bone) for hand enchondromas
- improved range of motion and cosmesis
Leg length discrepancy
Popkov et al Orthop Traumatol Surg Res 2010
- limb lengthening in Olliers
- external fixator versus external fixator + IM nail
- use of nail reduced external fixator time, complications, and fractures
Hosny et al J Pediatr Orthop B 2023
- 13 patients with LLD and angular deformity
- intralesional osteotomy and distraction osteotomy
- in conjunction with guided growth
- good correction and bone regeneration



Elbow and wrist bowing

