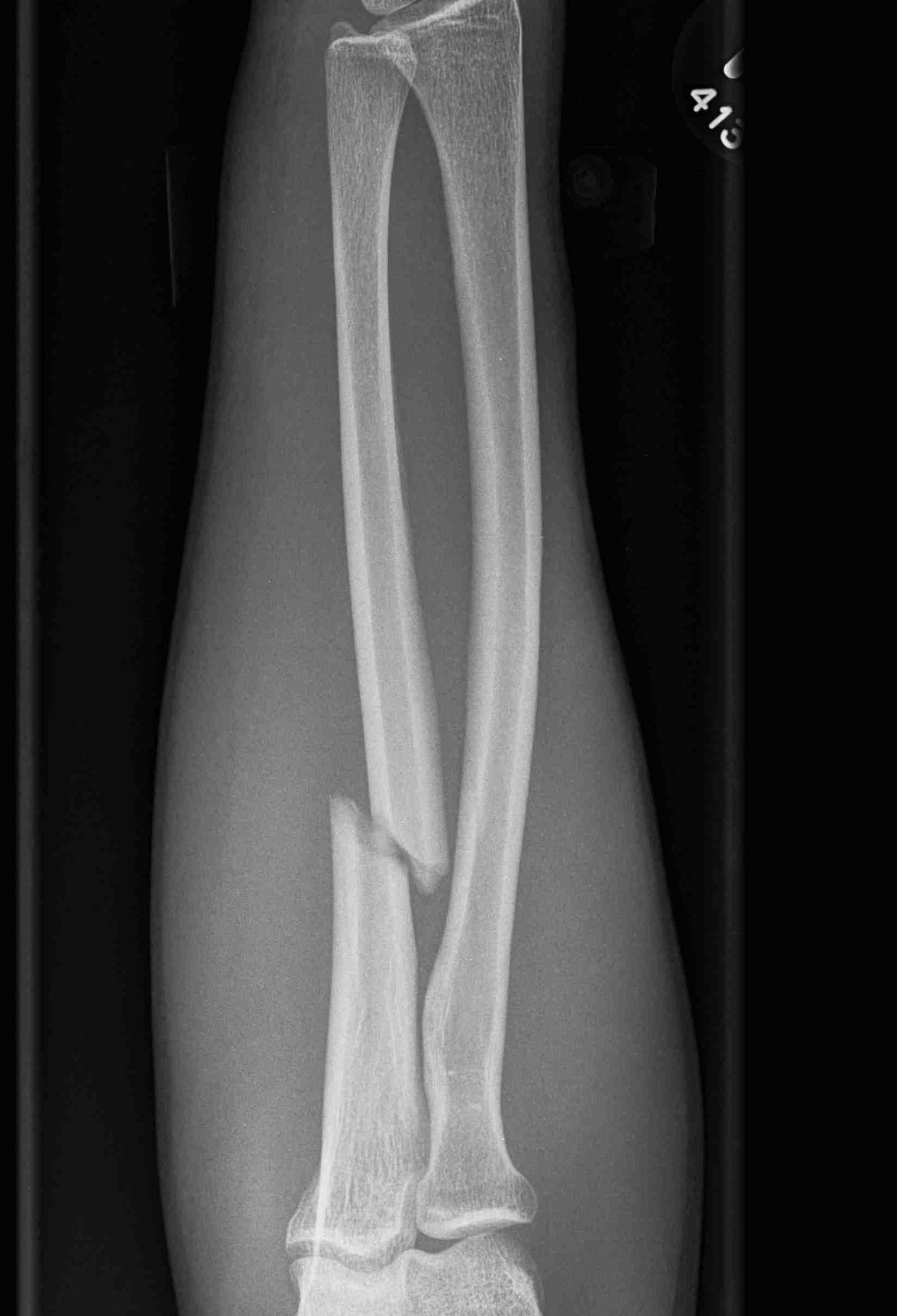
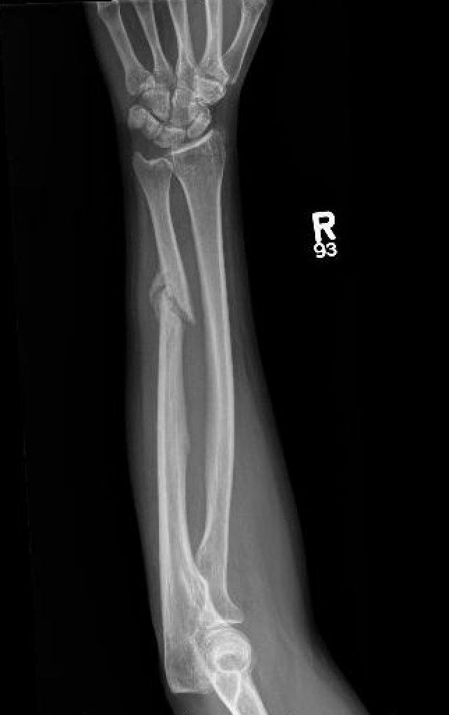
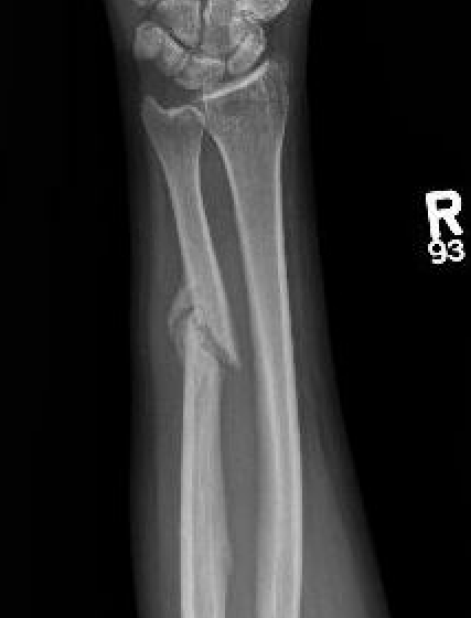
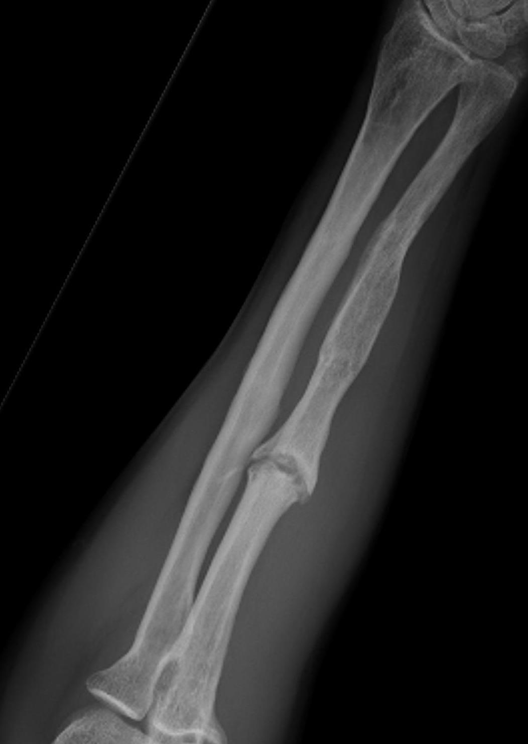
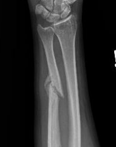
Isolated ulna fractures

