
Source
OCD
OA - Osteophytes
Meniscus
Symptoms
Pain
Locking
Clicking
Can cause chondral damage
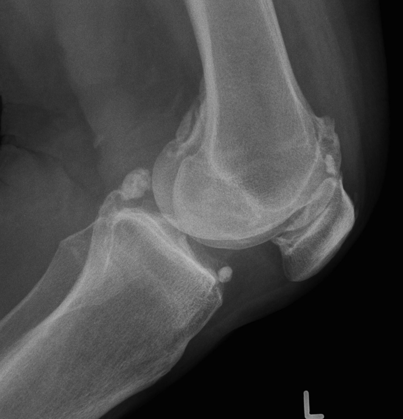
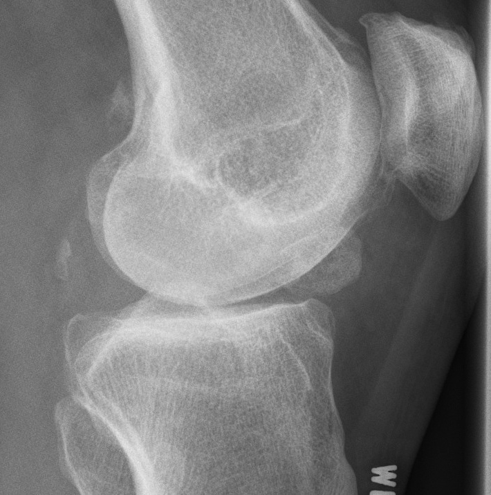
Xray
OA Loose Bodies



OCD Loose Bodies

MRI
2 x Osteochondral Fragments in Notch

Osteochondral Fragment in PFJ


Loose body in posterolateral compartment


Arthroscopy
Need to look carefully
Common Sites are
1. Notch
- can be covered by soft tissue


2. Lateral Gutter
- common here
- often need to retrieve via Superolateral portal


3. Posteromedial corner
If can't find loose body
- always look here
Technique
- put camera in standard portal
- use probe to lift PCL up
- push camera gently into interval between MFC and PCL
- need to make posteromedial portal to retrieve loose body



4. Posterolateral corner
Technique
- change camera to medial portal
- use probe to lift up ACL
- push camera through

5. Loose body can be adhered and covered in synovium
