Definition
Adult Acquired Flatfoot Deformity (AAFD) / Progressive Collapsing Flatfoot Deformity
- collapse of medial longitudinal arch
- secondary to ligament / tendon / joint or bony pathology
Classification
1. Congenital
| Flexible | Rigid |
|---|---|
|
Familial Ligamentous laxity |
Congenital vertical talus Tarsal Coalition |
2. Acquired
| Tibialis posterior dysfunction | Rheumatoid arthritis | Neurological | Osteoarthritis / previous fracture | Ligament injury |
|---|---|---|---|---|
| See seperate boneschool page |
50% will get flat foot - subtalar OA - spring ligament attenuation - tibialis post dysfunction - progressive hind foot valgus |
Charcot foot Cerebral palsy Polio |
Subtalar OA Calcaneal fracture Midfoot OA Lis franc fracture |
Isolated spring ligament rupture Plantar fascia rupture |

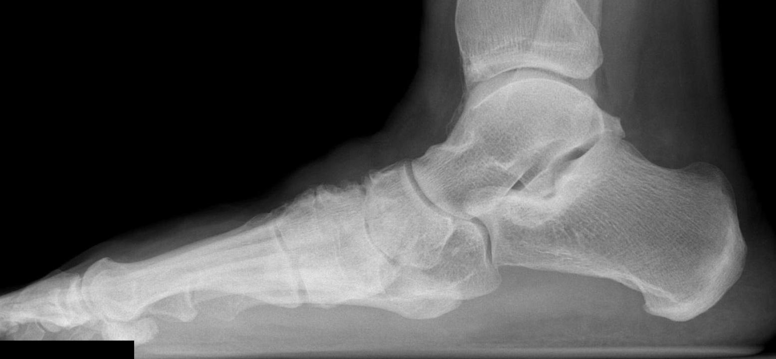
Planovalgus secondary to rheumatoid arthritis

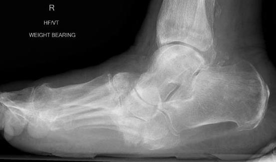
Planovalgus secondary to Charcot

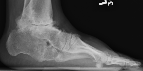
Planovalgus secondary to midfoot OA

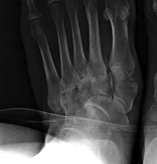
Planovalgus secondary to Lis franc