 

ulnaulnaulna

 

Mechanism

 

Night stick injury - direct blow or trauma to ulna

 

Location

 

Distal 1/3

Midshaft / middle 1/3

Proximal - beware Monteggia / radial head dislocation

 

Distal 1/3 Middle 1/3 Proximal 1/3
  Higher nonunion rates Beware Monteggia / radial head dislocation
ulna ulna isolated ulna

 

Nonoperative management

 

Indications

 

Minimally displaced fractures

- < 50% displaced

- < 10 degrees angulation

 

ulna nonunionulna

 

Brackenbury et al Injury 1981

- 21 cases of nonunion of isolated ulna fractures

- associated with > 50% displacement

 

Zych et al CORR 1987

- 146 isolated ulna fractures

- worse outcomes with angulation  > 10 degrees

 

Results

 

Long arm cast not necessary

 

Van Leemput et al Acta Orthop Belg 2007

- 102 isolated ulna fractures

- long arm cast v short arm cast v bandage

- no difference in union rates

 

Increased nonunion rates with midshaft versus distal fractures

 

Henry et al J Hand Surg Am 2023

- 95 isolated ulna fractures

- union rate nonoperative: 91%

- union rate operative: 97%

- increased nonunion with midshaft (30%) versus distal 1/3 fractures (2%)

 

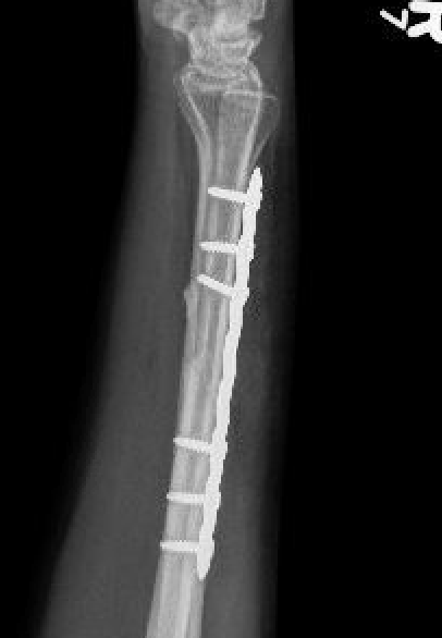
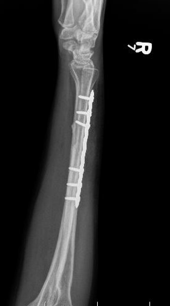
Operative management

 

Indications 

 

Acute fractures

- > 50% displacement

- > 10 degrees angulation

- midshaft ulna fractures - higher risk of nonunion

 

Nonunions

 

ulnaisolated ulnaulnaNonunion

 

Options

 

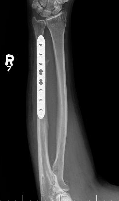
Compression plating

Intra-medullary nail

 

Ulna Intramedullary WireUlna Plating

 

Results

 

Gaume et al Injury 2020

- IM K wire v plate in 54 patients

- 3 nonunions with plate, none with IM wire

- 70% of patients required wire removal

- 11% of patients required plate removal

 

Technique

 

AO foundation ulna plating

 

ulnaBBFFulnaulna

 

Complications

 

nonunionnonunion

Ulna nonunion after plating