Background


Epidemiology
Much less common than hip and knee OA
Patients tend to be younger


Much less common than hip and knee OA
Patients tend to be younger
Congenital
Acquired
- trauma
- post ACL reconstruction / TKR
- chronic quadriceps rupture
Decreases ROM
Associated with early OA of the PFJ
Blackburne-Peel ratio at 30 degrees flexion
Isolated posterior ligament injuries
- PLL / Posterior interspinous ligament / Paraspinal muscles
Excludes fracture / dislocation / HNP
MVA
Sport
Hyperflexion injuries
Large spectrum clinical presentation
- neck ache
- nausea & vomiting
- headache
- visual symptoms
Non-union
- arrest of progression to union at fracture site
- > 6-9 /12
- no visible progressive signs of healing for at least three consecutive months
- individualise for each fracture
- when the surgeon believes the fracture has little or no chance to heal
Delayed union
- failure of fracture to unite within expected time
- still may spontaneously unite
Neurological pain in arm after injury in sport
- usually due to brachial plexus injury
Contact sports
- ice hockey
- rugby
- american football
- basketball
Brachial plexus injury
Cervical nerve root injury
Traction injury
- hit onto shoulder
1. AP Instability
2. Varus Valgus Instability
3. Global Instability
4. Frank Dislocation



Repeated dislocation of patella with minimal trauma
- 15-20% of paediatric acute patella dislocations
- more common girls
- often bilateral
Dislocation occurs unexpectedly when quadriceps contracted with knee in flexion

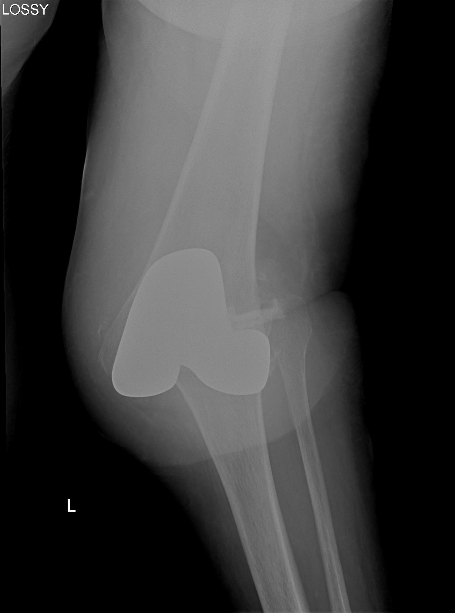
1. Loosening
2. Infection
3. Instability
4. Periprosthetic fracture
Most common
- fascia lata on greater trochanter
- iliopsoas on lesser trochanter
1. Intra-articular structures
- labrum
- ligamentum Teres
- loose bodies
- synovial chondromatosis
- osteochondoma
2. Extra-articular structures
- fascia lata on greater trochanter (common)
Simple sprain
- injury to ATFL
- will almost always get better in 6-8/52
Complex sprain
- associated injury
- suspect if patient slow to recover
- diagnose most things on MRI
Instability
- clinical diagnosis
- most will get better with appropriate physio