Complications

 

Notchingrtsr dishum unstable

 

Complications

 

Nerve injury 1%

Infection 1%

Instability / dislocation 0.7%

Acromial and scapula spine stress fractures 4%

Peri-prosthetic fracture

Loosening

 

Incidence of complications

 

Galvin et al J Shoulder Elbow Surg 2022

- systematic review of 52 studies and 5800 rTSA

- complication rate 9%

- infections 1%

- periprosthetic fracture 1%

- dislocation 0.7%

- scapular notching 14%

 

Australian Joint Registry 2024

 

AJR complicationsAJR complications

 

Nerve injuries

 

Incidence

 

Thought to be more prevalent with rTSA than aTSA due to increase stretch of plexus

 

North et al J Shoulder Elbow Surg 2023

- systematic review of 40,000 rTSA

- overall incidence nerve injury 1.3%

- higher in revision cases and rTSA for fracture patients

- axillary nerve > ulna nerve > median nerve > brachial plexus

 

TSR Brachial PlexusReverse TSR Plexus Stretch

 

Infection

 

rTSA infectrTSA infect

 

Diagnosis

 

Elevated ESR > 30 mm/h
Elevated CRP level > 10 mg/L

 

Aspiration

- positive tissue culture

- synovial neutrophil percentage > 80%
- synovial WBC count > 3000 cells/μL

 

Bacteria

 

Nelson et al JSES 2016

- systematic review of infection after shoulder arthroplasty

- Cutibacterium acnes 39%

- Staphylococcus aureus at 15%

- Staphylococcus epidermidis at 15%

 

Management acute infections

 

Washout and implant retention

 

Garrigues et al JSES 2019

- systematic review PJI shoulder arthroplasty

- 38 acute infections managed with washout

- 50% failure rate

 

Management chronic infections

 

One versus Two-stage revision

 

Garrigues et al JSES 2019

- systematic review PJI shoulder arthroplasty

- 161 cases One-stage revision versus 325 cases with Two-stage revision

- One-stage: reinfection rate 6%, complication rate 13%

- Two stage: reinfection rate 11%, complication rate 22%

 

infectinfectinfect

 

Instability / Dislocation

 

Dislocated Reverse TSRDislocated Reverse TSR Lateral

 

disdis

 

Early dislocation issues

 

Soft tissue tension  Axillary nerve palsy Component position  Component size

Humeral distalization

- increased liners

- longer humeral body

 

Inferior base plate  / inferior impingement

 

Increased glenosphere size increases jump distance

Glenoid lateralization

- lateralized glenosphere

     
Subscapularis      

 

Late dislocation

 

Liner wear

Heterotopic ossification

 

Revision

 

Melbourne et al JSES 2023

- revision for instability in 36 rTSA

- glenoid sided revision: 66% successful

- humeral sided revision: 66% successful

- bipolar revision: 90% successful

 

Inferior scapula notching

 

NotchingGlenosphere overhang

Scapula notching.  Prevented by inferior glenosphere overhand (Depuy Synthes Delta Xtend)

 

Mechanism

 

Impingement of humerus component on scapular neck

With arm in extension / adduction / external rotation

 

Prevention

 

Glenosphere position

- inferior hang - eccentric glenosphere design

- inferior tilt

- lateralization

 

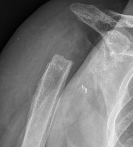
Acromial / scapular spine stress fractures

 

Incidence

 

King et al Bone Joint J 2019

- systematic review of rTSA

- incidence 2.8%

- more common with lateralized glenosphere

 

Usually within first year

Associated with worse clinical outcomes

 

Cause

- over tensioning deltoid from over lengthening arm / distalizing humerus

- increased risk in women / osteoporosis

- increased risk with superior screw towards scapular spine instead of coracoid

 

Reverse TSR OvertighteningReverse TSR Overtightening 2

Overlengthened arm post rTSA

 

Acromial stress fracture

Acromial stress fracture on xray

 

CT acromial stress fracturesCT Acromial Stress Fracture Reverse TSR

CT demonstrating acromial stress fracture

 

Levy Classification

 

Levy Classification

 

Nonoperative management

 

Cui et al J Shoulder Elbow Surg 2023

- systematic review of nonoperative management of acromial and scapular spine stress fractures

- worse outcomes than controls / non stress fracture rTSA patients

- worst outcomes with scapula spine fracture / Levy III

 

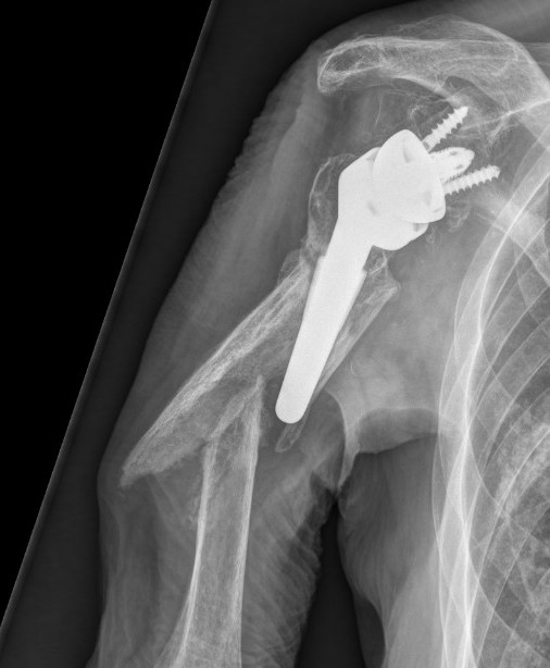
Operative management

 

Reverse TSR Acromial Fracture ORIF

 

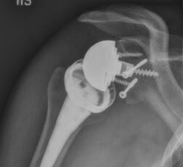
Periprosthetic fracture

 

Intra-operative glenoid fracture 0.4%

 

Reverse TSR NotchingGlenoid fracture

 

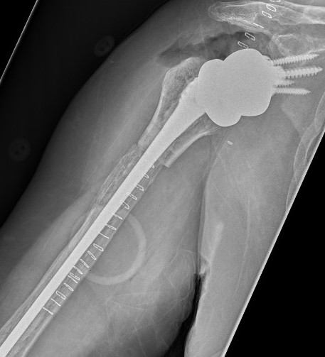
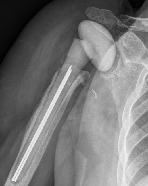
Humeral shaft fractures

 

Hum shafthum shaftHum shaft

Stable humeral component treated with ORIF

 

hum #Hum #Hum #

Unstable humeral component

 

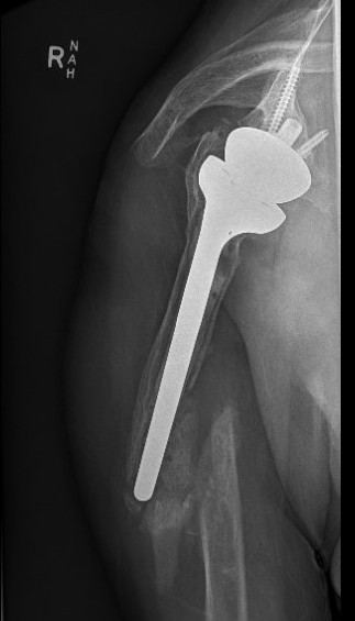
Loosening

 

Failed Glenoid Reverse TSRReverse TSR Loose Metaglene

Loose metaglene

 

hum shafthum shaft

Lysis around humeral and glenoid component

 

Reverse TSR Loose Glenosphere from Metaglene

Glenosphere loosening from metaglene