

Indications
Rheumatoid arthritis
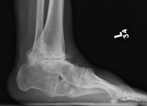
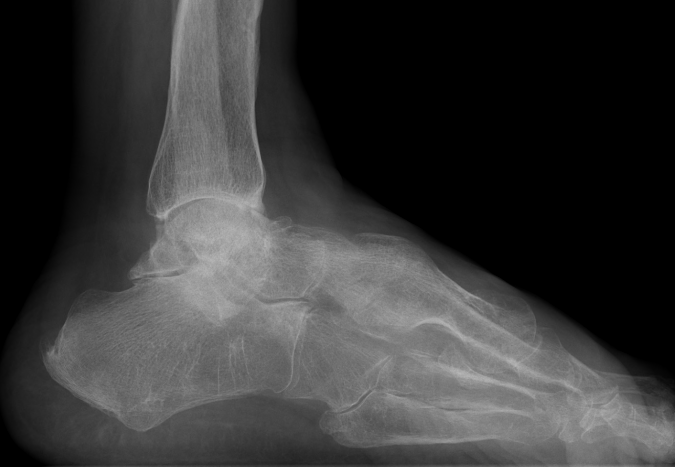
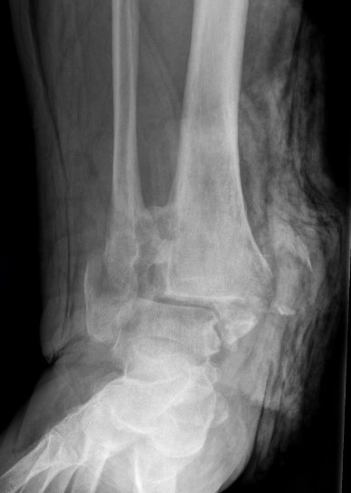
Combined ankle and subtalar joint osteoarthritis
Talar AVN
Trauma
Severe Deformity - acquired flat foot / neurological conditions / Charcot /
Ankle fracture in elderly patient with poor skin and co-morbities

Rheumatoid arthritis

Severe acquired planovalgus



Talar AVN




Fragility fractures
Technique
Lateral approach
- incision fibular to 4th metatarsal
- fibular osteotomy to expose ankle joint
- lift peroneal tendons anteriorly / elevate EDB / divide interosseous ligament to expose subtalar joint
- with severe deformity may need to expose and reduce TNJ and CCJ
- debride joint surfaces / reduce / K wire
- ankle joint: neutral varus/valgus, neutral dorsiflexion, ER 10o
- subtalar joint: 5o valgus (5 deg combined hindfoot valgus)
www.boneschool.com/triple-arthodesis
www.boneschool.com/ankle-arthrodesis
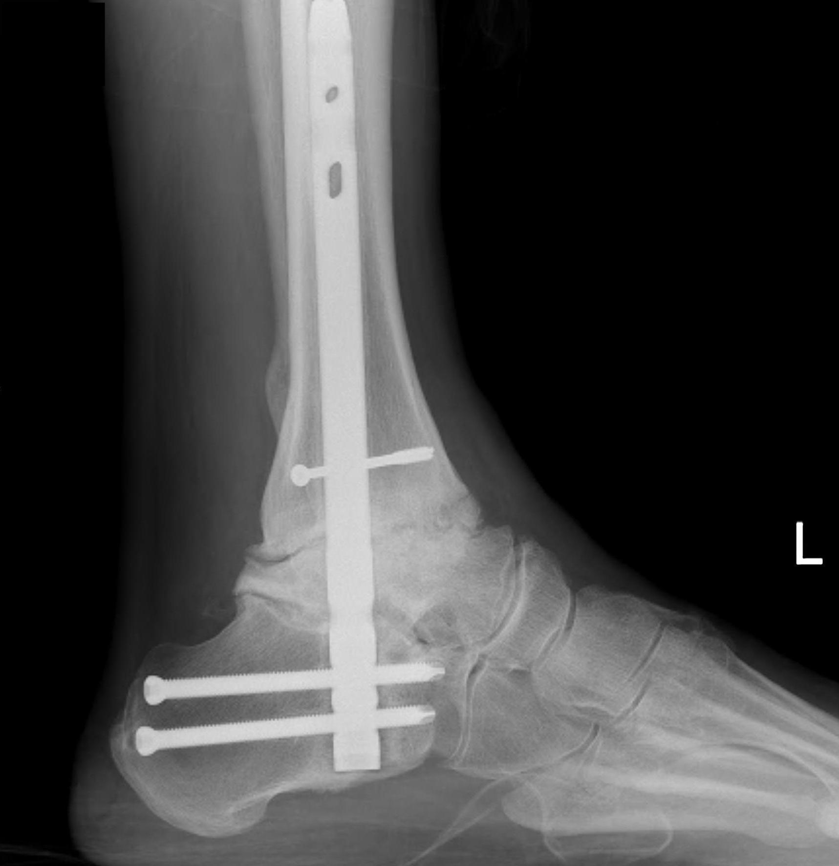
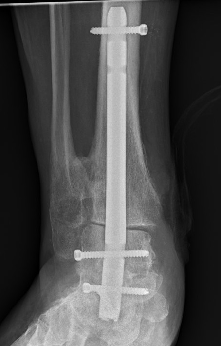
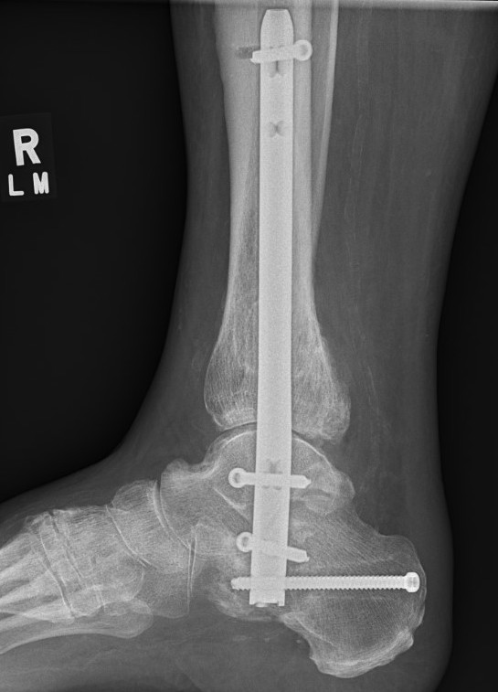
Tibiotalocalcaneal (TTC) / hindfoot nail


Smith&Nephew Trigen Hindfoot Nail PDF
Smith&Nephew Panta2 TTC Arthrodesis nail PDF
Synthes Expert Hindfoot Arthrodesis nail PDF
Insertion point
- in line with 2nd metatarsal / center of heel pad
- junction of posterior 2/3 and anterior 1/3 heel
- should pass through anterior aspect posterior subtalar joint
- posterior to lateral plantar artery and nerve
Screw fixation
- distal screw fixation in calcaneum +/- talus with jig
- compression
- proximal screws medial to lateral