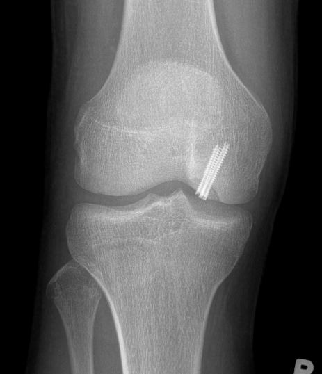
Medial femoral condyle
Technique
Arthroscope in lateral portal
Clear fat pad
Ensure can see entire dimensions of OCD

If fragment is displaced, reduce and pin with accessory K wire



Instrument and screw from accessory medial portal
- fragment is lateral aspect of the MFC
- typically need trans patella tendon portal to ensure correct trajectory
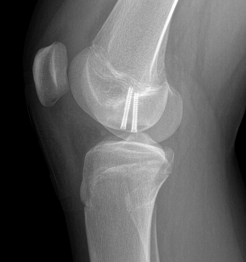
- ensure K wires centered in fragment
Flex and extend knee to place inferior / superior screws
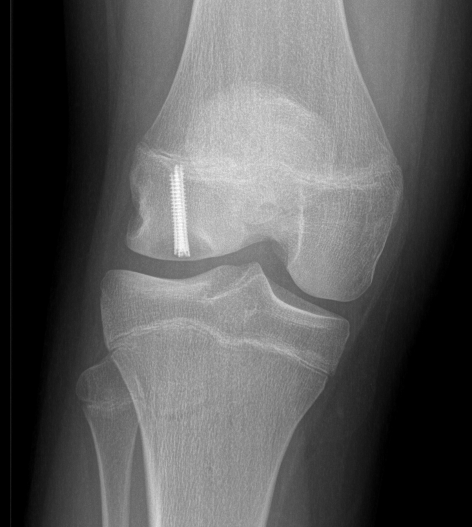
- typically 2 - 3 screws maximum (3.5 mm)
- 22 - 26 mm long, want to stop short of growth plate
- ensure screw heads are buried under cartilage, but not too deep so they still engage fragment
- can microfracture with 1 mm k wire around screws




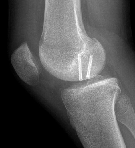
Lateral femoral condyle
Technique
Arthroscope in medial portal
Clear fat pad
Ensure can see entire dimensions of OCD




Instrument and screw from lateral portal
- ensure K wires centered in fragment
- flex and extend knee to place inferior / superior screws
- typically 2 - 3 screws maximum (3.5 mm)
- ensure screw heads are buried under cartilage, but not too deep so they still engage fragment
- can microfracture around screws



Inferior screw Superior screw

