Flexible Flat Feet

 

 

 

Flat feetFlat footSubtalar implant

 

Definition

 

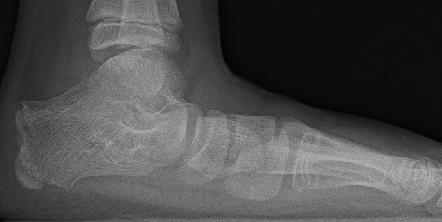
Pes planus - loss of medial longitudinal arch

 

Flexbile / correctable

 

Epidemiology

 

Usually bilateral with strong family history

More common in Black than White populations

 

Natural History

 

Physiological FlatfootJacks TestSingle Heel Raise Arch Restoration

 

All infants have flat feet

- at birth foot is in calaneovalgus & there is no medial arch

- foot has large medial fat pat 

- arch begins to develop in 2nd & 3rd year with walking

 

Thus flatfeet are

- usual in infants

- common in children

- in normal range for adults

 

Etiology

 

Physiological

 

Compensatory

1. Genu Valgum - physiological knock-knees (age 3-4) leads to apparent flatfoot, corrects by ~ age 6

2. Out-toeing - external rotation of foot causes body weight to fall anteromedial to ankle

3. Tight Tendoachilles - lack of dorsiflexion compensated by heel eversion & forefoot pronation

4. Joint laxity - i.e. Marfan's, Ehlers-Danlos

 

Symptoms

 

Medial arch pain with prolonged standing

 

Examination

 

pes planuspes planus

 

Loss of medial arch on weight bearing

Valgus hindfoot

 

Flexible flatfoot

 

Recreation of longitudinal arch & heel varus

- suspended / non weightbearing

- toe raise / windlass mechanism

- passive dorsiflexion of great toe with weight bearing (Jack's test)

 

Mobile or hypermobile subtalar joint

 

pes planus

 

Differential diagnosis of fixed flatfoot

 

Congenital - congenital vertical talus / tarsal coalition / skewfoot

Trauma - tibialis posterior rupture / midfoot fracture / Lisfranc / rupture spring ligament / rupture plantar fascia

Neuromuscular - CP, spina bifida, polio

 

X-ray

 

Flatfoot

 

Meary's angle

- Talus - first metatarsal angle

- lateral weight bearing view

 

T post

 

Cobey's 

- hindfoot alignment view

- foot plantarflexed over a block

- see that calcaneum is under the fibula not tibia

 

Nonoperative

 

Options

 

Medial arch support / medial heel raise / UCBL

 

Results

 

Molina-Garcia et al Children 2023

- systematic review of orthoses for flexible flat feet in 680 children

- RCTs and comparative trials

- evidence for improved symptoms with orthoses

 

Operative

 

Indications

 

Failure non operative measures to relieve pain

 

Options

 

ArthroereisisEvansC lengthening

 

Subtalar arthroeresis

 

Lateral column lengthening

- Evan's calcaneal lengthening osteotomy

- distraction calcaneocuboid arthrodesis

- calcaneo/cuboid/cuneiform (triple C) osteotomy

 

1st metatarsal plantarflexing osteotomy / Cotton dorsal opening wedge osteotomy of the medial cuneiform

 

Results

 

Arthroeresis v Lateral column lengthening

 

Suh et al Int Orthop 2019

- systematic review of lateral column lengthening v arthroeresis

- similar satisfaction rates

- greater functional improvement with lateral column lengthening

- similar reoperative rate

- greater complication rate with lateral column lengthening (CCJ subluxation)

- persistent pain most common complication arthroeresis

 

Calcaneal lengthening osteotomy v CCJ distraction arthrodesis

 

Modha et al J Foot Ankle Surg 2021

- systematic review

- increased graft failure with allograft v autograft

- reduced lateral foot pain with CCJ arthrodesis v calcaneal osteotomy

 

Calcaneal osteotomy v Triple C osteotomy

 

Moraleda et al J Pediatr Orthop 2012

- 30 triple C osteotomy v 30 calcaneal osteotomy

- no difference in clinical outcome

- 10% complication triple C osteotomy

- 18% complication calcaneal osteotomy

- 52% CCJ subluxation calcaneal osteotomy

 

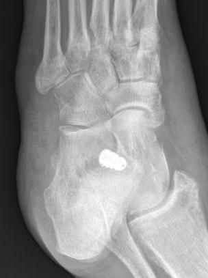
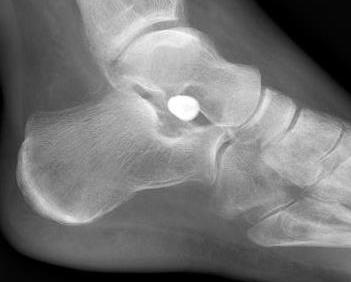
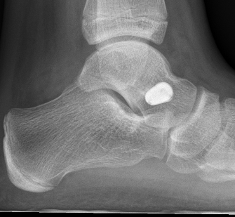
Subtalar arthroeresis

 

implantimplantimplant

 

Concept

 

Prostop

Arthrex ProStop

 

Sinus tarsi implants limit excessive pronation

 

Types

 

Subtalar implantArthro

Endosinotarsal - implant in the sinus tarsi

 

ArthroArthro

Exosinotarsal - screw external to the sinus tarsi

 

Technique

 

Arthrex ProStop Technique guide

 

Vumedi surgical technique video

 

Oblique incision inferior to fibula

- identify sinus tarsi

- remove fat pad

- insert guide wire

- trial sizes and insert implant

 

Results

 

pes planuspes planuspes planuspes planus

 

Smith et al EFORT Open Rev 2021

- 24 articles and 2500 flexible flat feet treated with arthroeresis

- excellent results 80%, poor results 5%

- complications 7%, reoperation rate 3%

 

Sabry et al JBJS Rev 2024

- systematic review of endo- v exosinotarsal implants for flexible flatfoot

- 6 studies and 800 feet

- increased pain and screw breakage in exosinotarsal

- increased implant dislocation in endosinotarsal

 

Evans Calcaneal Lengthening Osteotomy

 

Evans Osteotomy + MT Osteotomy + FDL transferEvans Osteotomy + MT Osteotomy + FDL transfer Oblique

 

Technique

 

Vumedi calcaneal lateral lengthening osteotomy video

 

Incision over anterolateral distal calcaneum

- sural nerve retracted plantar

- P longus retracted plantar

- identify CCJ

- Z lengthen P brevis

- homan retractor in sinus tarsi (between middle and anterior facets)

- homan retractor inferior calcaneum

- K wire into CCJ to prevent subluxation

 

Opening wedge osteotomy

- 1.5cm proximal to CCJ

- between middle and anterior facets medially

- begin with saw, complete with osteotome

- open 1 cm

- triangular / trapezoidal bone graft (allograft, iliac crest / mid fibular autograft)

- fixation with plate / staple / screw

 

+/- tendoachilles lengthening

+/- modified Kidner procedure (imbricate spring ligament, Tibialis posterior advancement)

 

Results

 

Kumar et al J Orthop 2017

- systematic review Evans osteotomy

- 7 studies and 150 feet

- good / excellent 72%, fair / poor 18%

- complications 18% (nerve, nonunion, undercorrection, overcorrection, implant related)